Mesiodens – ząb nadliczbowy. Сo za dużo, to niezdrowo – jeden z przypadków zdiagnozowany i leczony w Stomatologii Bez Bólu.
Nie tak często lekarze diagnozują problem nadliczbowych zębów u pacjentów. Sprawia to wiele kłopotów dla ich właścicieli. W stomatologii nadliczbowe zęby mają termin – hiperdoncja. Jest to anomalia, gdy liczba zębów w jamie ustnej u jest większa niż 32.
Wyróżniamy hiperdoncję:
– rzeczywistą, która dotyczy zębów stałych,
– rzekomą, czyli związaną z tym, że zęby mleczne nie wypadły mimo tego, że wyrosły już zęby stałe.
Ile zębów powinien posiadać człowiek, a ile to już hiperdoncja?
Skutki choroby:
Problem takiego rodzaju może skutkować wieloma chorobami uzębienia, mianowicie: opóźnionym wyrzynaniem lub zatrzymaniem zębów sąsiednich, powstawaniem diastemy, przerostem wędzidełka wargi górnej, resorpcją korzeni zębów, powstawaniem torbieli szczęk, stłoczeniem, rotacją, przemieszczeniem. Zapobiec temu można wyłącznie drogą leczenia chirurgiczno-ortodontycznego w gabinetach stomatologicznych takich jak Stomatologia Bez Bólu
Mesiodens (Mezjodens) to najczęściej występujący ząb nadliczbowy, znajdujący się w szczęce, występujący w 21,1-67% wszystkich przypadków hiperdoncji. Mesiodens może mieć budowę eumorficzną, czyli przypominać kształtem i wielkością siekacz przyśrodkowy – postać stożkowata, guzkowata i trzonowcowata.
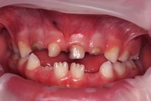
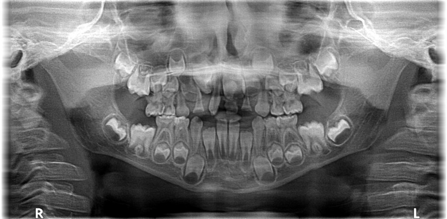
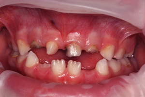
Opis przypadku:
Chłopczyk w wieku 5,5 lat został skierowany przez ortodontę do placówki Stomatologia Bez Bólu z Jeleniej Góry w celu konsultacji i leczenia zaburzenia w okolicy zębów centralnych. Anomalia została wykryta na podstawie zdjęcia pantomograficznego, standardowo wykonywanego przed leczeniem ortodontycznym.
Po badaniu wewnątrzustnym stwierdzono uzębienie mieszane, adekwatne do wieku rozwojowego, bez czynnych ognisk próchnicowych. Zlecono badanie CBCT w celu dokładniejszej diagnostyki lokalizacji i liczebności przednich zębów w szczęce. W obrazie tomograficznym ukazał się od strony szczytu wyrostka, położony ząb nadliczbowy (mesiodens). Mezjodens w tym przypadku zajął miejsce stałego siekacza prawego, powodując jego dystorotacje. Usunięcia mezjodensa umożliwi wyrzniecie się zęba stałego we właściwej pozycji nie wykluczone jest wspomaganie ortodontyczne w celu ustanowieniu właściwej lokalizacji stałego zęba siecznego.
Plan leczenia:
![]() |
![]() |
Plan leczenia zakładał usunięcie mesiodens’a z dojściem od strony szczytu wyrostka. W znieczuleniu nasiękowym CYTOKARTIN (1/3 ampułki) przeprowadzoną prostą ekstrakcję zębową zaopatrzono gąbką kolagenową.
Czytaj również: „Hiperdoncja czyli nadliczbowe zęby”
Placówka medyczna NZOZ Stomatologia Bez Bólu
Leczenie chirurgiczne: dr Magdalena Żywicka M.Sc.





