Licówki w ekspresowym tempie – galeria

15 lutego, 2017

Licówki w ekspresowym tempie – galeria

Bardzo aktywny zawodowo młody człowiek z ograniczeniami czasowymi oczekiwał kompromisowej poprawy estetyki uśmiechu. Główną skargą pacjenta były liczne przetarcia wypełnień, ubytki szkliwa oraz dyskoloracje.
Nie zdecydował się na długie leczenie ortodontyczne, które ze względu na złożoność wady kostnej, narzucało duży reżim terapeutyczny po stronie pacjenta. Brak czasu był głównym czynnikiem określającym wybór terapii.

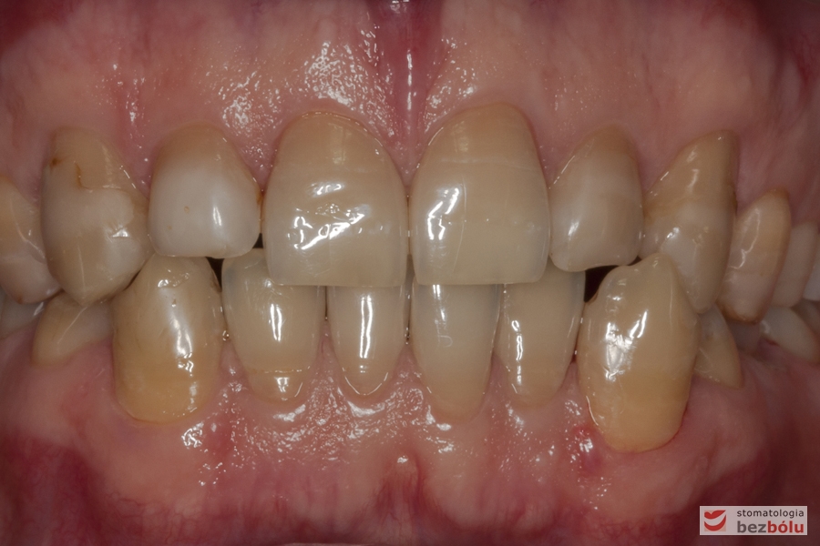
Uśmiech pacjenta przed leczeniem
Uśmiech pacjenta przed leczeniem

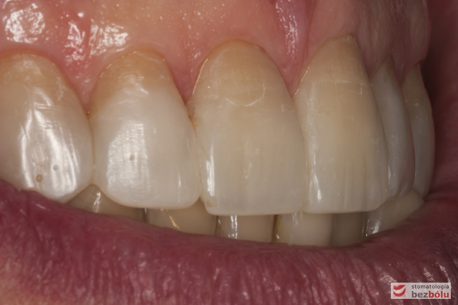
Licówki rachciachciach
Licówki rachciachciach

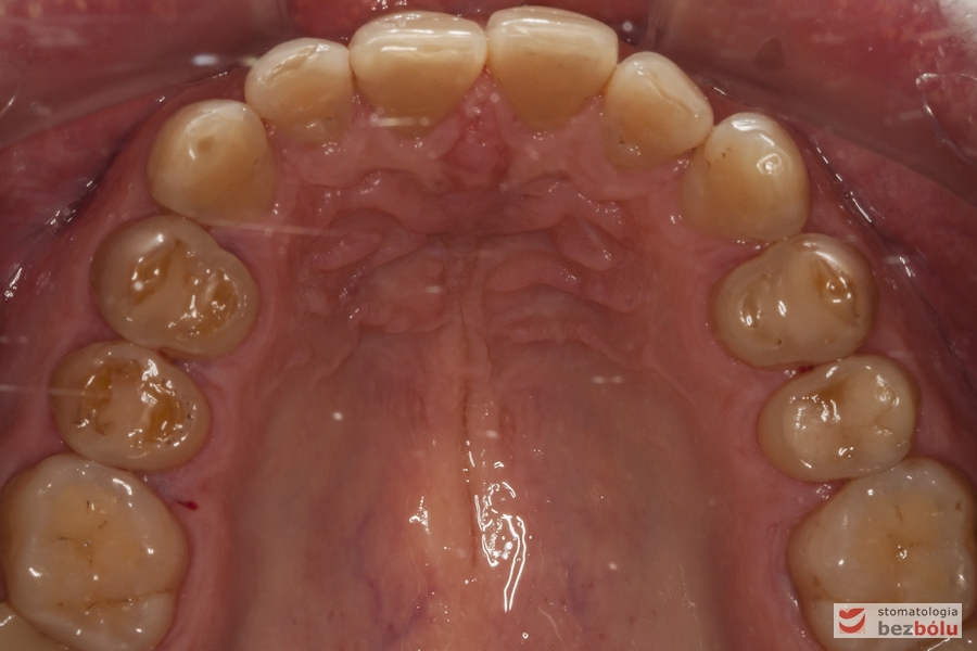
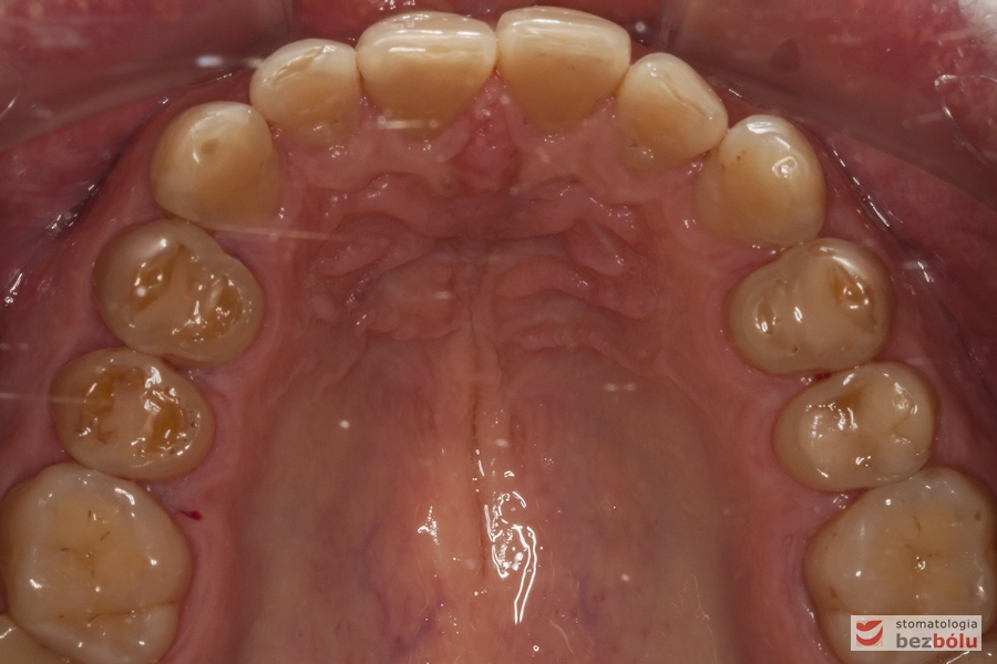
Szczęka - widok okluzyjny, liczne starcia i ubytki szkliwa, nieregularna obwiednia łuku
Szczęka – widok okluzyjny, liczne starcia i ubytki szkliwa, nieregularna obwiednia łuku

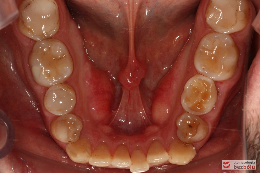
Żuchwa - widok okluzyjny, stłoczenia i rotacje w odcinku przednim, ząb mleczny po stronie lewej
Żuchwa – widok okluzyjny, stłoczenia i rotacje w odcinku przednim, ząb mleczny po stronie lewej

Zęby w zwarciu - strona prawa, przebarwienia świadczące o chorobie szkliwa (hypoplazja)
Zęby w zwarciu – strona prawa, przebarwienia świadczące o chorobie szkliwa (hypoplazja)

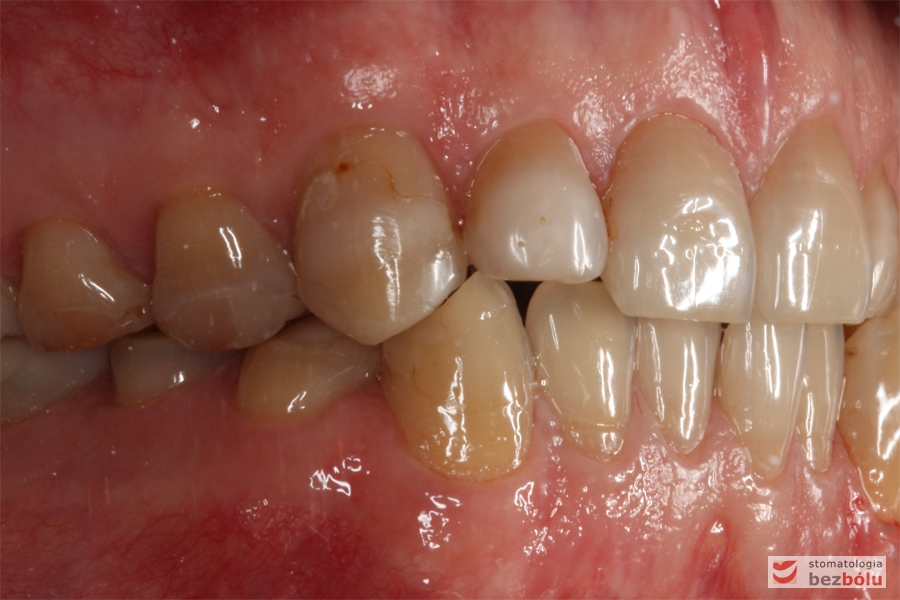
Zęby w zwarciu - strona lewa, kieł w zgryzie krzyżowym i znacznie starte zęby boczne
Zęby w zwarciu – strona lewa, kieł w zgryzie krzyżowym i znacznie starte zęby boczne

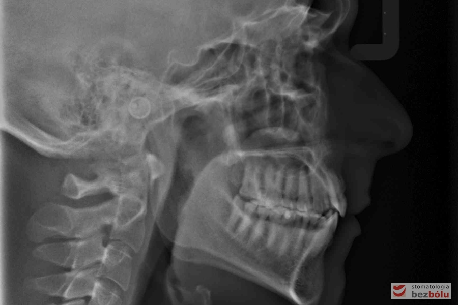
Diagnostyka radiologiczna - przetrwały ząb mleczny w żuchwie, brak zawiązka stałego
Diagnostyka radiologiczna – przetrwały ząb mleczny w żuchwie, brak zawiązka stałego

Diagnostyka radiologiczna - ocena zmian zapalnych w obrazie tomografii wolumetrycznej
Diagnostyka radiologiczna – ocena zmian zapalnych w obrazie tomografii wolumetrycznej

Diagnostyka radiologiczna - ocena zmian zapalnych w obrazie tomografii wolumetrycznej
Diagnostyka radiologiczna – ocena zmian zapalnych w obrazie tomografii wolumetrycznej

Zęby w zwarciu - widok frontalny, zaburzone relacje wielkości zębów, długości i szerokości
Zęby w zwarciu – widok frontalny, zaburzone relacje wielkości zębów, długości i szerokości

Diagnostyka tomograficzna - wolumetryczna rekonstrukcja układu kostno-zębowego
Diagnostyka tomograficzna – wolumetryczna rekonstrukcja układu kostno-zębowego

Uśmiech pacjenta - ekspozycja dziąsła w strefach bocznych, za długie zęby dolne przednie
Uśmiech pacjenta – ekspozycja dziąsła w strefach bocznych, za długie zęby dolne przednie

Dolny odcinek twarzy - usta zamknięte symetryczne
Dolny odcinek twarzy – usta zamknięte symetryczne

Ocena profilu twarzy - profil prosty, skośny do tyłu
Ocena profilu twarzy – profil prosty, skośny do tyłu

Diagnostyka cefalometryczna - ocena położenia szczęk i zębów względem siebie
Diagnostyka cefalometryczna – ocena położenia szczęk i zębów względem siebie

Ortodontyczne modele diagnostyczne - dla wykonania obliczeń wielkości i kształtu zębów
Ortodontyczne modele diagnostyczne – dla wykonania obliczeń wielkości i kształtu zębów

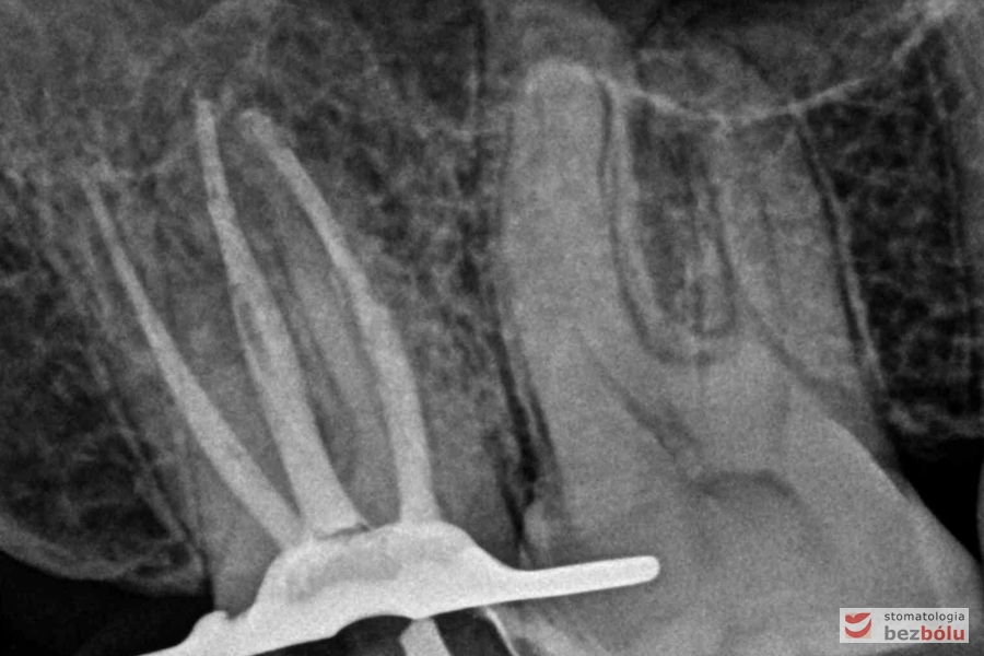
Kontrola radiologiczna - ocena szczelności wypełnionych kanałów korzeniowych
Kontrola radiologiczna – ocena szczelności wypełnionych kanałów korzeniowych

Kontrola radiologiczna - ocena szczelności wypełnionych kanałów korzeniowych
Kontrola radiologiczna – ocena szczelności wypełnionych kanałów korzeniowych

Modele gipsowe w artykulatorze - nawoskowane zęby od kła do kła w celu ich wydłużenia
Modele gipsowe w artykulatorze – nawoskowane zęby od kła do kła w celu ich wydłużenia

Modele gipsowe w artykulatorze - nawoskowane zęby od kła do kła w celu ich wydłużenia
Modele gipsowe w artykulatorze – nawoskowane zęby od kła do kła w celu ich wydłużenia

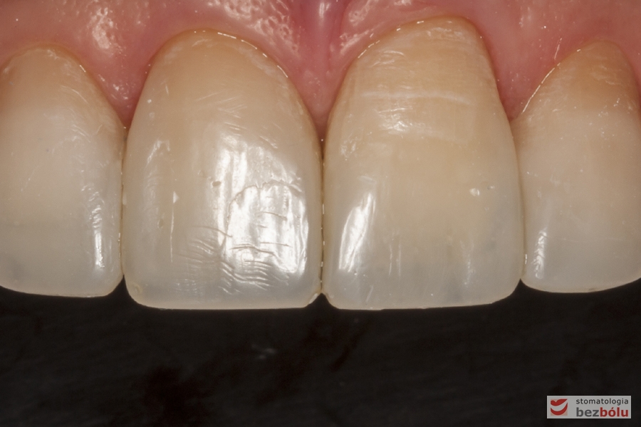
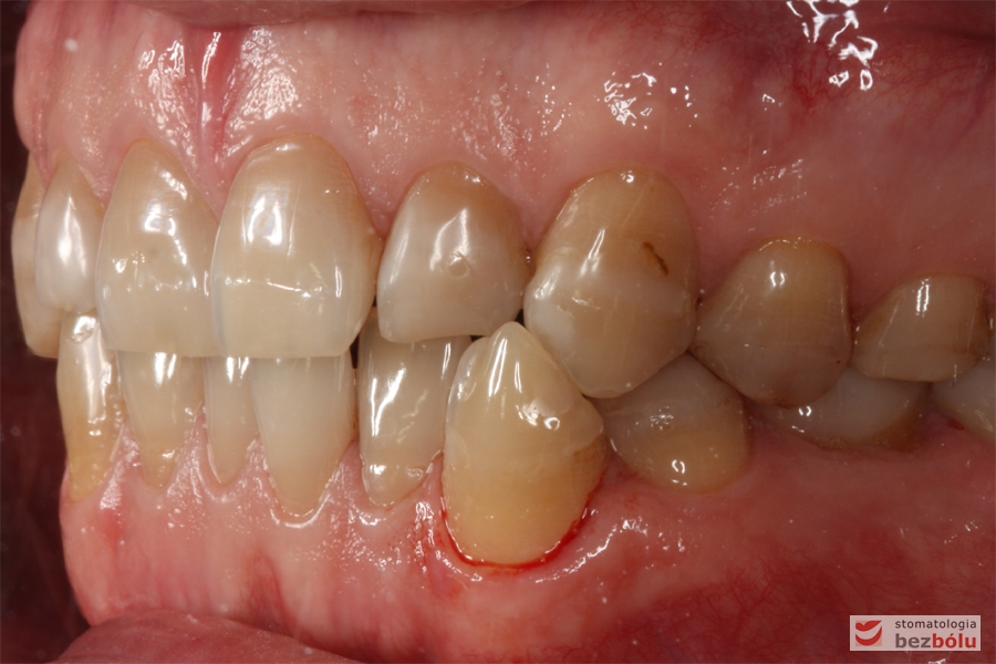
Przód góra - strona prawa - status po odbudowie kompozytem
Przód góra – strona prawa – status po odbudowie kompozytem

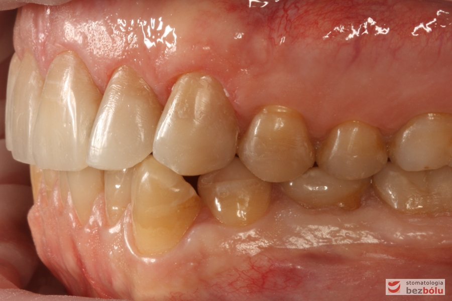
Zęby w zwarciu - strona lewa, rekonstrukcje kompozytowe w strefach bocznych
Zęby w zwarciu – strona lewa, rekonstrukcje kompozytowe w strefach bocznych

Szczęka - widok okluzyjny - rekonstrukcje kompozytowe w zębach bocznych
Szczęka – widok okluzyjny – rekonstrukcje kompozytowe w zębach bocznych

Powierzchnia okluzyjna w żuchwie - rekonstrukcje kompozytowe w zębach bocznych
Powierzchnia okluzyjna w żuchwie – rekonstrukcje kompozytowe w zębach bocznych

Przód góra - strona prawa, status po odbudowie kompozytem
Przód góra – strona prawa, status po odbudowie kompozytem

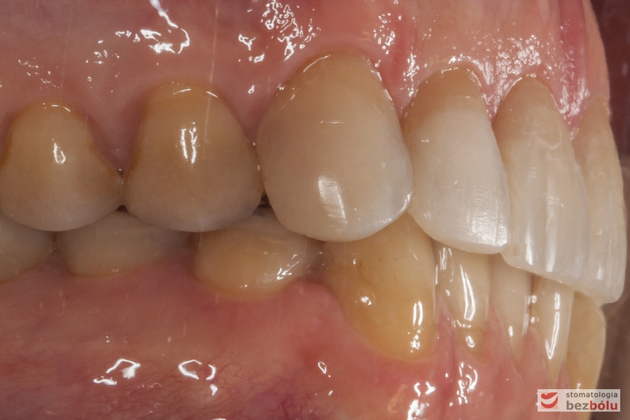
Zęby przednie w szczęce - bezpreparacyjna addycyjna rekonstrukcja materiałem kompozytowym
Zęby przednie w szczęce – bezpreparacyjna addycyjna rekonstrukcja materiałem kompozytowym

Usta zamknięte - regularny kształt warg
Usta zamknięte – regularny kształt warg

Uśmiech w spoczynku - wydłużone zęby sieczne i skrócone kły
Uśmiech w spoczynku – wydłużone zęby sieczne i skrócone kły

Uśmiech pacjenta przed leczeniem
Uśmiech pacjenta przed leczeniem

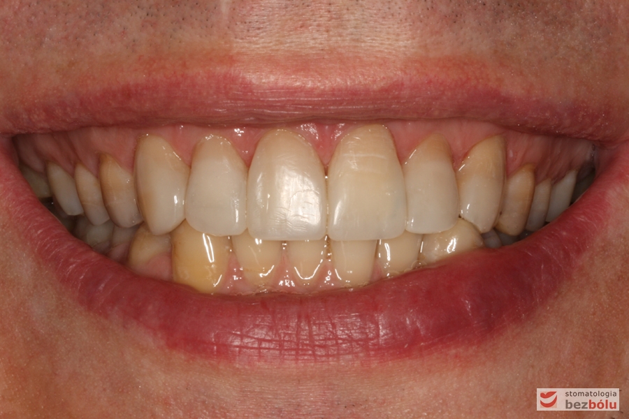
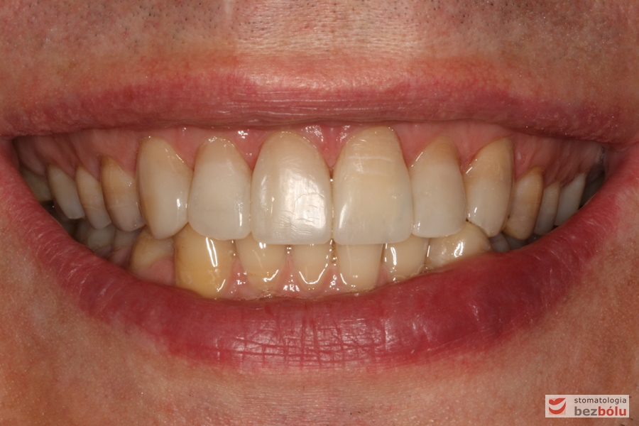
Uśmiech pacjenta po leczeniu - radość i satysfakcja
Uśmiech pacjenta po leczeniu – radość i satysfakcja

PODZIEL SIĘ:

Kontakt