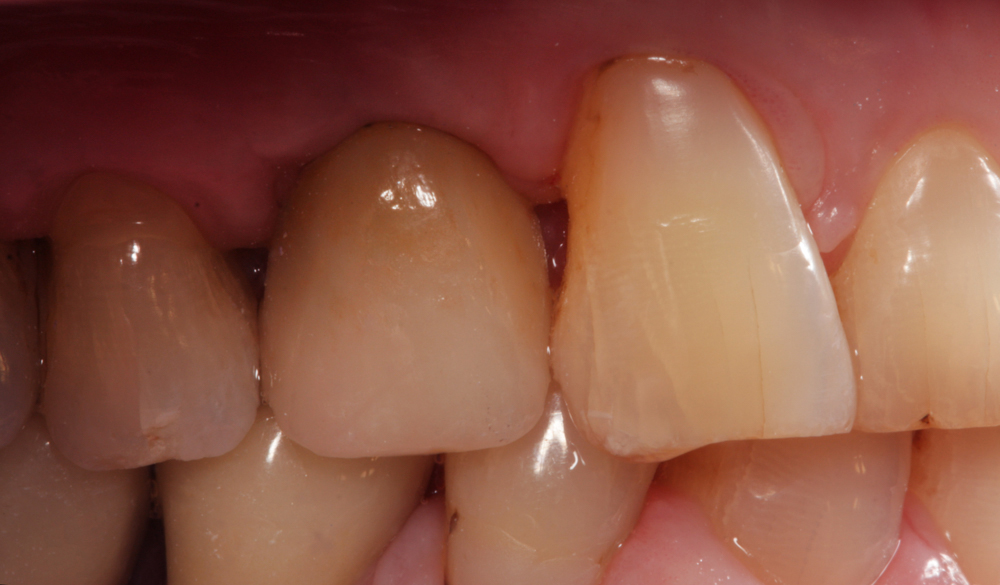
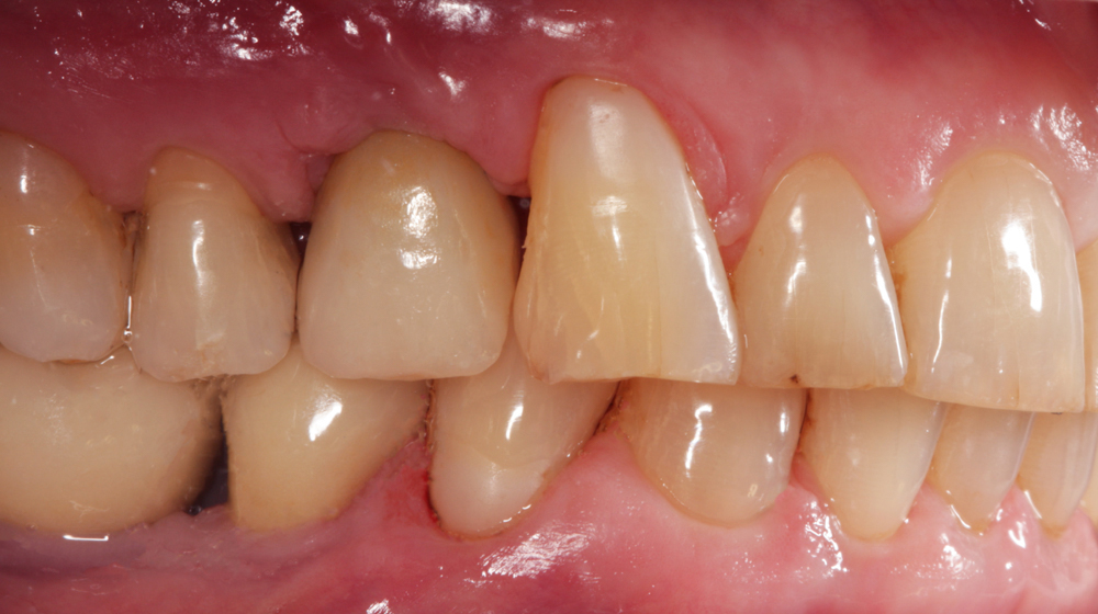
ODBUDOWA IMPLANTO-PROTETYCZNA BRAKUJĄCEGO PIERWSZEGO PRZEDTRZONOWCA W SZCZĘCE. Tzw. KORONA NA IMPLANCIE
Co jeśli pacjent nie chce więcej?
Rozmaite są powody motywujące pacjenta do odwiedzenia gabinetu stomatologicznego. Często jest to ból, niepokój o zmianę zauważoną w jamie ustnej, potrzeba poprawy estetycznej, chęć przeprowadzenia gruntownego „remontu zębów”. Bywa też często, że pacjent ma ściśle zdefiniowaną potrzebę przeprowadzenia konkretnej, ograniczonej do jednej procedury terapii. Najczęściej w tych przypadkach towarzyszą inne problemy, które nieuświadomione przez pacjenta, odkrywane zostają przy pierwszym badaniu. Cyfrowa, nowoczesna technologia umożliwia zobrazowanie możliwości terapeutycznych rozwiązań stomatologicznych za pomocą wirtualnych wizualizacji w specjalistycznym oprogramowaniu.
Czym jest nowoczesna stomatologia? Co się zmieniło w ciągu ostatnich lat?
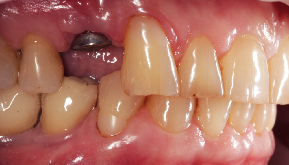
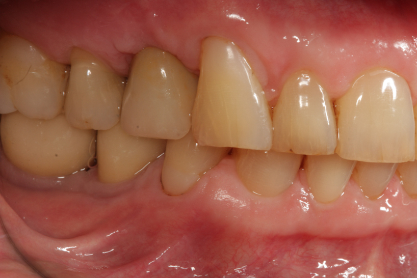
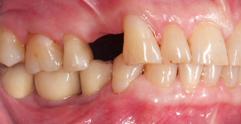
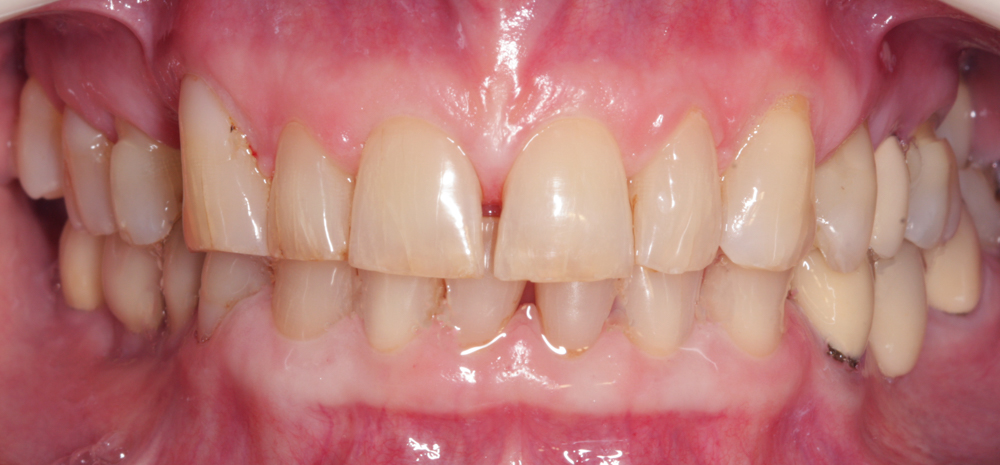
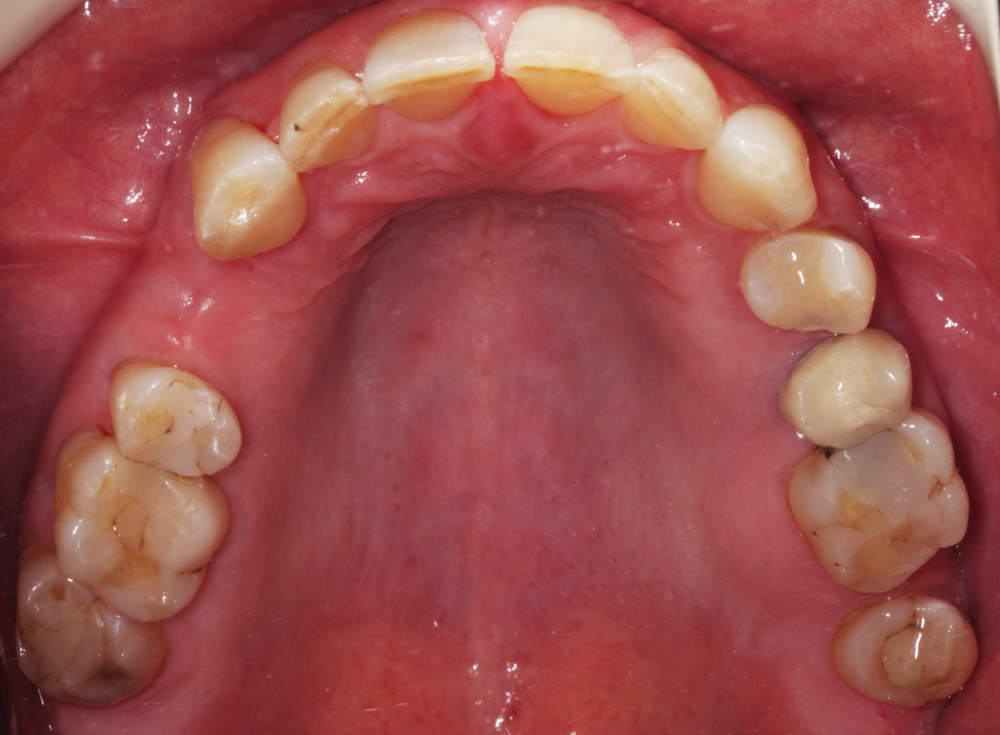
Współczesna stomatologia zobowiązuje lekarza do holistycznego spojrzenia na pacjenta i do takiej pełnej, kompleksowej diagnozy każdy badany ma prawo. Ocenie terapeuty poddawane są; kręgi szyjne, mięśnie i nerwy czaszkowe, kondycja zmysłu węchu, wzroku, słuchu, stawy skroniowo-żuchwowe, błony śluzowe jamy ustnej, ilość i jakość wydzielanej śliny, czy wreszcie struktury twarde zębów. Uważne badanie dostarcza szereg istotnych informacji, które mogą być istotne w prognozowaniu problemów, które zaistnieją w przyszłości. Pomimo rzetelnego informowania pacjenta o zagrożeniach i konsekwencjach powstrzymania się od kompleksowego leczenia, często pacjent rezygnuje (z różnych powodów ) z wdrożenia pełnej terapii. Prezentowany przypadek obrazuje taką właśnie sytuację. Pomimo wielu potrzeb leczniczych wśród których najistotniejszym jest starcie patologiczne wszystkich zębów, najważniejsze i jedyne czego pacjentka oczekiwała było odtworzenia pierwszego przedtrzonowca w szczęce po prawej stronie. 







































