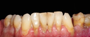
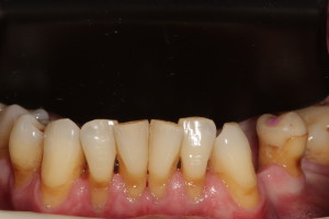
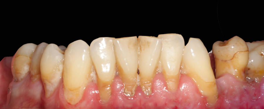
Pacjent lat 60, duże recesje dziąseł, niewyedukowany w zakresie prawidłowej higieny jamy ustnej. Został skierowany na higienizację profesjonalną przez lekarza prowadzącego. Na pierwszej wizycie siekacze dolne pacjenta wyglądały tak: zdjęcie 1, zdjęcie 4.
|
![]() |
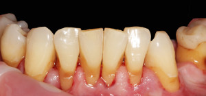
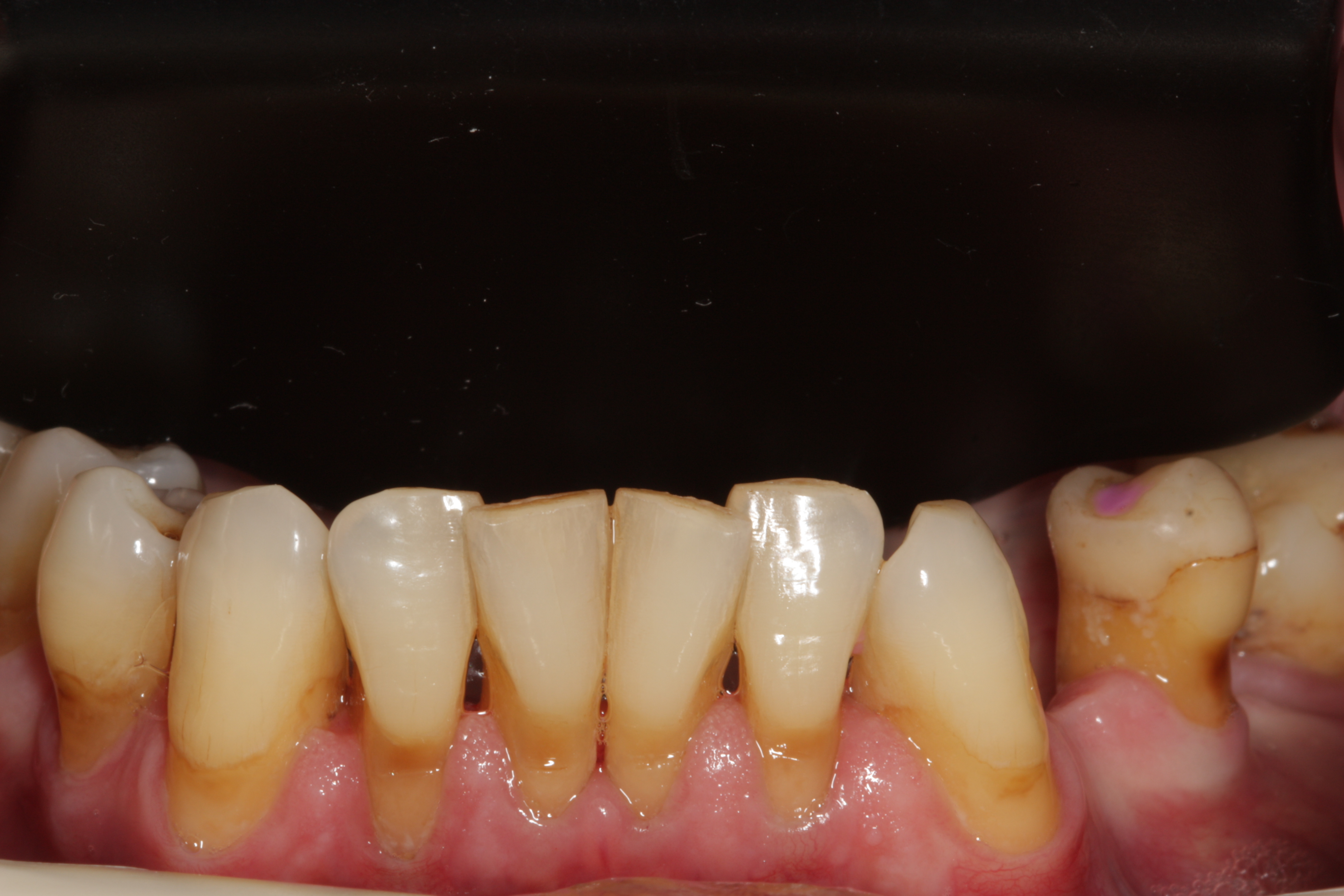
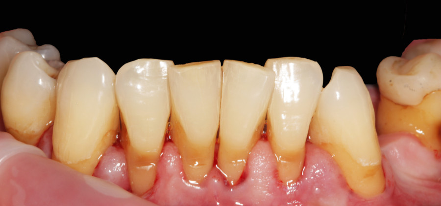
Widać wyraźnie, że kamień i gruba warstwa płytki bakteryjnej wywołał stan zapalny dziąseł – są przekrwione, i opuchnięte. Higienistka wykonała skaling naddziąsłowy skalerem EMS, wypiaskowała zęby piaskiem Air-Flow Plus oraz wypolerowała pasta polerską. Po zabiegu różnica wyglądzie zębów jest diametralna: zdjęcie 2, zdjęcie 5.
|
|
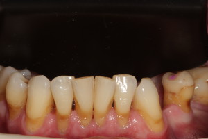
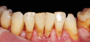
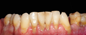
Naszym celem jednak jest nie tylko ładny wygląd zębów ale wyleczenie stanu zapalnego dziąseł, a to nie będzie możliwe bez dokładnego wyedukowania pacjenta. Higienistka przeprowadziła szczegółowy instruktarz prawidłowej metody szczotkowania – pokaz na modelu i samodzielna próba pacjenta na własnych zębach. Pacjent nauczył się również stosowania szczoteczek międzyzębowych, będących w jego przypadku niezbędnym akcesorium higienicznym ze wglądu na szerokie przestrzenie miedzyzębowe. Zalecone zostały środki pomocnicze – Eludril do płukania, pasta Elgydium Anti-Pacjent spotkał się z nasza higienistka jeszcze dwa razy, w celu dokonania kontroli i ewentualnego doczyszczenia. Na drugiej wizycie kontrolnej dziąsła pacjenta wyglądały tak: zdjęcie 3, zdjęcie 6. Komentarz jest chyba zbędny: różnica widoczna gołym okiem, dziąsła są zdrowe, bladoróżowe, bez opuchlizny. Gratulujemy!!!
![]() |
![]() |





