Ortodontyczne metamorfozy – rozdzielenie bliźniąt
[v=-FYRUldvO4A]
Młody 28-letni, pogodny i stale uśmiechnięty pacjent zgłosił się celem korekcji wad zębowych, ograniczających pełną ekspresję uśmiechu. Głównym problemem był dodatkowy siekacz boczny (dwójka) po stronie prawej w łuku górnym. Dodatkowy ząb spowodował stłoczenia pozostałych zębów w łuku górnym oraz przesunięcie linii pośrodkowej. Obliczenia dostępnego miejsca dla siekacza bocznego, wpłynęły na wybór zęba przeznaczonego do ekstrakcji.
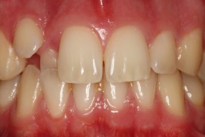
STAN KLINICZNY PRZED LECZENIEM
1. Zęby górnego i dolnego łuku w zwarciu
2. Powierzchnie okluzyjne górnego i dolnego łuku zębowego
3. Diagnostyczne modele gipsowe
PLAN LECZENIA ORTODONTYCZNEGO
Zaplanowano usunięcie „dwójki” ustawionej dowargowo, zaś jej „siostrę bliźniaczkę”, skierowaną w stronę podniebienia, należy wprowadzić do łuku zębowego w drodze leczenia ortodontycznego. Zwrócono uwagę na nadmiar miejsca w kości, utrudniający szczelne zamknięcie szpary poekstrakcyjnej. Zaplanowano wyrównanie linii pośrodkowej przy zastosowaniu aparatu jedynie w łuku górnym. Dolny łuk zębowy nie wymagał założenia aparatu. Po planowanym zdjęciu zamków, korekcję detali zaplanowano przy użyciu pozycjonera, będącego jednocześnie retencją osiągniętych efektów leczenia.
PROCES LECZENIA ORTODONTYCZNEGO
1. Usunięcie dwójki od strony dowargowej
2. Wprowadzanie siekacza bocznego do łuku – użycie łuków niklowo-tytanowych
3. Zamykanie luki po usuniętym zębie – zastosowana mechanika typu ti-back
4. Kształtowanie łuku górnego: domykanie szpar między zębami – zastosowany łuk typu posted
5. Domykanie luki łukiem posted – pojawiające się luki domykane są w technice ślizgowej
6. Wykończenie ortodontyczne – finishing:
– precyzyjne ustalenie linii pośrodkowej
– zastosowanie szyny termoformowalnej – jako pozycjonera do skorygowania detali ustawienia zębów, utrwalająca efekty leczenia osadzona na zębach
7. Utrwalenie efektów leczenia – reteiner stały klejony do powierzchni podniebiennych siekaczy i kłów
8. Oczekiwany ostateczny efekt terapeutyczny po przeprowadzonym leczeniu ortodontycznym
Produkcja filmu
Zdjęcia archiwum SBB
muzyka freeSFX.co.uk
Placówka medyczna NZOZ Stomatologia Bez Bólu
Lekarz koordynator dr Magdalena Żywicka MSc
