Ekstruzja Ortodontyczna
Co to jest?
Ekstruzja ortodontyczna – wydłużenie korony klinicznej zęba. Jest ruchem wymuszonym przez siły ortodontyczne a skierowanym do płaszczyzny zwarcia, powodującym rozciąganie włókien ozębnej stymulującym jednocześnie przebudowę wyrostka zębodołowego, co daje zwiększoną objętość kości i dziąsła. Ekstruzja ortodontyczna to skuteczna metoda ratowania zębów po złamaniach koronowo-korzeniowych zębów stałych.
Jakie są cele?
Głównym celem jest uratowanie zęba przed usunięciem. To metoda z wyboru w trudnych przypadkach złamań korzeni zębów przebiegających poniżej przyczepu dziąsłowego. Drugą z metod alternatywnych jest periodontologiczne-mikrochirurgiczne wydłużenie korony klinicznej.
Polecana dla uszkodzonych zębów przedniego odcinka szczęki i żuchwy uszkodzonych wskutek urazu, zmienionych próchnicowo na wysokości szyjki zęba lub resorpcji zewnętrznej tej okolice. Metoda daje szansę na utrzymanie własnego zęba w jamie ustnej bez konieczności zastąpienie go implantem lub mostem.
Metody leczenia.
Ekstruzja ortodontyczna jest nieodzownym instrumentem w planowaniu leczenia interdyscyplinarnego. Materiały służące do jej przeprowadzenia to stałe aparaty całościowe lub segmentowe, konstrukcje ruchome (płytki termoformowalne, aparaty wyjmowalne czynne, minimagnesy, mikroimplanty ortodontyczne.
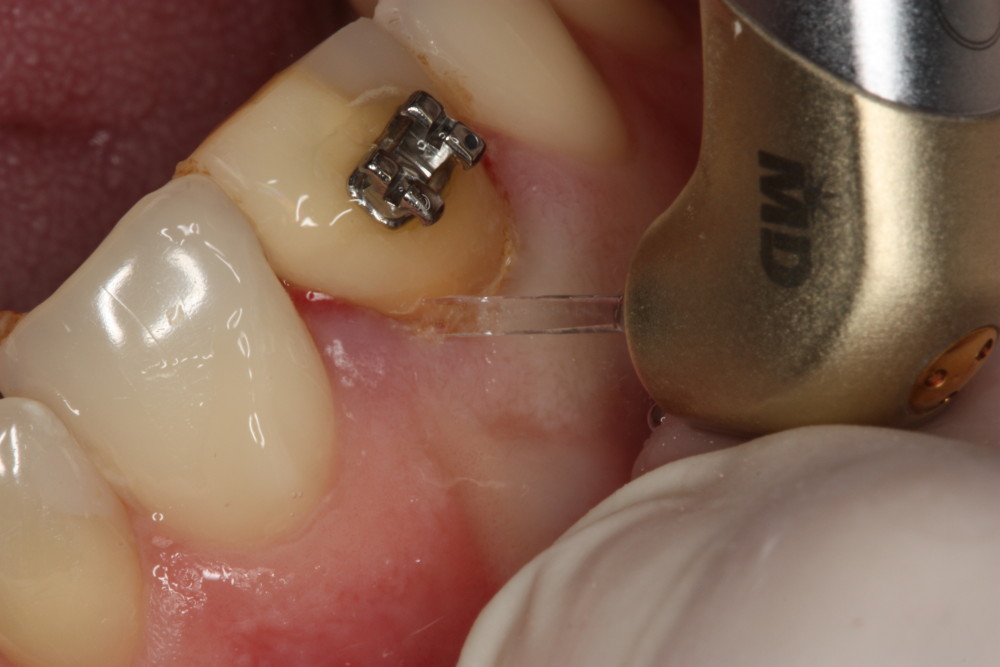
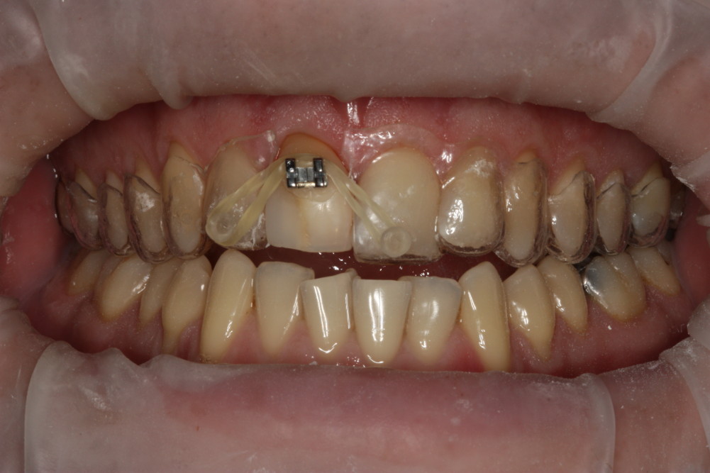
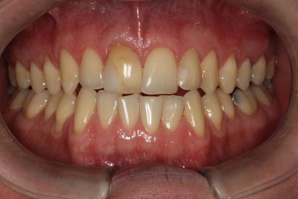
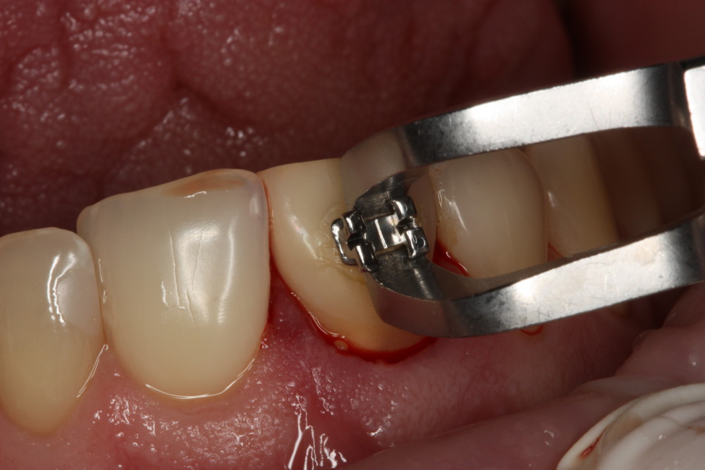
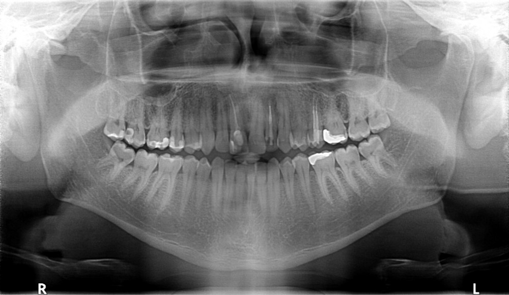
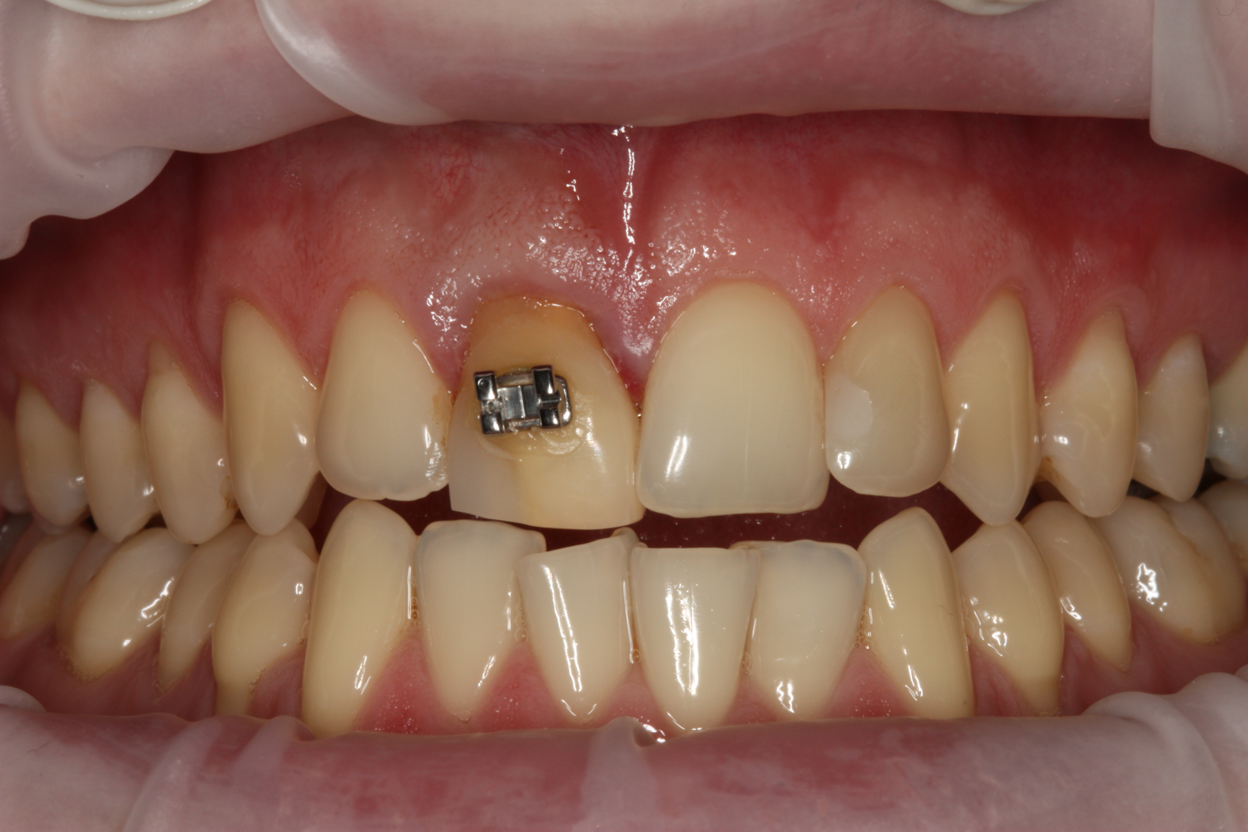
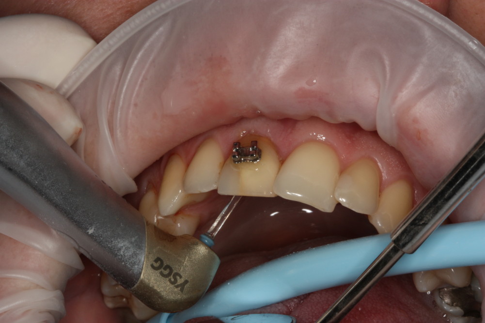
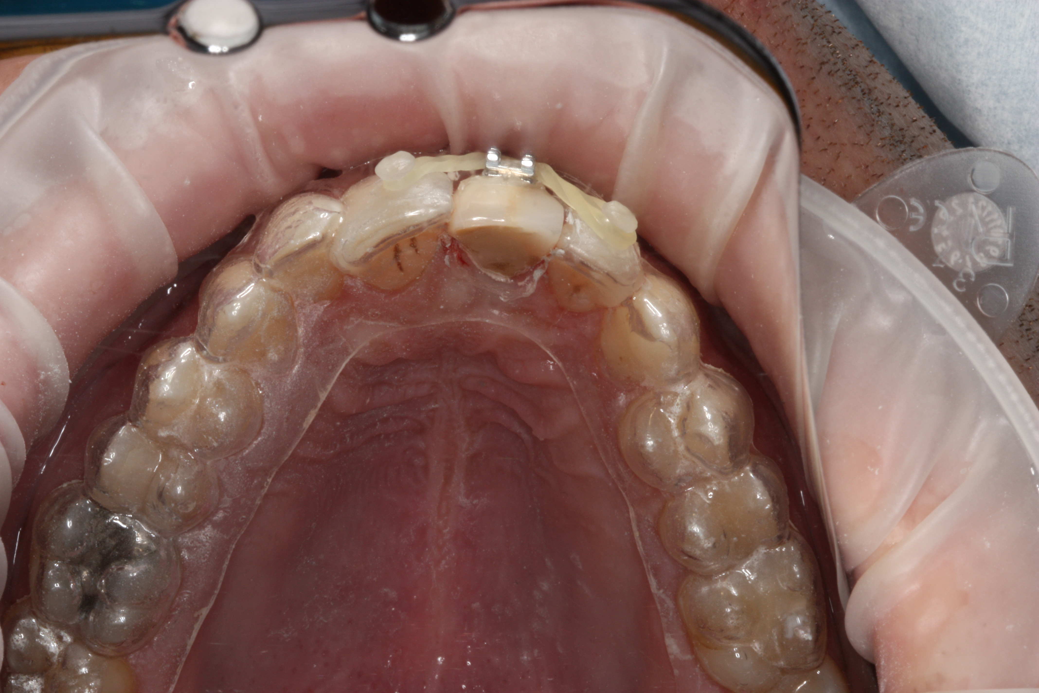
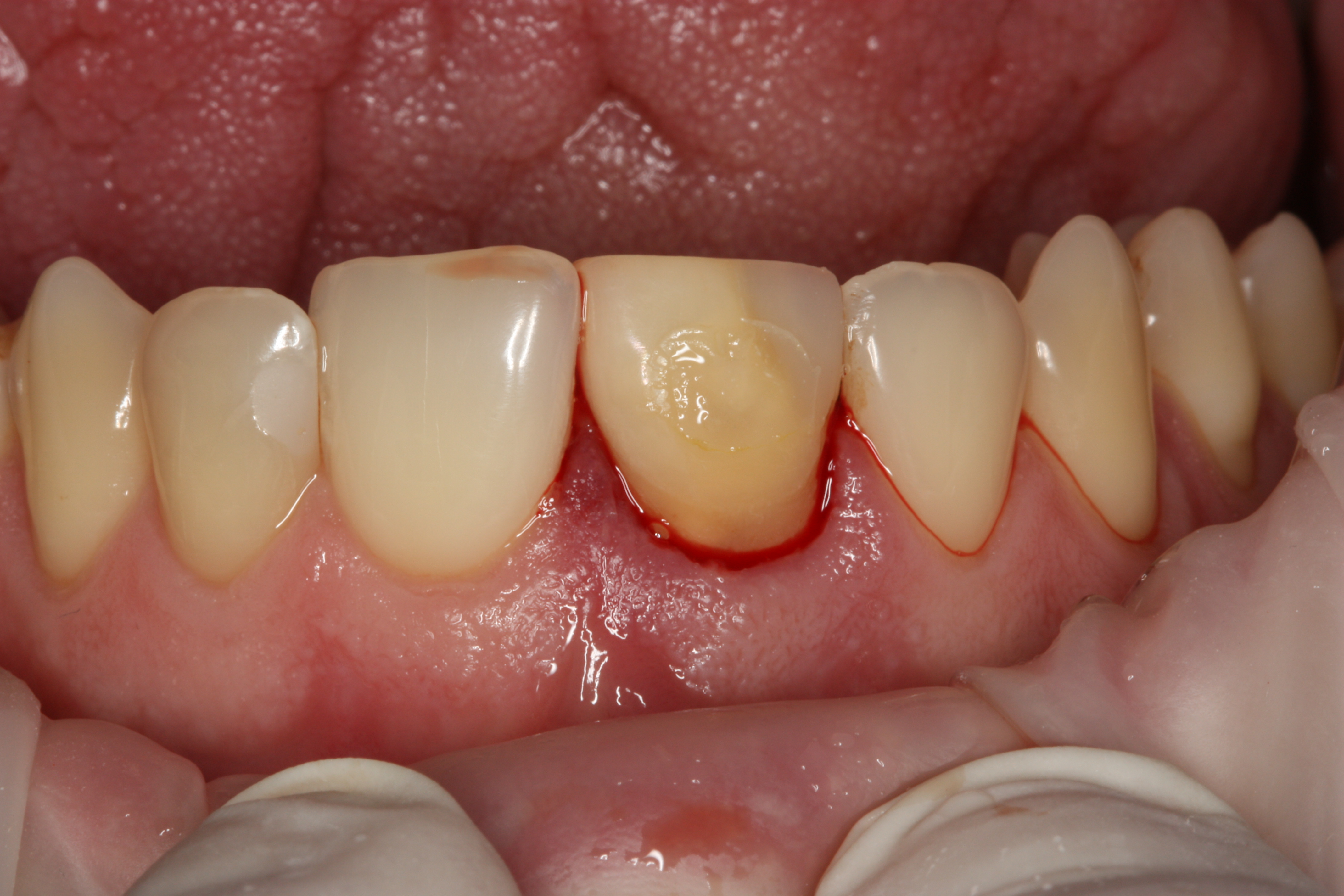
Przykład ekstruzji ortodontycznej za pomocą płytki termoformowalnej i zameczka ortodontycznego:
![]() |
![]() |
![]() |
![]() |
![]() |
![]() |
![]() |
![]() |
![]() |
![]() |
![]() |
![]() |
![]() |
![]() |
![]() |
![]() |
![]() |
![]() |
![]() |





















