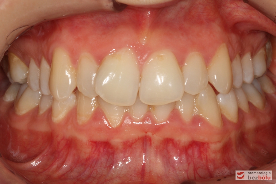
Korekta stłoczeń i osi nachylenia zębów
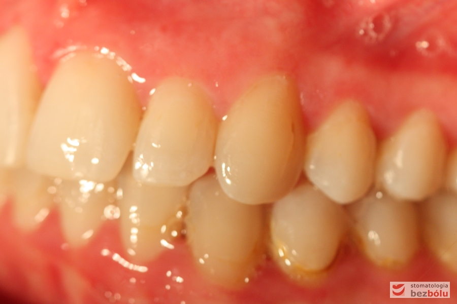
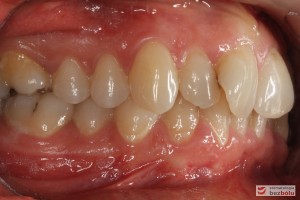
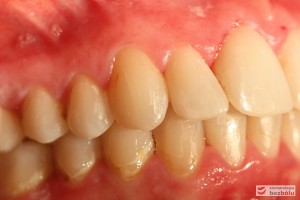
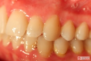
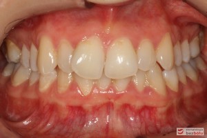
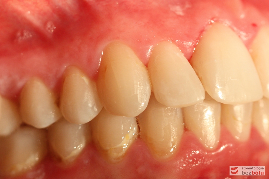
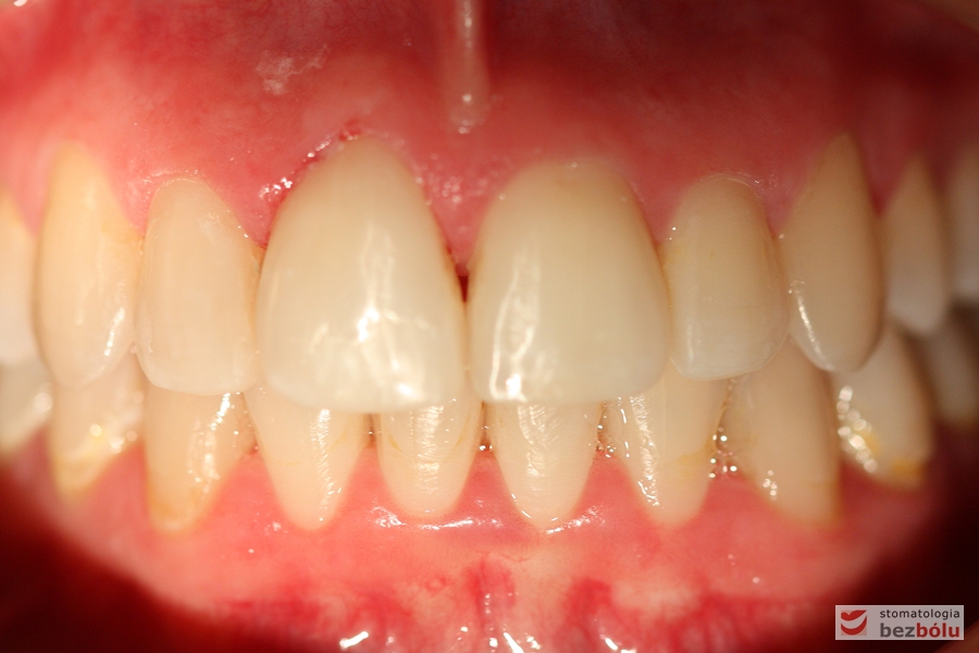
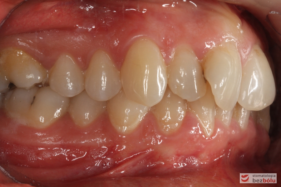
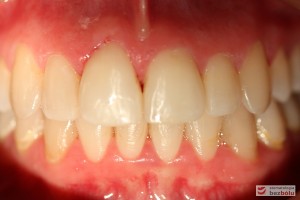
Młoda pacjentka zgłosiła się do gabinetu celem korekty uśmiechu. Wykonano analizę cefalometryczną i analizę modeli diagnostycznych oraz ustalono plan leczenia polegający głównie na korekcie stłoczeń i osi nachylenia przednich zębów. Czas trwania leczenia aktywnego wyniósł 2 lata. Następnie w dolnym łuku naklejono stały retainer, zaś na górny łuk wykonano płytkę retencyjną.
Placówka medyczna NZOZ Stomatologia Bez Bólu







