Leczenie wady ortodontyczno-ortognatycznej z mikroimplantem

23 kwietnia, 2014

Leczenie wady ortodontyczno-ortognatycznej z mikroimplantem

Młoda, subtelna pacjentka w wieku 26 lat, po wielu konsultacjach w gabinetach ortodontycznych, zgłosiła się do naszej placówki celem wyleczenia skomplikowanej wady ortodontyczno-ortognatycznej. Po wykonaniu wnikliwej analizy cefalometrycznejanalizie modeli zaplanowano leczenie aparatem strzałkowym dla szczęki i żuchwy w I fazie oraz aparatem stałymsystemie niskiego tarcia (DAMON) w fazie II. Aktywny proces leczenia obejmujący obie fazy zajął 2 lata i 7 miesięcy. Po demontażu aparatu rozpoczęto leczenie retencyjne z użyciem tzw. podwójnej retencji w postaci retainerów stałych klejonych od kła do kła w szczęce i żuchwie oraz dwóch szyn retencyjnych. Wobec znacznego starcia zębów przednich, wywołanego wadą zgryzu, pacjentka została poddana zabiegowi estetycznemu polegającemu na rekonstrukcji utraconych tkanek zębów z użyciem materiału kompozytowego.

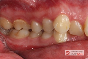
Warunki zgryzowe po stronie prawej przed leczeniem
Warunki zgryzowe po stronie prawej przed leczeniem

Zgryz pacjentki przed leczeniem, widoczne bardzo duże stłoczenia zębów, zgryz krzyżowy obustronny
Zgryz pacjentki przed leczeniem, widoczne bardzo duże stłoczenia zębów, zgryz krzyżowy obustronny

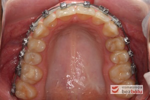
Wygląd okluzyjny łuku górnego przed leczeniem
Wygląd okluzyjny łuku górnego przed leczeniem

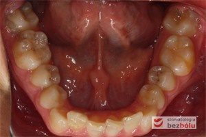
Wygląd okluzyjny łuku dolnego przed leczeniem
Wygląd okluzyjny łuku dolnego przed leczeniem

Nieśmiały uśmiech pacjentki przed leczeniem
Nieśmiały uśmiech pacjentki przed leczeniem

Zdjęcie radiologiczne cefalometryczne wykonane przed leczeniem ortodontycznym
Zdjęcie radiologiczne cefalometryczne wykonane przed leczeniem ortodontycznym

I faza leczenia - aparat sprężynowy dla szczęki
I faza leczenia – aparat sprężynowy dla szczęki

I faza leczenia - aparat sprężynowy dla żuchwy
I faza leczenia – aparat sprężynowy dla żuchwy

Strona prawa w zwarciu z zacementowanym aparatem sprężynowym (II klasa kłowa i II klasa Angle'a)
Strona prawa w zwarciu z zacementowanym aparatem sprężynowym (II klasa kłowa i II klasa Angle’a)

Strona lewa w zwarciu z zacementowanym aparatem sprężynowym (II klasa kłowa i II klasa Angle'a)
Strona lewa w zwarciu z zacementowanym aparatem sprężynowym (II klasa kłowa i II klasa Angle’a)

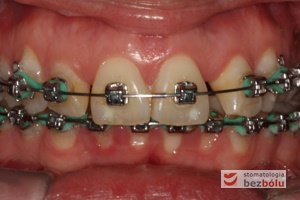
II faza leczenia - założenie aparatu DAMON ze zróżnicowanym torkiem dla poszczególnych zębów
II faza leczenia – założenie aparatu DAMON ze zróżnicowanym torkiem dla poszczególnych zębów

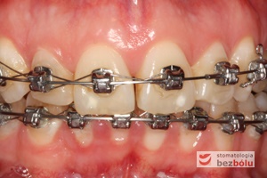
II faza leczenia - pełny aparat z zamontowanymi łukami
II faza leczenia – pełny aparat z zamontowanymi łukami

II faza leczenia - 2 miesiące od założenia aparatu DAMON
II faza leczenia – 2 miesiące od założenia aparatu DAMON

II faza leczenia - 2,5 miesiąca od założenia aparatu DAMON
II faza leczenia – 2,5 miesiąca od założenia aparatu DAMON

II faza leczenia - 7,5 miesiąca od założenia aparatu DAMON
II faza leczenia – 7,5 miesiąca od założenia aparatu DAMON

II faza leczenia - 9 miesięcy od założenia aparatu DAMON
II faza leczenia – 9 miesięcy od założenia aparatu DAMON

II faza leczenia - 9 miesięcy od założenia aparatu DAMON
II faza leczenia – 9 miesięcy od założenia aparatu DAMON

II faza leczenia - 9 miesięcy od założenia aparatu DAMON
II faza leczenia – 9 miesięcy od założenia aparatu DAMON

II faza leczenia - 10,5 miesiąca od założenia aparatu DAMON
II faza leczenia – 10,5 miesiąca od założenia aparatu DAMON

II faza leczenia - 13,5 miesiąca od założenia aparatu DAMON
II faza leczenia – 13,5 miesiąca od założenia aparatu DAMON

Kontrolne zdjęcie pantomograficzne w celu oceny pozycji korzeni zębów
Kontrolne zdjęcie pantomograficzne w celu oceny pozycji korzeni zębów

Kontrolne zdjęcie cefalometryczne (tele)
Kontrolne zdjęcie cefalometryczne (tele)

II faza leczenia - 18 miesiący od założenia aparatu DAMON
II faza leczenia – 18 miesiący od założenia aparatu DAMON

II faza leczenia - 20 miesięcy od założenia aparatu DAMON
II faza leczenia – 20 miesięcy od założenia aparatu DAMON

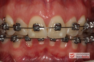
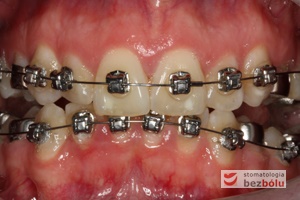
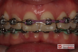
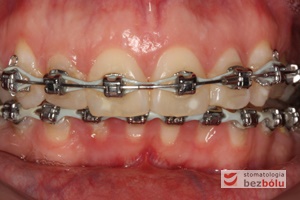
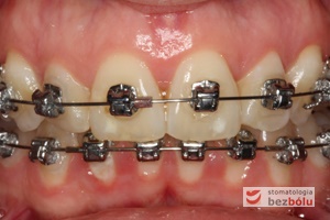
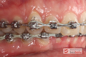
II faza leczenia - faza finishingu
II faza leczenia – faza finishingu

II faza leczenia - faza finishingu
II faza leczenia – faza finishingu

II faza leczenia - faza finishingu
II faza leczenia – faza finishingu

II faza leczenia - faza finishingu
II faza leczenia – faza finishingu

II faza leczenia - faza finishingu
II faza leczenia – faza finishingu

II faza leczenia - faza finishingu
II faza leczenia – faza finishingu

Wygląd zębów w zwarciu po zdjęciu aparatu
Wygląd zębów w zwarciu po zdjęciu aparatu

Wygląd zębów w zwarciu po zdjęciu aparatu
Wygląd zębów w zwarciu po zdjęciu aparatu
ZB30_IMG_2148

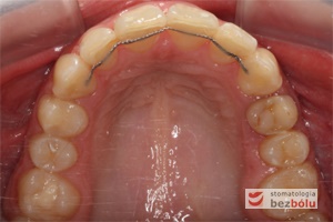
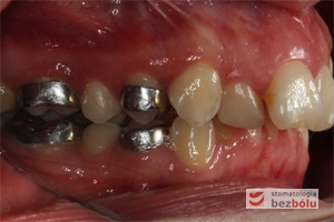
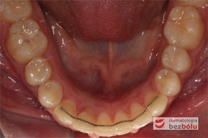
Wygląd łuku dolnego po leczeniu z przyklejonym retainerem stałym
Wygląd łuku dolnego po leczeniu z przyklejonym retainerem stałym

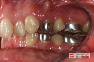
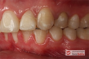
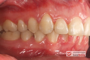
Warunki zwarciowe po leczeniu - strona prawa
Warunki zwarciowe po leczeniu – strona prawa

Warunki zwarciowe po leczeniu - strona lewa
Warunki zwarciowe po leczeniu – strona lewa

Nieśmiały uśmiech pacjentki przed leczeniem
Nieśmiały uśmiech pacjentki przed leczeniem

Uśmiech zadowolonej pacjentki z efektów terapii
Uśmiech zadowolonej pacjentki z efektów terapii

Placówka medyczna NZOZ Stomatologia Bez Bólu

PODZIEL SIĘ:

Kontakt