Leczenie bezekstrakcyjne z wykorzystaniem strippingu
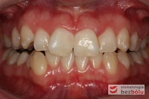
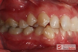
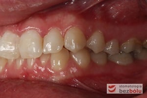
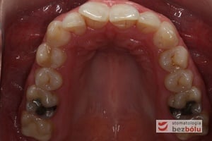
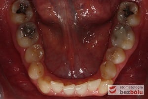
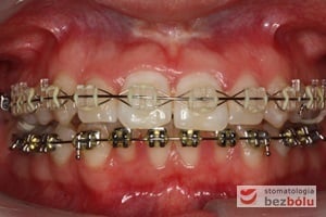
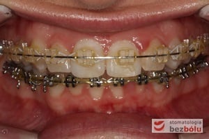
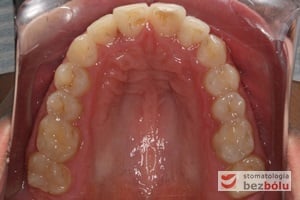
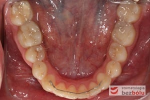
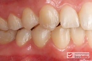
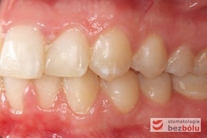
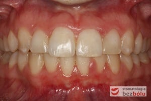
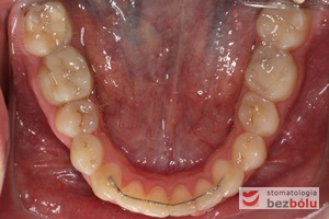
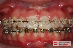
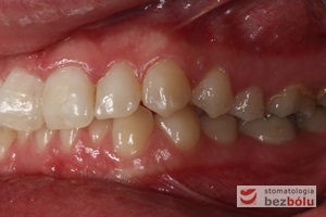
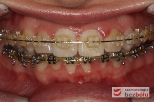
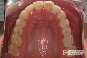
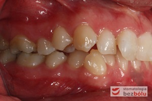
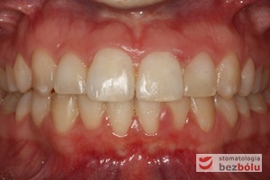
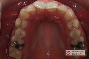
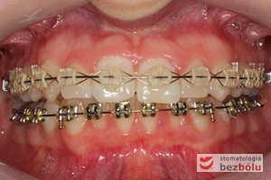
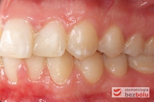
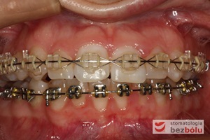
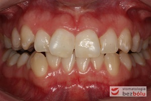
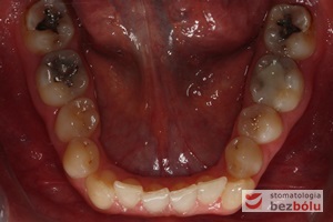
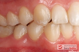
Pacjentka lat 22 zgłosiła się do naszej placówki celem podjęcia leczenia ortodontycznego. Głównym oczekiwaniem pacjentki była poprawa estetyki uśmiechu oraz brak ekstrakcji zębów na drodze do jej uzyskania. Ze względu na liczne stłoczenia zębów w górnym i dolnym łuku, dość duży materiał zębowy w porównaniu z bazą kostną, a także zgryz przewieszony boczny prawostronny po dokładnej analizie cefalometrycznej oraz analizie modeli diagnostycznych zastosowano leczenie bezekstrakcyjne z wykorzystaniem strippingu jako alternatywy dla usuwania zębów, mającego na celu uzyskanie miejsca w łuku na uszeregowanie zębów. Po fazie aktywnego leczenia trwającego 18 miesięcy zastosowano leczenie retencyjne w postaci szyny retencyjnej w łuku górnym oraz retainera stałego w łuku zębowym dolnym klejonego od kła do kła.

















