Odrotowanie szóstek stałych przy zastosowaniu Rotatora
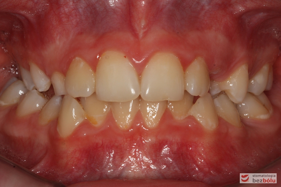
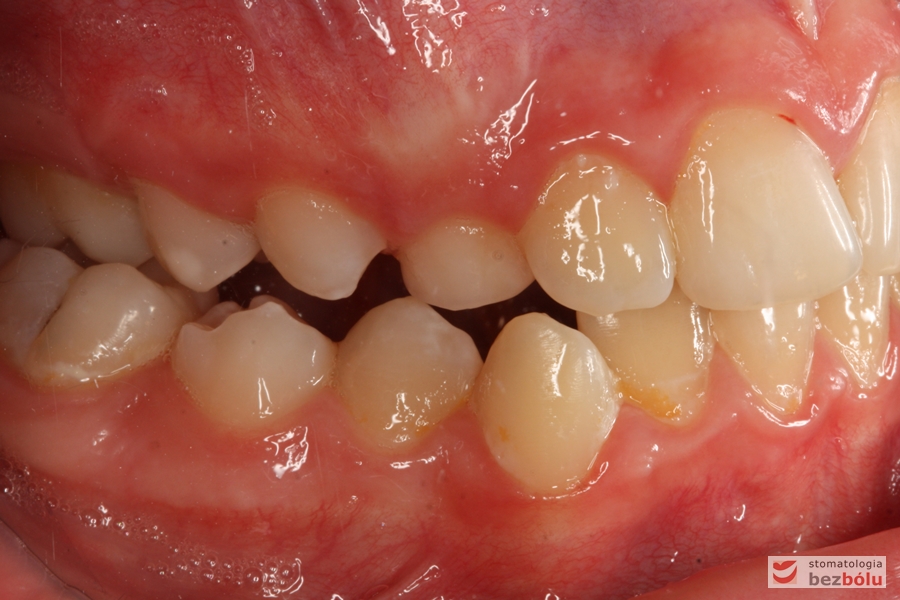
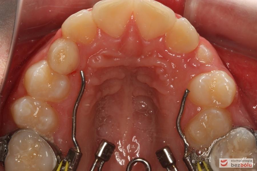
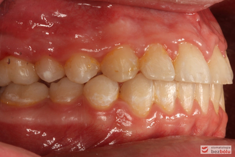
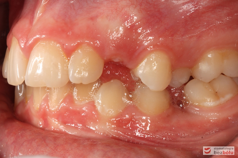
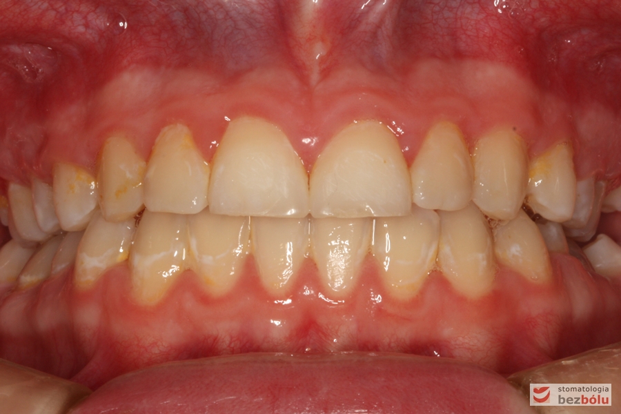
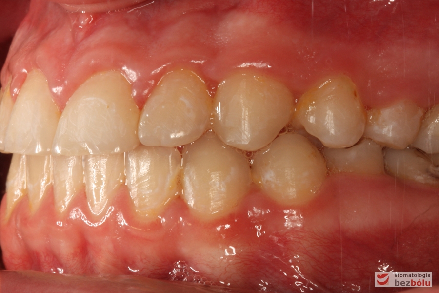
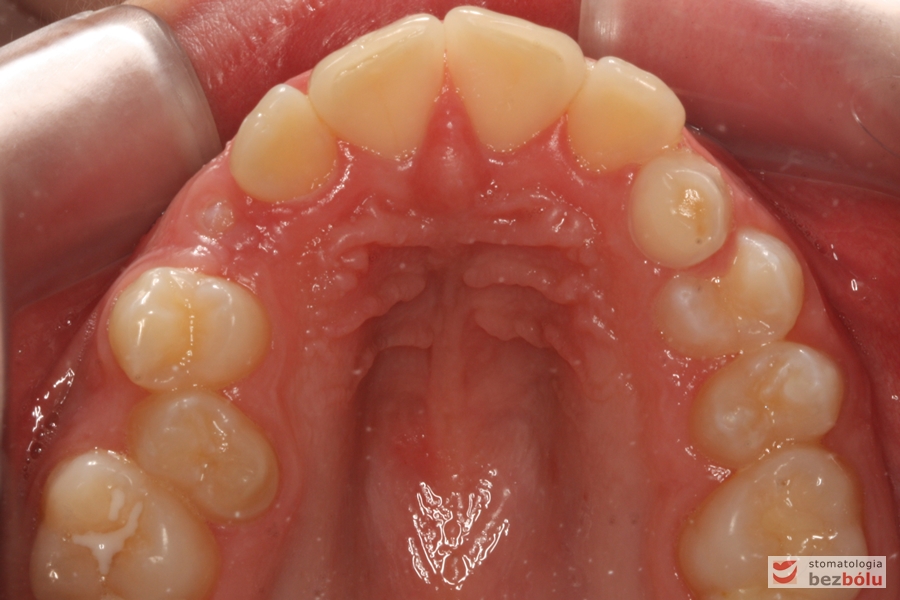
Rodzice zgłosili się z pacjentem celem rutynowej kontroli ortodontycznej. Wykonano OPG i po analizie modeli diagnostycznych stwierdzono brak miejsca dla wyrzynania dolnej prawej piątki stałej oraz zwężenie szczęki wraz z rotacją górnych zębów szóstych. W łuku górnym w pierwszym etapie leczenia zastosowano Rotator, celem odrotowania 6-tek stałych oraz ekspansji łuku w wymiarze poprzecznym. Następnie zamontowano aparat stały metalowy do uszeregowania zębów w łuku. W łuku dolnym miejsce odtwarzano stosując aparat stały i odpowiednią mechanikę leczenia. Leczenie aktywne trwało 3,5 roku, po czym zastosowano terapię retencyjną (retainer stały w żuchwie oraz Płytkę Hawley’a w szczęce).
Placówka medyczna NZOZ Stomatologia Bez Bólu










