Hiperdoncja czyli nadliczbowe zęby
Opis zjawiska oraz prezentacja przypadku „dziewiątki”.Ząb nadmiarowy (łac. dens supranumerarius) występuje poza typowymi 32 zębami i z reguły charakteryzuje się nieprawidłową budową, dlatego dość często określa się je np. potworniakami, zębami stożkowatymi.
Nadliczbowość zębów (hyperdontio) to anomalia polegająca na powstawaniu dodatkowych zawiązków zębowych – w efekcie czego formuje się nadliczbowy siekacz, kieł, przedtrzonowiec lub ząb trzonowy. Nieprawidłowa liczba zębów zaburza harmonię narządu żucia, uniemożliwiając najczęściej uzyskanie idealnej okluzji. Częstość występowania zębów nadliczbowych ocenia się na 1,05-1,2%. Obecność zębów nadliczbowych może się przyczyniać do licznych zaburzeń w obrębie narządu żucia i spowodować sporo innych problemów.
Wyróżniamy hiperdoncję:
– rzeczywistą, która dotyczy zębów stałych,
– rzekomą, czyli związaną z tym, że zęby mleczne nie wypadły mimo tego, że wyrosły już zęby stałe.
Ile zębów powinien posiadać człowiek, a ile to już hiperdoncja?
Wraz z postępem ewolucji liczba zębów u ludzi malała. Nasi praprzodkowie mieli inną budowę czaszki, większą szczękę a co za tym idzie większą liczbę zębów. Badania dowodzą, że mieli oni dodatkowo dziewiąte i dziesiąte zęby, które były im niezbędne do radzenia sobie z nieprzetworzoną żywnością. Współczesnyhomo spaiens sapiens powinien posiadać:
– 20 zębów mlecznych: osiem zębów trzonowych, cztery kły i osiem siekaczy
– 32 zęby stałe: osiem trzonowców, cztery kły, osiem siekaczy i dwanaście zębów przedtrzonowych
Nadliczbowość – co warto o niej wiedzieć?
– zęby nadliczbowe mogą występować pojedynczo lub w postaci mnogiej. Pojedyncze zęby nadliczbowe stanowią 70-87% wszystkich przypadków;
– zęby nadliczbowe częściej umiejscawiają się w górnej szczęce i są z reguły zlokalizowane w jej odcinku przednim;
– wyróżnia się nadliczbowość zębów rzeczywistą i rzekomą.
– najczęściej spotykanym zębem nadliczbowym jest mezjodens (ząb środkowy, umiejscowiony między górnymi siekaczami przyśrodkowymi). Mezjodensy częściej występują u chłopców niż u dziewcząt. Na drugim miejscu pod względem frekwencji plasuje się ząb zatrzonowcowy, czyli nasz dzisiejsza dziewiątka (prezentacja przypadku poniżej).
– w około 75% przypadków zęby nadliczbowe pozostają zatrzymane (nie przebijają się przez dziąsło),
– niekiedy spotyka się zęby nadliczbowe połączone z zębami prawidłowymi (są to tzw. zęby dwoiste, zlane lub zrośnięte),
– zęby nadliczbowe mogą mieć taką samą budowę (choć przeważnie mniejsze rozmiary) niż ząb prawidłowy. Zdarzają się jednak zęby atypowe (dysmorficzne), które przybierają nietypowe formy, np. różyczkowate, stożkowate, kroplowate, dłutowate, pieńkowate, wieloguzkowe lub przybierają postać samych korzeni.
– nadliczebność zębowa występuje znacznie częściej u osób rasy żółtej.
Postępowanie lecznicze w przypadku zębów nadliczbowych zależy głównie od tego, czy występują one w uzębieniu mlecznym, czy w stałym. Decyzję o usunięciu zęba nadliczbowego podejmuje lekarz na podstawie wieku pacjenta, warunków zgryzowych w jamie ustnej oraz stopnia uformowania korzeni sąsiednich zębów. Niestety, najczęściej zęby nadliczbowe powodują poważne zaburzenia w zgryzie (stłoczenia, przemieszczenia, obroty zębów sąsiednich i diastemę), dlatego usuwa się je chirurgicznie. Wskazaniem do zabiegu jest również nasilenie próchnicy i chorób przyzębia, bóle neuralgiczne, powstanie torbieli, opóźnione wyrzynanie sąsiednich zębów lub resorpcja ich korzeni, nawracające stany zapalne połączone z obrzękiem oraz szczękościskiem.
W niektórych przypadkach stomatolog decyduje się na pozostawienie nadliczbowego zęba, kontrolując go okresowo radiologicznie. Taka sytuacja dotyczy najczęściej zębów zatrzonowcowych, szczególnie górnych dziewiątek, które często nie dają negatywnych objawów, a zabieg ich usunięcia jest skomplikowany i często bardzo traumatyczny dla pacjenta.
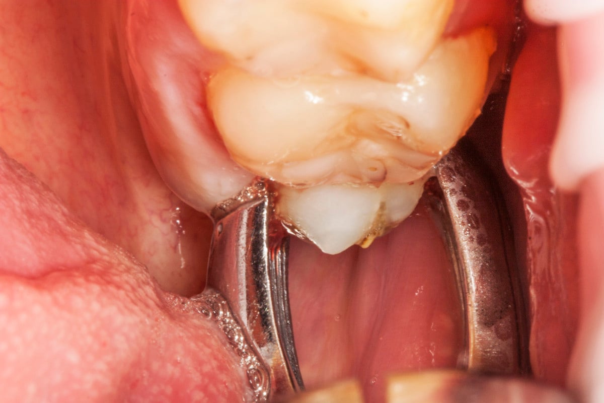
Opis przypadku klinicznego „dziewiątki”
„Pacjent, który się zgłosił z dolegliwościami bólowymi górnej lewej szczęki, miał charakterystyczne objawy dla zapalenia ozębnej. Dzięki wykonaniu diagnostyki radiologicznej (zdjęcie pantomograficzne), ujawniono istnienie dziewiątego zęba, który był dodatkowo obciążony okluzyjnie. Pacjent miał otwarty zgryz – w momencie, kiedy zamykał zęby kontaktował się tylko na zębach trzonowych. To wszystko powodowało, że główny nacisk zębów był na tą malutką stożkową dziewiątkę. Przeciążenie tego zęba spowodowało to, że związanie włókien kolagenowych z podłożem kostnym osłabiło się, powstała kieszeń dziąsłowa i kieszeń kostna. To wszystko było przyczyną silnych dolegliwości bólowych o charakterze periotonditis, czyli zapaleniu wzdłuż calej długości ozębnej.
Leczenie zgryzu otwartego u osób dorosłych. W tym przypadku zastosowano model leczenia zgryzu otwartego polegającego na usunięciu zębów zarówno w górnym jak i dolnym łuku.
W momencie, kiedy pacjent nie zdecyduje na kompleksowe leczenie ortodontyczne, to zapewne będzie konieczność usunięcia ósemek, żeby osiągnąć pełne zaguzkowanie i jednocześnie zwiększyć wydolność żucia. Pacjent zawsze będzie miał osłabioną wydolność żucia w sytuacji, kiedy gryzie tylko ostatnimi zębami.
Pomimo, że ten ząb umieszczony w guzie szczęki, w miejscu bardzo odległym, niewidocznym i pacjent nie miał świadomości, że ma ząb dziewiąty, to zabieg był dość prosty, nie sprawiający kłopotów i nie wystąpiły żadne komplikacje.” –
dr Magdalena Żywicka M.Sc., kierownik medyczny placówki Stomatologia Bez Bólu
rozmawiał – Mikołaj Bachur






