Odbudowa protetyczna na implantach

19 sierpnia, 2013

Odbudowa protetyczna na implantach

Do naszej placówki zgłosił się 60-letni postawny mężczyzna z licznymi brakami w uzębieniu, a także protruzją dwuszczękową spowodowaną nadczynnością języka. Zgłoszenie się do lekarza stomatologa było umotywowane chęcią zmianą wyglądu jamy ustnej oraz uzupełnieniem braków zębowych. Pacjent był gotowy realizować każde zaproponowane rozwiązanie protetyczne pod warunkiem, że będzie ono zamocowane na stałe.

Pacjentowi zaproponowano odbudowę protetyczną na implantach i zębach własnych w żuchwie. W szczęce z kolei protezę na implantachkoronach cerkonowych.

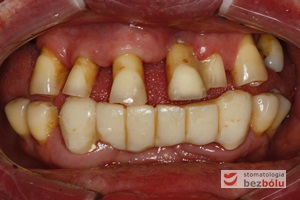
Pozytywna przemiana uśmiechu - odbudowa protetyczna na implantach - obraz kliniczny przed terapią stomatologiczną
Pozytywna przemiana uśmiechu – obraz kliniczny przed terapią stomatologiczną

Pozytywna przemiana uśmiechu - odbudowa protetyczna na implantach - obraz kliniczny po terapii stomatologicznej
Pozytywna przemiana uśmiechu – obraz kliniczny po terapii stomatologicznej

 Mężczyzna w wieku 60 lat – pacjent po dwóch zawałach serca, cierpiący na cukrzycę
Mężczyzna w wieku 60 lat – pacjent po dwóch zawałach serca, cierpiący na cukrzycę

 Mężczyzna w wieku 60 lat – pacjent po dwóch zawałach serca, cierpiący na cukrzycę
Mężczyzna w wieku 60 lat – pacjent po dwóch zawałach serca, cierpiący na cukrzycę

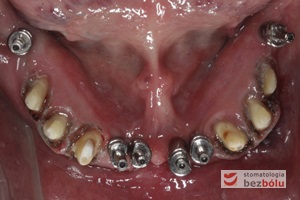
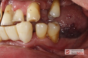
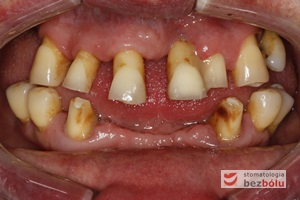
Stan wyjściowy - patologiczne wychylenie zębów górnych, liczne braki zębowe w szczęce i żuchwie, nieproporcjonalnie małe zęby do podstaw kostnych
Stan wyjściowy – patologiczne wychylenie zębów górnych, liczne braki zębowe w szczęce i żuchwie, nieproporcjonalnie małe zęby do podstaw kostnych

Stan wyjściowy - patologiczne wychylenie zębów górnych, liczne braki zębowe w szczęce i żuchwie, nieproporcjonalnie małe zęby do podstaw kostnych
Stan wyjściowy – patologiczne wychylenie zębów górnych, liczne braki zębowe w szczęce i żuchwie, nieproporcjonalnie małe zęby do podstaw kostnych

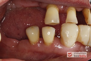
Braki zębowe w strefach bocznych szczęki i żuchwy - widoczne starcie patologiczne na skutek przeciążeń okluzyjnych w odcinku przednim
Braki zębowe w strefach bocznych szczęki i żuchwy – widoczne starcie patologiczne na skutek przeciążeń okluzyjnych w odcinku przednim

Braki zębowe w strefach bocznych szczęki i żuchwy - widoczne starcie patologiczne na skutek przeciążeń okluzyjnych w odcinku przednim
Braki zębowe w strefach bocznych szczęki i żuchwy – widoczne starcie patologiczne na skutek przeciążeń okluzyjnych w odcinku przednim

Radiologiczny obraz jamy ustnej z wykorzystaniem tomografu - precyzyjne pozycjonowanie lokalizacji planowanych implantów
Radiologiczny obraz jamy ustnej z wykorzystaniem tomografu – precyzyjne pozycjonowanie lokalizacji planowanych implantów

Radiologiczny obraz jamy ustnej z wykorzystaniem tomografu - precyzyjne pozycjonowanie lokalizacji planowanych implantów
Radiologiczny obraz jamy ustnej z wykorzystaniem tomografu – precyzyjne pozycjonowanie lokalizacji planowanych implantów

Pozycjonowanie miejsc dla planowanych implantów - opracowanie i umiejscowienie szablonu implantologicznego
Pozycjonowanie miejsc dla planowanych implantów – opracowanie i umiejscowienie szablonu implantologicznego

Pozycjonowanie miejsc dla planowanych implantów - opracowanie i umiejscowienie szablonu implantologicznego
Pozycjonowanie miejsc dla planowanych implantów – opracowanie i umiejscowienie szablonu implantologicznego

Usunięcie wszystkich zębów w szczęce - widoczne świeże kieszonki poekstrakcyjne
Usunięcie wszystkich zębów w szczęce – widoczne świeże kieszonki poekstrakcyjne

Usunięcie wszystkich zębów w szczęce - widoczne usunięte zęby
Usunięcie wszystkich zębów w szczęce – widoczne usunięte zęby

Piesosurgery - przyjazne dla pacjenta i chirurga - wstępne opracowanie łoża implantów za pomocą piesosurgery (piezochirurgia)
Piesosurgery – przyjazne dla pacjenta i chirurga – wstępne opracowanie łoża implantów za pomocą piesosurgery (piezochirurgia)

Opracowanie łoży implantów - poszerzanie łoży implantów oraz zagęszczanie kości przy użyciu techniki osteotomowej
Opracowanie łoży implantów – poszerzanie łoży implantów oraz zagęszczanie kości przy użyciu techniki osteotomowej

Ostateczne opracowanie kształtu łoża implantu - użycie sekwencji wierteł - ocena równoległości łoży implantów
Ostateczne opracowanie kształtu łoża implantu – użycie sekwencji wierteł – ocena równoległości łoży implantów

Wprowadzenie implantów - implant Ankylos umożliwia wprowadzenie pod wyrostek co zapewnia wysoką stabilizację
Wprowadzenie implantów – implant Ankylos umożliwia wprowadzenie pod wyrostek co zapewnia wysoką stabilizację

Implanty in situ - wprowadzone podwyrostkowo implanty i wyrostek zębodołowy przygotowany do augmentacji
Implanty in situ – wprowadzone podwyrostkowo implanty i wyrostek zębodołowy przygotowany do augmentacji

Uzupełnienie ubytków śródkostnych - substytut kości zmieszany z krwią pacjenta i wiórami kostnymi wypełnia deficyty kostne
Uzupełnienie ubytków śródkostnych – substytut kości zmieszany z krwią pacjenta i wiórami kostnymi wypełnia deficyty kostne

Szczelne zamknięcie rany po stronie prawej - zmobilizowany płat, wolny od naprężeń, zszyty szwami nieresorbowalnymi
Szczelne zamknięcie rany po stronie prawej – zmobilizowany płat, wolny od naprężeń, zszyty szwami nieresorbowalnymi

Wprowadzone implanty po stronie lewej - mini śruby wprowadzone w celu podtrzymania augumentatu i utrzymania przestrzeni dla nowej kości
Wprowadzone implanty po stronie lewej – mini śruby wprowadzone w celu podtrzymania augumentatu i utrzymania przestrzeni dla nowej kości

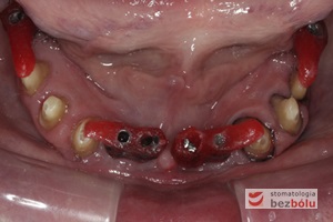
Żuchwa - widok powierzchni okluzyjnej - symetryczne braki zębowe w zakresie 4 siekaczy i trzonowców
Żuchwa – widok powierzchni okluzyjnej – symetryczne braki zębowe w zakresie 4 siekaczy i trzonowców

Model gipsowy żuchwy z szablonem chirurgicznym - metalowe tuleje wyznaczają miejsce wprowadzenia wszczepów - widoczne w obrazie RTG
Model gipsowy żuchwy z szablonem chirurgicznym – metalowe tuleje wyznaczają miejsce wprowadzenia wszczepów – widoczne w obrazie RTG

Szablon chirurgiczny oparty o zęby żuchwy - miejsca dla implantów siekaczy wyznaczają tuleje
Szablon chirurgiczny oparty o zęby żuchwy – miejsca dla implantów siekaczy wyznaczają tuleje

Wprowadzenie 4 implantów w odcinku przednim żuchwy
Wprowadzenie 4 implantów w odcinku przednim żuchwy

Wprowadzenie 4 implantów w odcinku przednim żuchwy
Wprowadzenie 4 implantów w odcinku przednim żuchwy

Wprowadzenie 4 implantów w odcinku przednim żuchwy
Wprowadzenie 4 implantów w odcinku przednim żuchwy

Wprowadzenie 4 implantów w odcinku przednim żuchwy
Wprowadzenie 4 implantów w odcinku przednim żuchwy

Wprowadzenie 4 implantów w odcinku przednim żuchwy
Wprowadzenie 4 implantów w odcinku przednim żuchwy

Wprowadzenie 4 implantów w odcinku przednim żuchwy
Wprowadzenie 4 implantów w odcinku przednim żuchwy

Modele gipsowe z wax-up'em - technik dentystyczny kreuje przyszły kształt zębów za pomocą wosku naniesionego na model
Modele gipsowe z wax-up’em – technik dentystyczny kreuje przyszły kształt zębów za pomocą wosku naniesionego na model

Modele gipsowe z wax-up'em - technik dentystyczny kreuje przyszły kształt zębów za pomocą wosku naniesionego na model
Modele gipsowe z wax-up’em – technik dentystyczny kreuje przyszły kształt zębów za pomocą wosku naniesionego na model

Transfery wyciskowe przykręcone do implantów - zęby własne opracowane jako filary pod korony całoceramiczne - skoagulowane dziąsła brzeżne
Transfery wyciskowe przykręcone do implantów – zęby własne opracowane jako filary pod korony całoceramiczne – skoagulowane dziąsła brzeżne

Wycisk polieterowy dla żuchwy - przyłączone analogi implantów do transferów wyciskowych
Wycisk polieterowy dla żuchwy – przyłączone analogi implantów do transferów wyciskowych

Indywudalizowane filary protetyczne z żywicznymi kluczami - czerwone klucze pattern-resin wyznaczają dokładną pozycję łącznika względem zębów sąsiednich
Indywudalizowane filary protetyczne z żywicznymi kluczami – czerwone klucze pattern-resin wyznaczają dokładną pozycję łącznika względem zębów sąsiednich

Indywudalizowane filary protetyczne z żywicznymi kluczami - czerwone klucze pattern-resin wyznaczają dokładną pozycję łącznika względem zębów sąsiednich
Indywudalizowane filary protetyczne z żywicznymi kluczami – czerwone klucze pattern-resin wyznaczają dokładną pozycję łącznika względem zębów sąsiednich

Próba struktury cerkonu i rejestracja okluzji - ocena szczelności przylegania struktury cerkonu na filarach protetycznych
Próba struktury cerkonu i rejestracja okluzji – ocena szczelności przylegania struktury cerkonu na filarach protetycznych

Próba struktury cerkonu i rejestracja okluzji - ocena szczelności przylegania struktury cerkonu na filarach protetycznych
Próba struktury cerkonu i rejestracja okluzji – ocena szczelności przylegania struktury cerkonu na filarach protetycznych

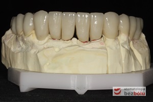
Gotowa praca protetyczna - korony cerkonowo-ceramiczne na modelu roboczym dostarczone z laboratorium protetycznego
Gotowa praca protetyczna – korony cerkonowo-ceramiczne na modelu roboczym dostarczone z laboratorium protetycznego

Gotowa praca protetyczna - korony cerkonowo-ceramiczne na modelu roboczym dostarczone z laboratorium protetycznego
Gotowa praca protetyczna – korony cerkonowo-ceramiczne na modelu roboczym dostarczone z laboratorium protetycznego

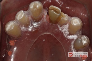
Wprowadzenie gotowych koron na zęby i implanty - śruby łączników tytanowych zamknięte różową gutaperką
Wprowadzenie gotowych koron na zęby i implanty – śruby łączników tytanowych zamknięte różową gutaperką

Wprowadzenie gotowych koron na zęby i implanty - śruby łączników tytanowych zamknięte różową gutaperką
Wprowadzenie gotowych koron na zęby i implanty – śruby łączników tytanowych zamknięte różową gutaperką

Ekspozycja implantów w szczęce - przesunięcie płata z podniebienia na stronę wargową w celu zwiększenia objętości dziąsła
Ekspozycja implantów w szczęce – przesunięcie płata z podniebienia na stronę wargową w celu zwiększenia objętości dziąsła

Ekspozycja implantów w szczęce - przesunięcie płata z podniebienia na stronę wargową w celu zwiększenia objętości dziąsła
Ekspozycja implantów w szczęce – przesunięcie płata z podniebienia na stronę wargową w celu zwiększenia objętości dziąsła

Ekspozycja implantów w szczęce - przesunięcie płata z podniebienia na stronę wargową w celu zwiększenia objętości dziąsła
Ekspozycja implantów w szczęce – przesunięcie płata z podniebienia na stronę wargową w celu zwiększenia objętości dziąsła

Ekspozycja implantów w szczęce - przesunięcie płata z podniebienia na stronę wargową w celu zwiększenia objętości dziąsła
Ekspozycja implantów w szczęce – przesunięcie płata z podniebienia na stronę wargową w celu zwiększenia objętości dziąsła

Ekspozycja implantów w szczęce - przesunięcie płata z podniebienia na stronę wargową w celu zwiększenia objętości dziąsła
Ekspozycja implantów w szczęce – przesunięcie płata z podniebienia na stronę wargową w celu zwiększenia objętości dziąsła

Proces pobierania wycisków - transfery wyciskowe do łyżki otwartej przykręcone do implantów
Proces pobierania wycisków – transfery wyciskowe do łyżki otwartej przykręcone do implantów

Proces pobierania wycisków - transfery wyciskowe do łyżki otwartej przykręcone do implantów
Proces pobierania wycisków – transfery wyciskowe do łyżki otwartej przykręcone do implantów

Wycisk polieterowy z umieszczonymi transferami - masa Impregum użyta do wycisku, umieszczona na łyżce indywidualnej
Wycisk polieterowy z umieszczonymi transferami – masa Impregum użyta do wycisku, umieszczona na łyżce indywidualnej

Dobór łączników protetycznych - zestaw łączników próbnych pozwala na precyzyjne i nieinwazyjne dobranie optymalnego łącznika
Dobór łączników protetycznych – zestaw łączników próbnych pozwala na precyzyjne i nieinwazyjne dobranie optymalnego łącznika

Ustalenie wysokości zwarcia - wzornik woskowy z zaznaczonymi liniami: środkową, uśmiechu i kłową
Ustalenie wysokości zwarcia – wzornik woskowy z zaznaczonymi liniami: środkową, uśmiechu i kłową

Model roboczy z maską dziąsłową - analogi implantów otoczone maską dziąsłową
Model roboczy z maską dziąsłową – analogi implantów otoczone maską dziąsłową

Analogi implantów wyfrezowane i połączone kluczem - klucz pattern-resin pozwala na równoległe umieszczenie filarów protetycznych w implantach
Analogi implantów wyfrezowane i połączone kluczem – klucz pattern-resin pozwala na równoległe umieszczenie filarów protetycznych w implantach

Ocena profilu wyłaniania łączników dziąsła - filary protetyczne opracowane w sposób umożliwiający uzyskanie wysokiej estetyki wyłaniania korony
Ocena profilu wyłaniania łączników dziąsła – filary protetyczne opracowane w sposób umożliwiający uzyskanie wysokiej estetyki wyłaniania korony

Ocena profilu wyłaniania łączników dziąsła - filary protetyczne opracowane w sposób umożliwiający uzyskanie wysokiej estetyki wyłaniania korony
Ocena profilu wyłaniania łączników dziąsła – filary protetyczne opracowane w sposób umożliwiający uzyskanie wysokiej estetyki wyłaniania korony

Kontrolne klucze żywiczne, łączące filary protetyczne - podwójny system kontroli pasywności zmniejsza ryzyko naprężeń pomiędzy implantami
Kontrolne klucze żywiczne, łączące filary protetyczne – podwójny system kontroli pasywności zmniejsza ryzyko naprężeń pomiędzy implantami

Wielowarstwowe licówki kompozytowe - próba ustawienia prefabrykowanych licówek w trójwymiarowej przestrzeni
Wielowarstwowe licówki kompozytowe – próba ustawienia prefabrykowanych licówek w trójwymiarowej przestrzeni

Model roboczy z osadzonymi licówkami w wosku - dobrane licówki firmy Bredent o największym dostępnym rozmiarze, zaprojektowane na modelu
Model roboczy z osadzonymi licówkami w wosku – dobrane licówki firmy Bredent o największym dostępnym rozmiarze, zaprojektowane na modelu

Model roboczy z osadzonymi licówkami w wosku - dobrane licówki firmy Bredent o największym dostępnym rozmiarze, zaprojektowane na modelu
Model roboczy z osadzonymi licówkami w wosku – dobrane licówki firmy Bredent o największym dostępnym rozmiarze, zaprojektowane na modelu

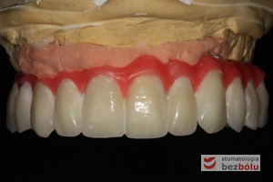
Gotowy most z maską dziąsłową - zastosowanie maski dziąsłowej uzasadnione długością zębów
Gotowy most z maską dziąsłową – zastosowanie maski dziąsłowej uzasadnione długością zębów

Proces przyklejania mostu zdejmowanego  - tymczasowy klej umieszczany w koronach w celu przycementowania do filarów
Proces przyklejania mostu zdejmowanego – tymczasowy klej umieszczany w koronach w celu przycementowania do filarów

Proces przyklejania mostu zdejmowanego  - tymczasowy klej umieszczany w koronach w celu przycementowania do filarów
Proces przyklejania mostu zdejmowanego – tymczasowy klej umieszczany w koronach w celu przycementowania do filarów

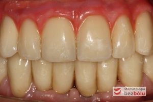
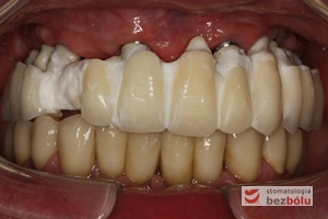
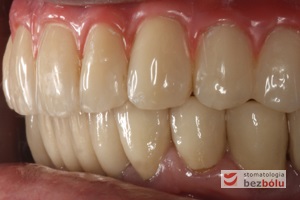
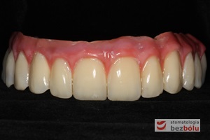
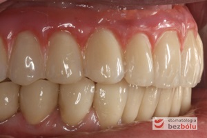
Ostateczny efekt estetyczny wieńczący proces terapeutyczny - odbudowa protetyczna obu łuków zębowych przy zastosowaniu implantów Friadent Ankylos
Ostateczny efekt estetyczny wieńczący proces terapeutyczny – odbudowa protetyczna obu łuków zębowych przy zastosowaniu implantów Friadent Ankylos

Ostateczny efekt estetyczny wieńczący proces terapeutyczny - odbudowa protetyczna obu łuków zębowych przy zastosowaniu implantów Friadent Ankylos
Ostateczny efekt estetyczny wieńczący proces terapeutyczny – odbudowa protetyczna obu łuków zębowych przy zastosowaniu implantów Friadent Ankylos

Ostateczny efekt estetyczny wieńczący proces terapeutyczny - odbudowa protetyczna obu łuków zębowych przy zastosowaniu implantów Friadent Ankylos
Ostateczny efekt estetyczny wieńczący proces terapeutyczny – odbudowa protetyczna obu łuków zębowych przy zastosowaniu implantów Friadent Ankylos

Radiologiczna kontrola osiągniętego efektu terapeutycznego
Radiologiczna kontrola osiągniętego efektu terapeutycznego

Uśmiech pacjenta choć nieśmiały... dla lekarza bezcenny!
Uśmiech pacjenta choć nieśmiały… dla lekarza bezcenny!

 

lekarz prowadzący Magdalena Żywicka
technik dentystyczny Bartłomiej Troczyński
placówka medyczna Stomatologia Bez Bólu

PODZIEL SIĘ:

Kontakt