Drugi przedtrzonowiec w żuchwie uratowany!
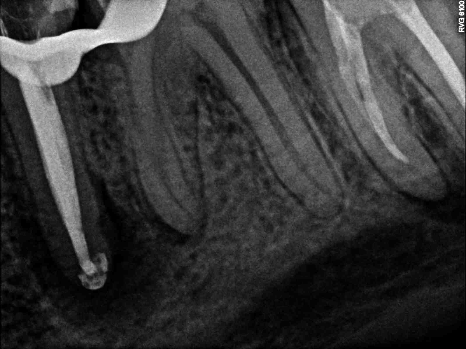
Drugi przedtrzonowiec w żuchwie uratowany. W wyniku terapii endodontycznej nastąpił całkowity zanik zmiany zapalnej w rejonie drugiego przedtrzonowca w żuchwie po lewej stronie. Leczenie kanałowe z użyciem mikroskopu była dodatkowo utrudniona ze względu na pacjenta i jego odruch refluksu. Pacjent zgłosił się do placówki NZOZ Stomatologia Bez Bólu bardzo narzekając na ból, jak określił nie do wytrzymania w żuchwie po lewej stronie. Podczas badania radiologicznego OPG i RVG stwierdzono dużą zmianę zapalną w okolicach wierzchołka korzenia drugiego przedtrzonowca w żuchwie po lewej stronie, generującą zanik kość w tym sektorze żuchwy.


Pacjent bardzo trudno znoszący wymogi leczenia endodontycznego, z silnym odruchem wymiotnym, znacznie utrudniającym kolejne kroki terapeutyczne, w tym diagnostykę radiologiczną.
Dzięki zastosowaniu koferdamu i znieczulenia przewodowego udało się wyleczyć ząb podczas jednej wizyty, minimalizując nieprzyjemne doznania dla pacjenta.
Stomatolog endodonta zastosowała kolejno procedury: udrożnienie i dokładne opracowanie kanału, dezynfekcję z użyciem podchlorynu sodu oraz cytrynianu wraz z chloheksydyną.

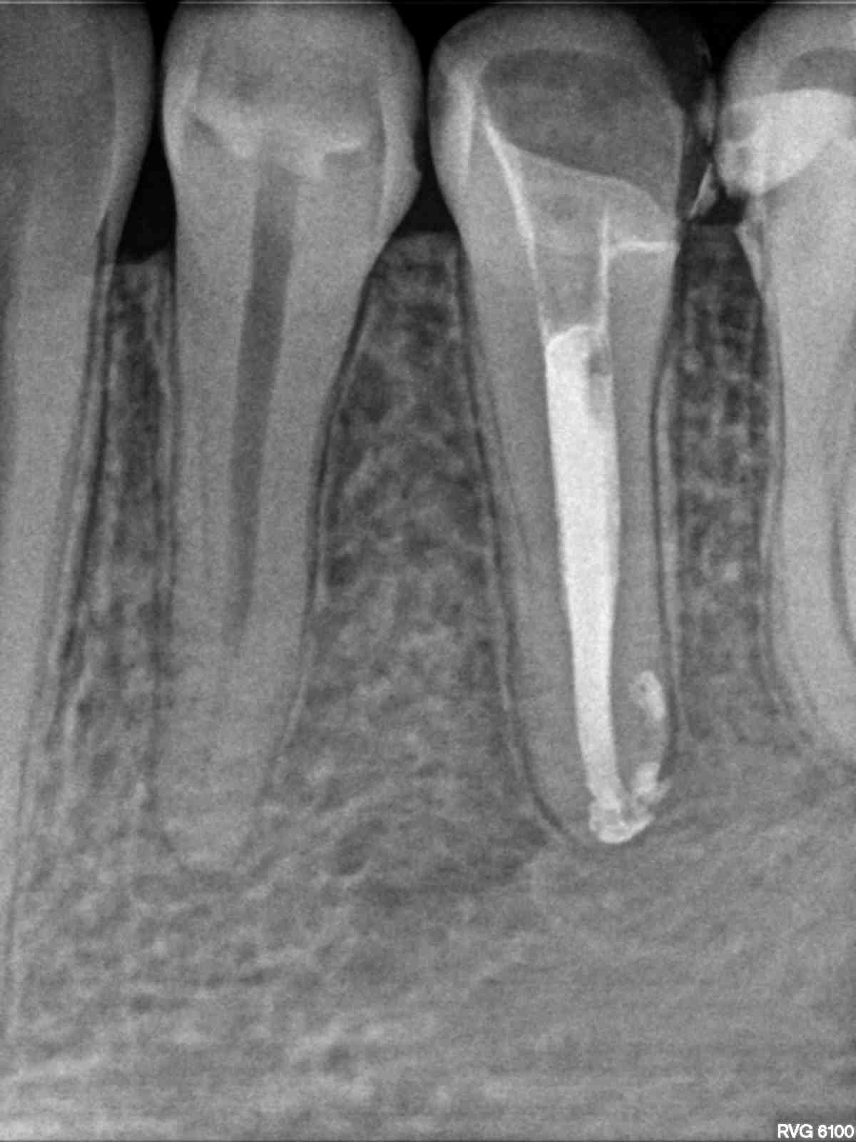
Kanał wypełniono za pomocą Obtury i Systemu B ciekłą gutaperką z użyciem sealera AH+.
Stomatolog protetyk odbudował koronę zęba za pomocą Onlay’a kompozytowego.
Po 10 miesiącach na zdjęciu kontrolnym widać wyraźnie całkowite odbudowanie struktury kostnej okalającej korzeń zęba – drugiego przedtrzonowca w żuchwie po lewej stronie.
Co nas cieszy najbardziej pacjent zapowiedział intensywną dbałość i korzystanie z zabiegów higieny profesjonalnej oraz systematyczną, konsekwentną terapię kolejnych ognisk chorobowych w jamie ustnej.
Placówka stomatologiczna – NZOZ Stomatologia Bez Bólu
Lekarz stomatolog endodonta – Magdalena Karasińska
Lekarz stomatolog implantolog – Ewa Ziemba-Popławska