Implantacja z użyciem szablonów chirurgicznych – gadżet czy wysoki standard?
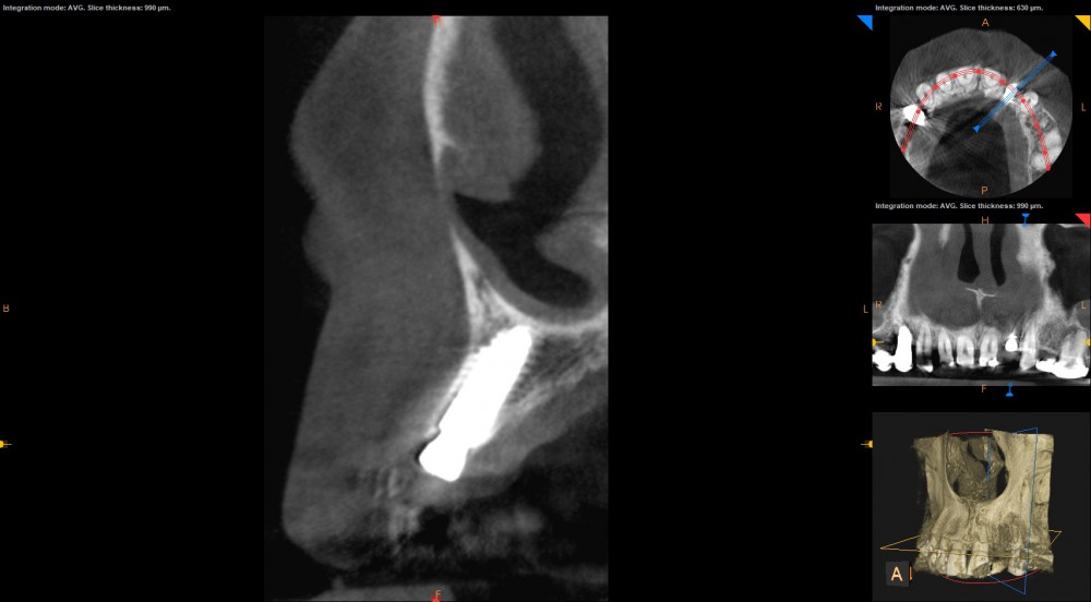
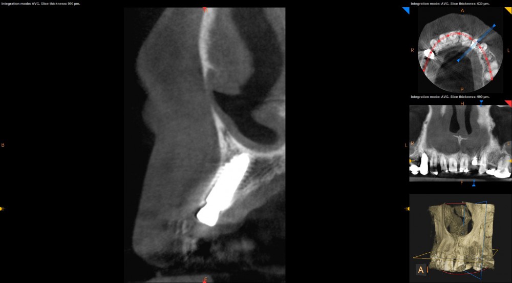
Pozycjonowanie implantów zębowych do niedawna uzależnione było wyłącznie od wiedzy, doświadczenia i chirurgicznej intuicji implantologa. Technologia CAD-CAM otworzyła wrota świadomej i bezpiecznej chirurgii szczepowej. Szablon chirurgiczny powstaje w drodze nałożenia obrazu otrzymanego dzięki skanowaniu z obrazem z CBCT (tomografia). Lekarz otrzymuje precyzyjny i rzeczywisty obraz tkanek w obrębie jamy ustnej pacjenta. Na tej podstawie ocenia ilość, gęstość i wymiary wyrostka zębodołowego oraz biotyp tkanki miękkiej, aby dostosować idealny kształt i rozmiar implantów.
Krok pierwszy – konsultacja i gruntowana diagnostyka.
Krok drugi – cyfrowa wizualizacja opcji terapeutycznych i przygotowanie pacjenta do zabiegu.
Krok trzeci – szybki i bezbolesny zabieg.
Krok czwarty – kontrola po zabiegowa.
Korzyści wynikające z cyfrowego zarządzania chirurgią
– precyzja: umieszczenie implantów idealnie w centrum zaprojektowanej korony.
– bezpieczeństwo: ten zabieg pozwala oszczędzić tkankę dziąsłową i zabezpieczyć kość otaczającą przed jej nadmierną utratą i skaleczeniem.
– oszczędność czasu: pacjent zostaje na fotelu nie dłużej niż 15 min w porównaniu z zabiegiem konwencjonalnym, który trwa 1,5 godziny!!!

Kluczowy wpływ na powodzenie całego leczenia mają pierwsze dwa tygodnie po zabiegu, podczas których tkanka się goi – następuje proces osteointegracji, czyli integracji chropowatej powierzchni tytanowego implantu z kością. Bardzo ważne jest dostosowanie się w tym czasie do zaleceń lekarza, w szczególności unikanie nadmiernych, mechanicznych presji na implant. Cały proces gojenia powinien zakończyć się przed upływem 8 tygodniu!



