Odbudowa protetyczna
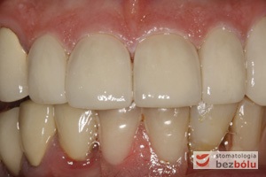
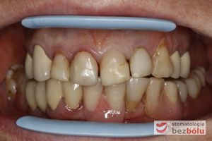
65-letnia pacjentka niezadowolona z wyglądu swoich zębów w przednim odcinku szczęki, zgłosiła się celem poprawy ich estetyki, jednocześnie prosząc o zachowanie starych mostów w bocznych odcinkach. Pacjentka posiadała jasno sprecyzowane oczekiwania dotyczące terapii stomatologicznej. Ocena profilu wyłaniania siekaczy górnych – stopień wychylenia siekaczy górnych determinuje podparcie dla warg i policzków. Zęby górne i dolne w zwarciu – pełne łuki. Widoczny nieregularny kształt siekaczy górnych, przebarwienia i nawisające wypełnienia.
Widok powierzchni zgryzowej zębów w szczęce – zęby sieczne odbudowane kompozytem, przedtrzonowce i kieł pokryte koronami porcelanowymi. Plan leczenia obejmował: przygotowanie zachowawcze zębów siecznych i kła strony lewej jako filarów pod korony całoceramiczne – leczenie kanałowe i rekonstrukcja oparta na wkładach z włókna szklanego, laboratoryjne przygotowanie koron prowizorycznych na bazie nawoskowanego modelu, mającego na celu wizualizację w jamie ustnej kształtu przyszłych koron porcelanowych, preparację filarów pod korony porcelanowe – pobranie wycisku precyzyjnego, wykonanie koron porcelanowych w laboratorium protetycznym, zamocowanie adhezyjne koron porcelanowych na filarach. Cały proces terapeutyczny jest efektem kompromisu pomiędzy możliwościami leczniczymi a ograniczonymi oczekiwaniami pacjenta, który narzucił kształt i kolor nowych koron w celu zachowania spójności z dotychczasowymi rekonstrukcjami protetycznymi w strefach bocznych.
Protetyczna faza kliniczna: lekarz dentysta implantolog Magdalena Żywicka
Wykonawstwo laboratoryjne: technik dentystyczny Bartłomiej Troczyński









