Implantacja cyfrowo nawigowana
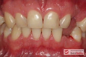
Młody pacjent w wieku lat 28 po wstępnym rozpoznaniu, ze zdiagnozowanym złamaniem kła zarówno górnego jak i dolnego, został skierowany na terapię implantoprotetyczną, prowadzoną przez lekarza dentystę Marcina. W świetle braku możliwości wykonania ekstruzji ortodontycznej i zachowawczego podejścia do leczenia, podjęto decyzję o usunięciu obu zębów, zastosowaniu ułatwiającej gojenie procedury A-PRF i przygotowaniu pacjenta do zabiegu implantologicznego, dodatkowo uzupełnionego o wprowadzenia implantu w miejscu braku zębowego w pEdytujozycji pierwszego przedtrzonowca w szczęce po stronie prawej.
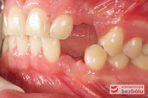
Po zakończeniu procesu gojenia wyrostka zębodołowego, wykonano diagnostykę radiologiczną z zastosowaniem tomografii wiązki stożkowej (CBCT) w celu oceny ilości oraz jakości tkanki kostnej, zarówno w miejscach poekstrakcyjnych, jaki i w pozycji górnego prawego przedtrzonowca. Ponadto pobrano wyciski, oddające sytuację kliniczną w jamie ustnej pacjenta, który zdecydował się na metodę implantacyjną, wykorzystującą nawigację komputerową, z zastosowaniem protokołu MGuide firmy MIS. Procedura ta polega na cyfrowym zaplanowaniu pozycji implantów, a następnie wykonaniu w technice druku 3D szablonu chirurgicznego.Taka metoda pozwala wyeliminować konieczność odwarstwiania płatów, zmniejszając przy tym pozabiegowe dolegliwości. Usprawnia jednocześnie pracę operatora, dokładnie pozycjonując wszczep w pożądanej pozycji. Kolejnym krokiem było przesłanie skanów modeli gipsowych oraz tomografii do siedziby MCenter w Berlinie, gdzie wysoko wyspecjalizowani technicy, dysponujący najnowszą technologią cyfrową, precyzyjnie wykonali szablony nawigacyjne, stosowane podczas zabiegu implantologicznego.
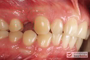
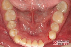
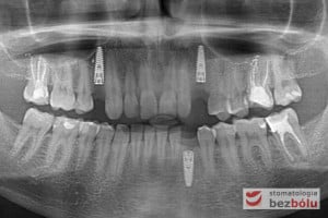
Procedurę chirurgiczną rozpoczęto od sprawdzenia przylegania szablonów do zębów pacjenta oraz znieczulenia miejscowego. W kolejnym kroku, przy pomocy specjalnie przeznaczonego do tego celu zestawu wierteł, wypreparowano krążki dziąsła punktowo odsłaniające kość a następnie poprzez tuleje prowadzące, z najwyższą precyzją, opracowano łoże implantu. Kulminacyjny moment zabiegu, czyli wprowadzenie wszczepów MIS C1 również odbyło się poprzez szablon, gwarantując precyzyjną lokalizację implantów. Zwieńczeniem całej procedury było przyszycie uprzednio wypreparowanych krążków śluzówkowo-okostnowych. Tuż po zabiegu, celem weryfikacji poprawnej pozycji implantów, wykonano zdjęcie ortopantomograficzne. Podczas wizyt kontrolnych, pacjent nie skarżył się na żadne dolegliwości bólowe, nie wystąpił obrzęk, a zreponowane we właściwych miejscach fragmenty dziąsła nie wykazywały oznak martwicy, co świadczyło o ich ponownym ukrwieniu i wgojeniu się. Wszystkie te przesłanki jasno wskazują na skuteczność zastosowania techniki komputerowej nawigacji w implantologii.










