Metodyczna terapia stomatologiczna
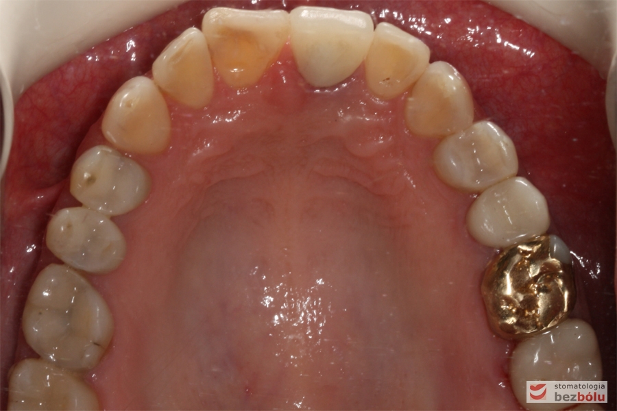
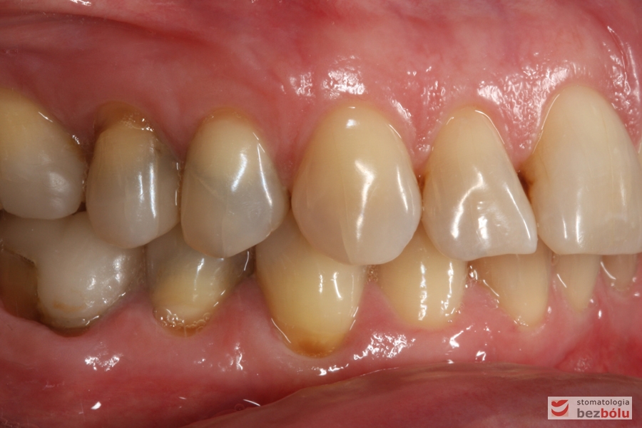
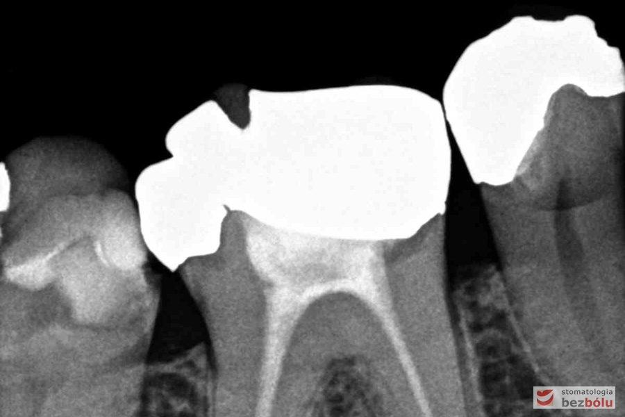
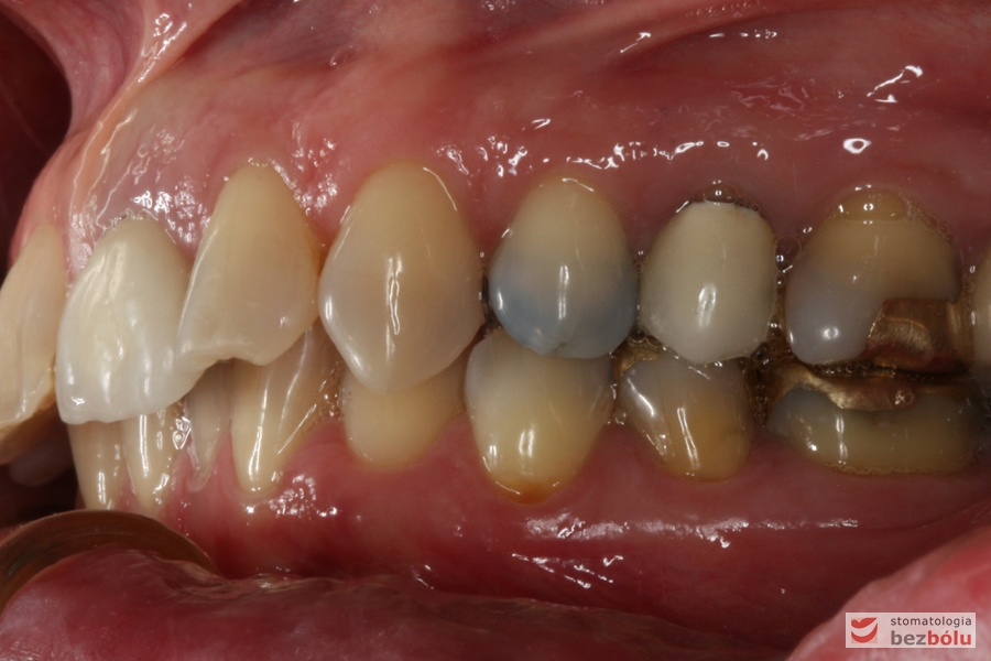
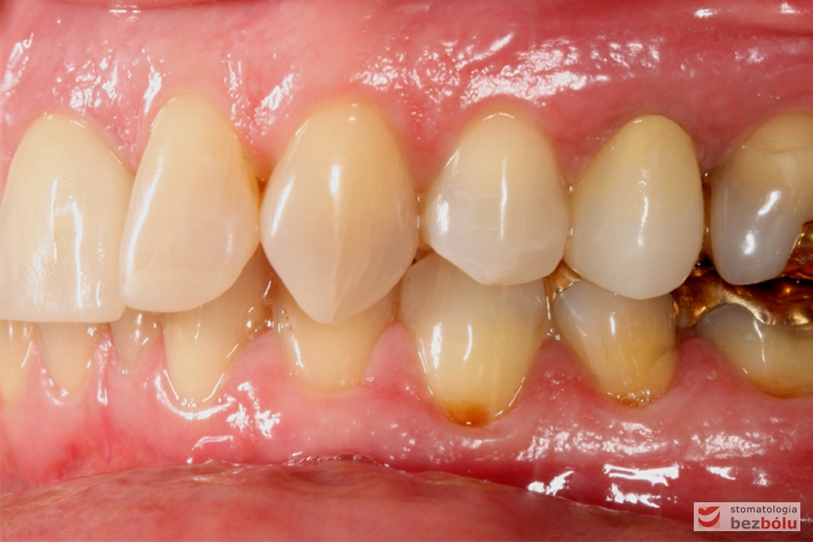
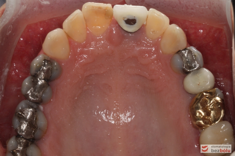
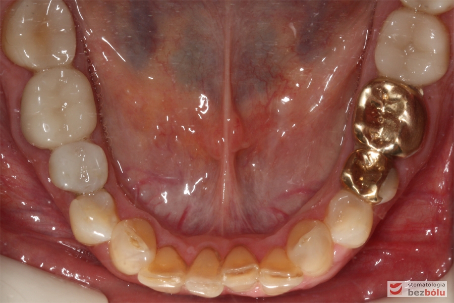
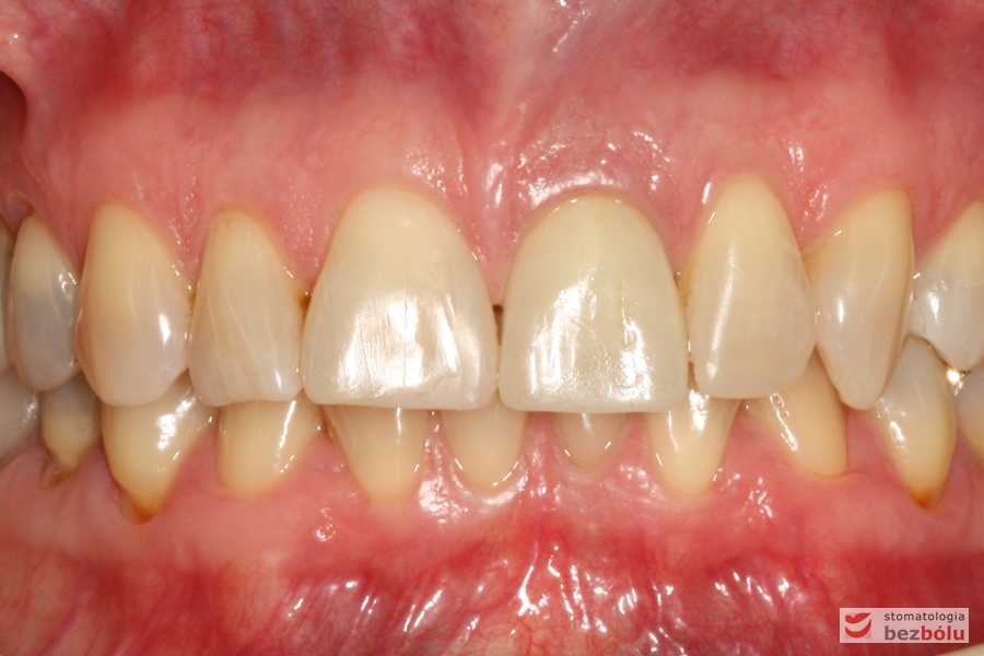
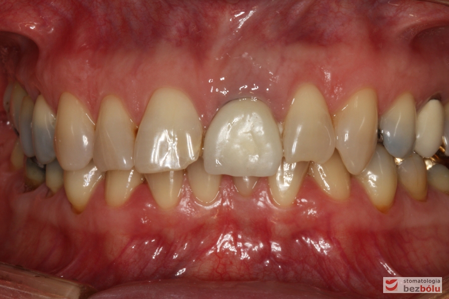
Do naszej placówki zgłosiła się starannie planująca swoje działania Europejka, mieszkająca na stałe w Kotlinie Jeleniogórskiej. Jej oczekiwania dotyczyły bardzo metodycznie zaplanowanego planu leczenia. Celem jaki postawiła przed naszym zespołem lekarzy było wyeliminowanie wszystkich wątpliwych i nierokujących wypełnień, a także poprawa estetyki w zakresie lewego siekacza centralnego w szczęce. Został rozpisany blisko dwuletni plan wymiany zużytych i nieszczelnych wypełnień amalgamatowych i kompozytowych. Zaplanowano również przygotowanie endodontyczne wybranych zębów w szczęce i żuchwie, a także zaopatrzenie w inlay’e porcelanowe i korony ceramiczne wykonane w systemie e-max.













