Metodyczna terapia stomatologiczna
[v=4I771BI7ZlY]
Dobrze zorganizowana, starannie planująca swoje działania Europejka, zamieszkująca na stałe rejon Kotliny Jeleniogórskiej, zgłosiła się z oczekiwaniem bardzo metodycznie zaplanowanego planu leczenia stomatologicznego. Celem, który postawiła przed zespołem terapeutycznym, było wyeliminowanie wszystkich wątpliwych wypełnień oraz poprawa estetyki w zakresie lewego siekacza centralnego w szczęce.
DIAGNOSTYKA STOMATOLOGICZNA
Zęby górne i dolne w zwarciu – liczne dyskoloracje i asymetria siekaczy centralnych w szczęce
Powierzchnia okluzyjna zębów na dole – liczne wypełnienia amalgamatem i złote onlay’e
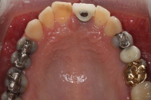
Powierzchnia okluzyjna zębów górnych – liczne wypełnienia amalgamatem, złoty onlay i 2 nieszczelne korony
Powierzchnie wargowe zębów w zgryzie – widoczna ciemnoszara barwa przedtrzonowców i trzonowców
Diagnostyka radiologiczna – ocena kondycji tkanek oraz zastanych uzupełnień zębowych
PLAN LECZENIA
Pacjentka określiła bardzo zrównoważone oczekiwania dotyczące czasu wykonania wszystkich procedur. Dlatego plan został rozpisany na niespełna 2 lata w zakresie wymiany wypełnień amalgamatowych i nieszczelnych wypełnień kompozytowych, przygotowania endodontycznego wybranych zębów w szczęce i żuchwie oraz zaopatrzenie w inlay’e porcelanowe i korony ceramiczne, wykonane w systemie e-max.
PROCES TERAPEUTYCZNY
Leczenie kanałowe – przeleczenie i uszczelnienie kanałów w trzonowcu i przedtrzonowcu
Przebarwienia zębów w strefach bocznych – sięgały zębiny i pomimo nowych wypełnień zachowały szary odcień
Pozostawiono złote onlay’e – z uwagi na szczelność i bardzo dobrą kondycję
Produkcja filmu
Zdjęcia archiwum SBB
Montaż i realizacja Marcin Kołodziejczyk

