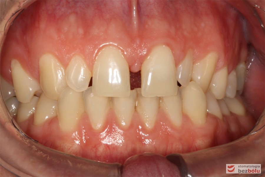
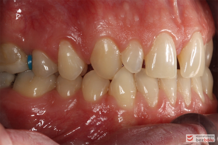
Diastema pomiędzy siekaczami
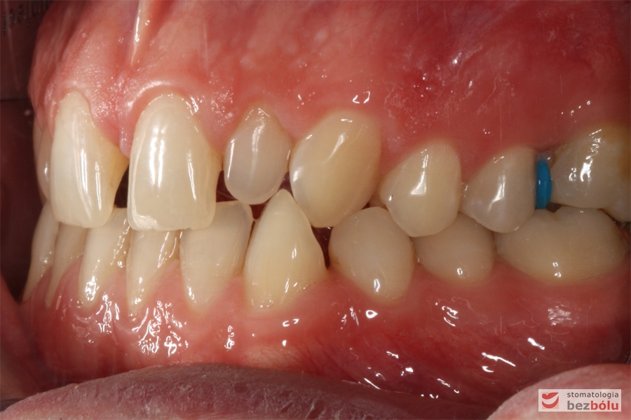
Pacjent lat 34 zgłosił się do naszego gabinetu celem poprawy estetyki uśmiechu. Główną skargą była diastema pomiędzy siekaczami przyśrodkowymi oraz nieestetycznie rudymentowane siekacze boczne. Standardowo wykonano analizę cefalometryczną oraz analizę modeli diagnostycznych. Zamontowano górny aparat stały (na montaż dolnego pacjent nie wyraził zgody). Po leczeniu aktywnym, które trwało 16 miesięcy, pacjentowi zamontowano górny retainer stały.
|
|
|
Placówka medyczna NZOZ Stomatologia Bez Bólu







