Overdenture na zębach własnych i koronach teleskopowych
[v=LXj40t4a-LY]
67-letnia pacjentka zgłosiła się celem wymiany starych, nieestetycznych i startych protez zębowych w szczęce i żuchwie. Z czterech zębów „ocalałych” w żuchwie i czterech w szczęce, połowa okazała się zębami nierokującymi pomyślnie. Ponieważ pacjentka wykluczyła terapię z zastosowaniem implantów, to zdecydowano się na zastosowanie najbardziej przewidywalnej i łatwej w utrzymaniu odbudowy protetycznej, osadzonej na zębach własnych i podwójnych koronach teleskopowych.
STAN WYJŚCIOWY
1. Z zastanymi protezami – starte, znoszone, osiadające protezy zębowe
2. Bez protez – liczne braki zębowe i po 2 nierokujące zęby w szczęce i żuchwie
3. Diagnostyka radiologiczna – ocena statusu tkanek twardych i miękkich w obu łukach
PLAN LECZENIA
1. Ekstrakcja nierokujących długiego przetrwania 4 zębów: 2 w szczęce i 2 w żuchwie
2. Przygotowanie endodontyczne i odbudowa filarów protetycznych na bazie pozostałych zębów własnych: 2 w szczęce i 2 w żuchwie
3. Szlif, opracowanie filarów oraz pobranie wycisków i przekazanie ich do laboratorium protetycznego
4. Umieszczenie na filarach 4 podwójnych koron teleskopowych:
– patryce wykonane z cyrkonu
– matryce w stopie chromo-kobaltowym, wyścielane w technice FGP
5. Mocowanie metalowej struktury protetycznej w trybie passive-fit.
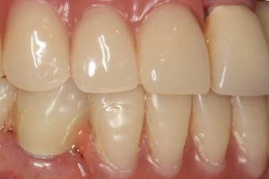
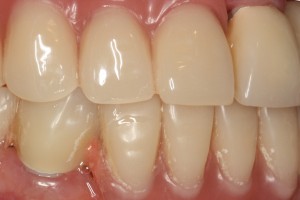
6. Wprowadzenie do jamy ustnej, wykonanej w laboratorium protetycznym, ostatecznej odbudowy protetycznej z użyciem zębów Michał Anioł Integrale w szczęce oraz w żuchwie
PROCES TERAPII STOMATOLOGICZNEJ
1. Gotowe patryce koron teleskopowych – wyfrezowane z cerkonu, umieszczone na modelu roboczym
2. Gotowe patryce koron teleskopowych – umieszczone w jamie ustnej na filarach zębów własnych
3. Odbudowa protetyczna szczęki – wykonana z kompozytu w wygodnym kształcie- tzw. „U-shape”
4. Odbudowa protetyczna żuchwy – wykonana przy użyciu zębów Michał Anioł Integrale
5. Odbudowa protetyczna żuchwy – precyzyjne dopasowanie pracy protetycznej do podłoża
6. Ocena ostatecznego efektu terapeutycznego dokonana przez zadowoloną i uśmiechniętą pacjentkę!
Produkcja filmu
Zdjęcia archiwum SBB
Montaż i realizacja Marcin Kołodziejczyk

