[v=wVgqaYLJWtk]
PREZENTACJA PRZYPADKU STOMATOLOGICZNEGO
1. Całkowita protetyczna odbudowa żuchwy, z jedynie trzema nierokującymi zębami, przy zastosowaniu protokołu implantologicznego SynCone® Ankylos® Concept: 4 implanty Ankylos® oraz proteza typu overdenture, w której elementami retencyjnymi są 4 stożkowe, złote czapeczki o charakterze koron teleskopowych.
2. Całkowita odbudowa protetyczna bezzębnej szczęki przy zastosowaniu protezy osiadającej.
DIAGNOSTYKA STOMATOLOGICZNA
1. Mężczyzna lat 51, ogólny stan zdrowia dobry – pacjent ukrywający niedostatki uzębienia za sumiastymi wąsami
2. Radiologiczny obraz jamy ustnej – Znacząca atrofia kości w szczęce,jakość kości w żuchwie umożliwiająca terapię implantologiczną
3. Kliniczny obraz żuchwy – 3 nierokujące zęby zakwalifikowano do usunięcia
4. Kliniczny obraz bezzębnej szczęki
PLAN LECZENIA DENTYSTYCZNEGO
1. W celu odbudowy bezzębnej szczeki na życzenie pacjenta zastosowano protezę osiadającą
2. Dla odbudowy żuchwy zdecydowano się skorzystać z protokołu implantologiczno-protetycznego SynCone® Ankylos®
3. usunięcie trzech nierokujących zębów w żuchwie
4. wprowadzonie do żuchwy 4 implantów Ankylos® w odcinkach pomiędzy pierwszymi przedtrzonowcami.
5. Śródoperacyjnie podjęcie decyzji o odroczeniu planowanego natychmiastowego obciążenia implantów
6. Po 3 miesiącach w ciągu jednego dnia wykonano ostateczną i docelową odbudowę protetyczną, stosując protezę typu Overdenture
ETAPY PROCESU TERAPEUTYCZNEGO
1. usunięcie nie rokujących zębów w żuchwie
2. Preparacja łoży implantów – przy użyciu sekwencji wierteł dedykowanych systemowi Friadent® Ankylos®
3. Ocena osi długich i wzajemnych relacji międzyimplantowych – widok z góry na 4 piny paralelne umieszczone w łożach implantów
4. Zespół implantologiczny podczas zabiegu – aseptyka pracy implantologa
5. Gwintowanie łoża implantu – podwójne gwintowanie kości klasy D1 właściwej temu regionowi żuchwy
6. Wprowadzanie implantu do łoża – ręczne wprowadzanie implantu za pomocą raczety
7. Proces osteointegracji implantu z kością – kluczowa rola krwi w procesie formowania się osteooblastów
8. Szycie chirurgiczne – szczelne zamknięcie płata śluzówkowo-okostnowego bez naprężeń
9. Ocena równoległości przykręconych łączników implantów – filary protetyczne SynCone® umieszczone względem siebie równolegle
10. Złote, stożkowe czapeczki na filarach protetycznych – „SynCone caps” z silikonowym zabezpieczeniem dośluzówkowym w celu ochrony dziąsła
11. Całkowita dolna proteza akrylowa – przygotowane okienek w celu właściwego umiejscowienia czapeczek w protezie
12. Ocena pasywności przylegania protezy na podłożu – proteza biernie spoczywa na błonie śluzowej, czapeczki gotowe do wklejenia do protezy
13. Czapeczki „SynCone caps” umieszczone w protezie – wewnątrzustne zamocowanie elementów retencyjnych w protezie – brak naprężeń
14. Proteza po wklejeniu złotych czapeczek „SynCone caps” – szorstkości i nierówności akrylu zostaną wyeliminowane w drodze szlifowania i polerowania
15. Ostateczna proteza po wklejeniu czapeczek „SynCone caps” – dostępne na miejscu laboratorium protetyczne PRO-DENT dostarcza gotową protezę po 2 godzinach
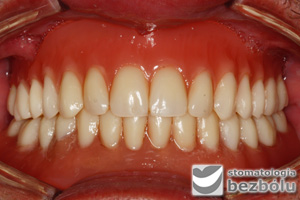
16. Całkowita odbudowa protetyczna – proteza osiadająca w szczęce oraz overdenture na implantach w żuchwie
17. Uśmiech pacjenta – … najlepszą nagrodą za starania dentysty implantologa
lekarz prowadzący – Magdalena Żywicka
laboratorium protetyczne – PRO-DENT Jelenia Góra
placówka medyczna – Stomatologia Bez Bólu, Jelenia Góra
Uśmiech pacjenta i jego wdzięczność… bezcenne
NZOZ Stomatologia bez Bólu – Twój Bezpieczny Wybór
