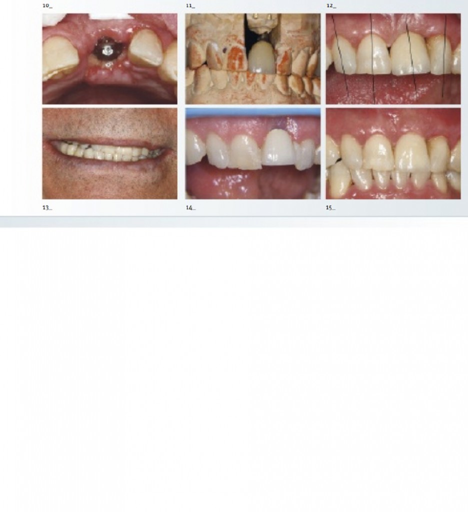
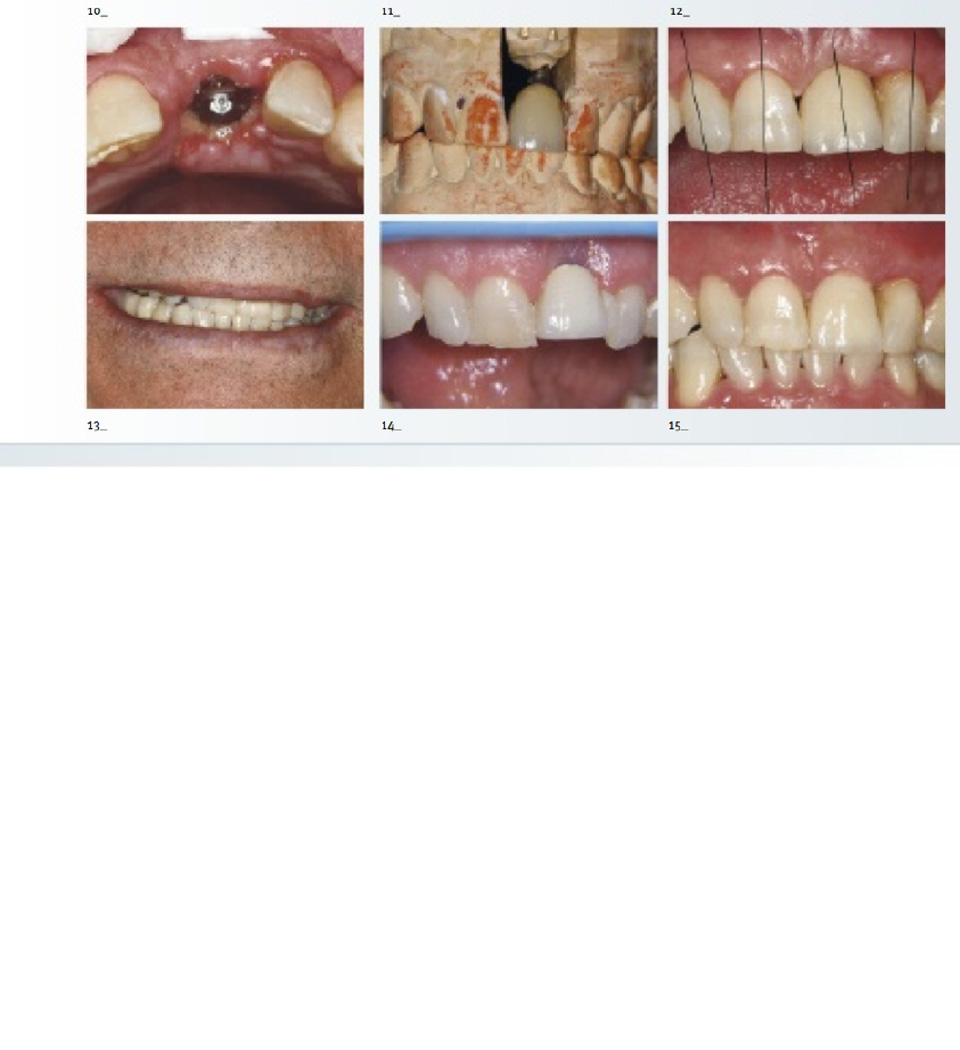
Odbudowa defektu kostnego 3D wraz z natychmiastową implantacją
Poniżej prezentujemy Państwu artykuł pt. „Wbrew ograniczeniom – odbudowa defektu kostnego 3D wraz z natychmiastową implantacją” napisany przez Dr Magdalenę Żywicką dla czasopisma stomatologicznego „Identity” nr 1/2012.
Zapraszamy do lektury.



