Korekcja uśmiechu aparatem DAMON
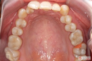
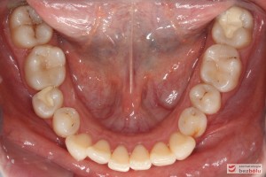
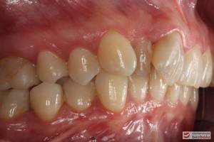
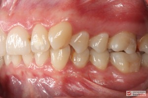
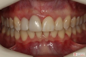
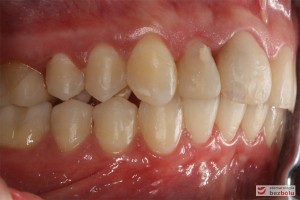
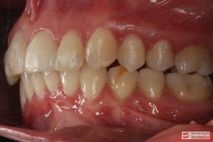
Pacjentka lat 26 zgłosiła się do gabinetu celem korekcji uśmiechu. Głównym zmartwieniem były problemy estetyczne, które znacznie wpływały na jakość życia pacjentki. Wykonano leczenie zachowawcze zębów oraz analizę cefalometryczną i analizę modeli diagnostycznych. Zaplanowano leczenie aktywne aparatem DAMON dla szczęki i żuchwy, które trwało 2 lata. Po fazie leczenia aktywnego rozpoczęto leczenie retencyjne z użyciem szyny tłoczonej dla szczęki i retainera stałego dla żuchwy.
Placówka medyczna NZOZ Stomatologia Bez Bólu











