Lip bumper
Lip bumper – to jeden z serii aparatów ortodontycznych pomocny w korekcji wad zgryzu, wad zębowych jak również mający zastosowanie w ortopedycznym leczeniu wad kostnych. Modyfikacja nieprawidłowości zgryzowych następuje poprzez skoordynowaną rozbudowę łuku zębowego dolnego oraz górnego. Umiejętne posługiwanie się tym typem aparatu daje bardzo dobre rezultaty poszerzenia i rozbudowy głównie dolnego łuku zębowego, ale również znajduje zastosowanie do korekcji łuku górnego.

• zwiększenie obwiedni łuku dolnego
• utrzymanie miejsca
• wzmocnienie zakotwienia trzonowcowego
• samoistne wyrównanie krzywej Spee
• zaburzenie szkodliwych nawyków
2. Przeciwwskazania:
• korzenie drugiego stałego trzonowca uformowane w mniej niż 50%
• niezakończony rozwój korzeni pierwszego stałego trzonowca
• ankyloza stałych trzonowców lub ich uszkodzone przyzębie
• pierwsze i drugie stałe trzonowce już poprawnie ustawione w płaszczyźnie strzałkowej i poprzecznej
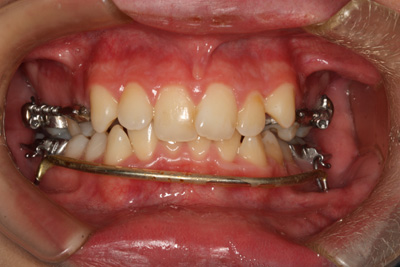
3. Mechanizm działania: dzięki zastosowaniu łuku wargowego z akrylowymi tarczkami, zaburza równowagę mięśniową i umożliwia rozbudowę łuku poprzez działanie języka. Ponadto umożliwia dotylną ekspansję łuku poprzez działanie łuku wargowego.
4. Greenfield Lip Bumper: występuje w dwóch formach – „normalnej” oraz „wysoko-kątowej”; skonstruowany ze stalowego drutu 0.045”, w odcinku przednim z tarczkami i zagięciem w kształcie odwróconej litery V w linii pośrodkowej w celu ominięcia wędzidełka języka oraz bocznie pętli stop o wymiarach 5x5mm odgiętych pod kątem 10o w kierunku policzkowym w dwóch wariantach:
– „normalna” – mezjalne i dystalne ramiona na równej wysokości
– „wysoko-kątowa” – dystalne ramię dwukrotnie wyżej niż mezjalne
Im przebieg łuku wargowego jest bliższy powierzchni okluzyjnej, tym widoczniejsza ekstruzja i nachylenie dystalne pierwszego trzonowca! Osłonięcie siekaczy, kłów i przedtrzonowców od działania warg i policzka umożliwia im wychylenie w kierunku wargowo-policzkowym.

I. Poziom I (normalna konfiguracja) – łuk wargowy przebiega okluzyjnie dzięki zastosowaniu normalnej pętli stop – pożądany w rzadkich sytuacjach, gdy siekacze są przechylone i/lub niewyrznięte i/lub pochylone mezjalnie pierwsze trzonowce. Może skutkować pochyleniem dystalnym i ekstruzją pierwszych trzonowców oraz wtłoczeniem drugich z powodu unoszenia przedniego odcinka łuku wargowego przez wargę dolną. W przypadku wystąpienia takiego zjawiska, łuk musi być usytuowany dowierzchołkowo w środkowej 1/3 powierzchni wargowej siekaczy i doprzednio od nich 2mm co 4-5 tygodni.
II. Poziom II (normalna konfiguracja) – łuk wargowy usytuowany 1,5-2mm poniżej i doprzednio od połączenia szkliwno-dziąsłowego – najczęściej spotykany w 80% przypadków. Pierwszy trzonowiec ulega ekstruzji w zdecydowanie mniejszym stopniu niż w typie I, pozycja siekaczy jest zachowana, przedtrzonowce mogą swobodnie przyjmować właściwą pozycję i przesuwać się dystalnie dzięki sile włókien międzyzębowych. Wytwarzana jest minimalna siła ekstruzyjna i przechylająca dystalnie zęby trzonowe oraz nieznaczne wychylenie siekaczy. Na pierwszych wizytach, wskutek zmiany położenia trzonowców, pozycja łuku wargowego musi być skorygowana, w przeciwnym wypadku łuk wargowy znajdzie się na poziomie I.
III. Poziom III (konfiguracja wysoko-kątowa) – wskazany dla pacjentów o rozbieżnych wzorcach wzrostu i wyrostkowym zgryzie otwartym. Łuk wargowy usytuowany głęboko w przedsionku, 2-3mm wargowo od dziąsła przyczepionego, co umożliwia mięśniom policzkowym i wargowym „zawinięcie się” na całym przebiegu aparatu, co skutkuje znaczną siłą intrudującą pierwsze trzonowce. Z powodu znikomej siły przechylającej dystalnie pierwsze trzonowce, aparat ten znajduje zastosowanie głównie we wczesnych etapach leczenia, gdy korzeń drugiego trzonowca uformowany jest w mniej niż 50%. Jako efekt niskiego położenia łuku wargowego, jego funkcja osłaniająca w stosunku do przedtrzonowców jest nikła, przez co obserwuje się o wiele mniejszy efekt prostujący niż w typach I i II. W przypadkach wymagających intruzji pierwszych i drugich zębów trzonowych, zamki
powinny zostać przyklejone na siódemki jak najszybciej, aby uniknąć przedwczesnych kontaktów i zagwarantować właściwe ustawienie.
6. Czas rozpoczęcia i długość leczenia aparatem lip bumper:
• najdogodniejszym momentem wdrożenia aparatu jest okres późnego uzębienia mieszanego gdy korzenie drugich stałych trzonowców ukształtowane są w ponad połowie.
• pacjent powinien nosić aparat 24h/dobę
• zalecany okres leczenia jest bardzo zróżnicowany, zaobserwowano jednak, iż 50% całkowitej ekspansji ma miejsce w pierwszych 100 dniach użytkowania, kolejne 40 w następnych 200, bezcelowe jest stosowanie aparatu dłużej niż 300 dni.
• Leczenie powinno trwać do czasu, gdy:
◦ zniesione zostaną nieprawidłowe czynności mięśni
◦ wyrównana zostanie krzywa Spee
◦ uzyskana zostanie wystarczająca ilość miejsca w przestrzeni neutralnej
◦ poprawiony zostanie profil wskutek zmian w przednim odcinku żuchwy
• Zbyt wczesne usunięcie lip bumper’a skutkować może nachyleniem mezjalnym koron pierwszych trzonowców, a nie dystalnym torkowaniem korzenia.
7. Sekwencja wizyt:
I. Pierwsza wizyta: lip bumper powinien zostać założony nieaktywny, nie dalej niż 1,5-2mm od powierzchni wargowej zębów, aby zapewnić pacjentowi maksymalny komfort.
II. Pierwsza wizyta kontrolna: aktywacja rozpoczęta niewielkim zwiększeniem rotacji na dystalnych końcach o 5-10o oraz poszerzeniem o 2-3mm w okolicy trzonowców, łuk wargowy powinien znajdować się w oddaleniu 1,5-2mm od zębów przednich i 2,5-3mm od przedtrzonowców
III. Druga i trzecia wizyta kontrolna: aktywowanie aparatu postępuje do momentu umiejscowienia łuku w odległości 3,5-4mm od przedtrzonowców; aktywacje powinny mieć miejsce do momentu, gdy trzonowce przyjmą odpowiednią pozycję zarówno w płaszczyźnie poprzecznej, jak i strzałkowej oraz ich powierzchnie językowe nie będą równoległe.
Należy pamiętać, że aparat jest wykonany z drutu .045”, przez co nawet małe zmiany mogą wywołać działanie znacznych sił, w związku z czym niewskazane jest przekraczanie zakresu aktywacji 5-10o oraz ekspansja większa niż 2-3mm. Każda ekspansja dolnego łuku powinna być skorelowana z ruchami ortodontycznymi w szczęce w celu zachowania harmonii łuków. Za wyjątkiem pacjentów z wyraźnie asymetrycznymi łukami, lip bumper powinien być umieszczony w jamie ustnej symetrycznie. Umieszczając aparat po raz pierwszy w jamie ustnej, końcowe ramiona aparatu powinny wykraczać dystalnie poza rurki policzkowe na odległość minimum 3mm, co umożliwi zastosowanie 2mm stoperów mezjalnie od rurek, wciąż pozostawiając wystarczająco duży nadmiar, umożliwiający właściwe utrzymanie.