Leczenie z wykorzystaniem systemu DAMON
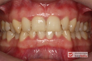
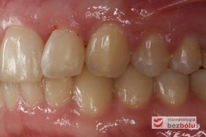
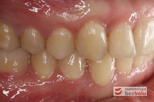
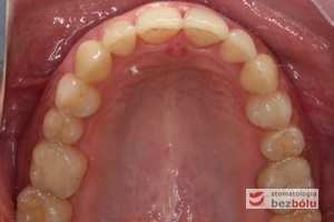
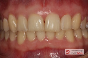
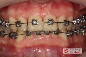
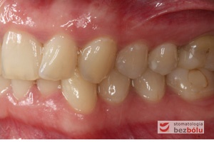
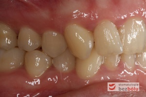
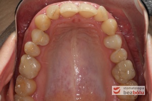
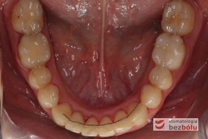
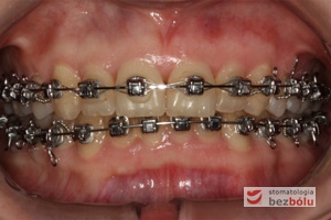
Pacjentka lat 28 zgłosiła się do naszej placówki celem podjęcia leczenia ortodontycznego. Głównym problemem jaki zgłaszała była chęć poprawy estetyki uśmiechu. Tak jak obligatoryjnie w przypadku każdego pacjenta wykonano analizę cefalometryczną, analizę modeli oraz tkanek miękkich wchodzących w skład układu stomatognatycznego. Ze względu na miejsce zamieszkania pacjentki za granicą zaplanowano leczenie aparatem stałym w systemie niskiego tarcia (DAMON), który umożliwił rzadsze wizyty kontrolne. Aktywna faza leczenia zajęła 12 m-cy. Po zdjęciu aparatu rozpoczęto leczenie retencyjne w postaci szyny retencyjnej w łuku górnym oraz retencji stałej w łuku dolnym.
|
|
|
|
|
|
Placówka medyczna NZOZ Stomatologia Bez Bólu










