Overdenture na zębach własnych i koronach teleskopowych

2 kwietnia, 2015

Overdenture na zębach własnych i koronach teleskopowych

67-letnia pacjentka zgłosiła się celem wymiany starych, nieestetycznych i startych protez zębowych w szczęce i żuchwie. Z czterech zębów „ocalałych” w żuchwie i czterech w szczęce, połowa okazała się zębami nierokującymi pomyślnie. Ponieważ pacjentka wykluczyła terapię z zastosowaniem implantów, to zdecydowano się na zastosowanie najbardziej przewidywalnej i łatwej w utrzymaniu odbudowy protetycznej, osadzonej na zębach własnych i podwójnych koronach teleskopowych.

Stan wyjściowy przed leczeniem
Stan wyjściowy przed leczeniem

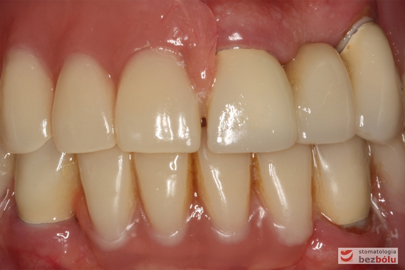
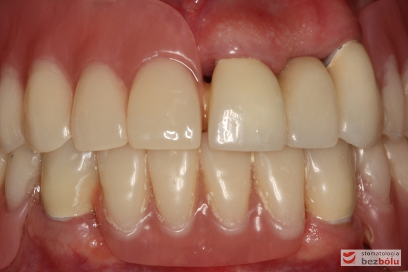
Efekt końcowy leczenia protetycznego
Efekt końcowy leczenia protetycznego

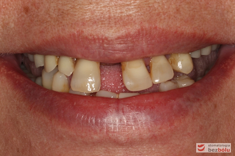
Stan wyjściowy przed leczeniem z zastanymi starymi protezami
Stan wyjściowy przed leczeniem z zastanymi starymi protezami

Stan wyjściowy przed leczeniem z zastanymi starymi protezami
Stan wyjściowy przed leczeniem z zastanymi starymi protezami

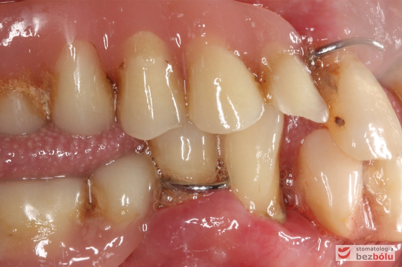
Starte, znoszone, osiadające protezy zębowe - widok po stronie prawej
Starte, znoszone, osiadające protezy zębowe – widok po stronie prawej

Starte, znoszone, osiadające protezy zębowe - widok po stronie lewej
Starte, znoszone, osiadające protezy zębowe – widok po stronie lewej

Widok łuku górnego przed leczeniem
Widok łuku górnego przed leczeniem

Widok łuku dolnego przed leczeniem
Widok łuku dolnego przed leczeniem

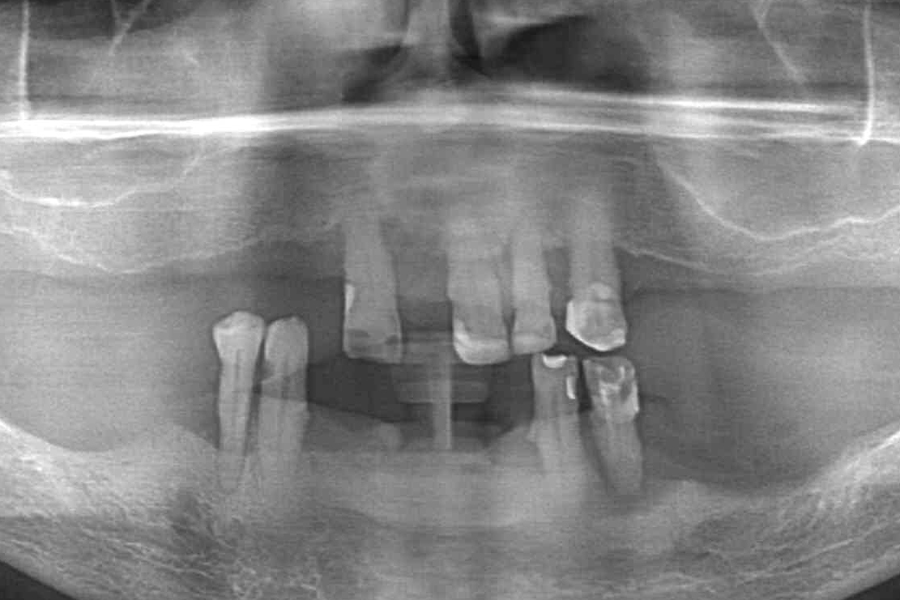
Diagnostyka radiologiczna - ocena statusu tkanek twardych i miękkich w obu łukach
Diagnostyka radiologiczna – ocena statusu tkanek twardych i miękkich w obu łukach

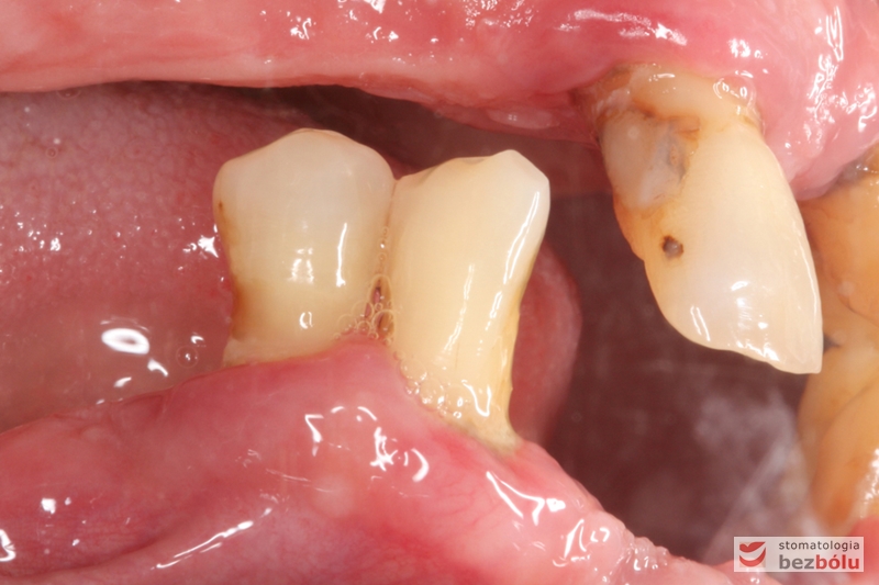
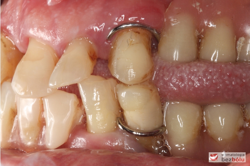
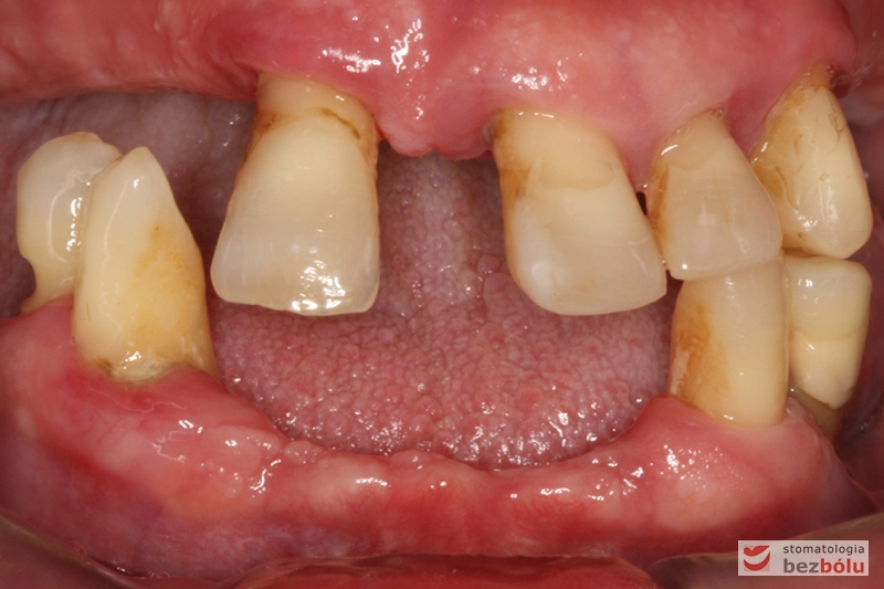
Stan wyjściowy - bez protez, liczne braki zębowe i po 2 nierokujące zęby w szczęce i żuchwie
Stan wyjściowy – bez protez, liczne braki zębowe i po 2 nierokujące zęby w szczęce i żuchwie

Stan wyjściowy - bez protez, liczne braki zębowe i po 2 nierokujące zęby w szczęce i żuchwie
Stan wyjściowy – bez protez, liczne braki zębowe i po 2 nierokujące zęby w szczęce i żuchwie

Stan wyjściowy - bez protez, liczne braki zębowe i po 2 nierokujące zęby w szczęce i żuchwie
Stan wyjściowy – bez protez, liczne braki zębowe i po 2 nierokujące zęby w szczęce i żuchwie

Stan wyjściowy - bez protez, liczne braki zębowe i po 2 nierokujące zęby w szczęce i żuchwie
Stan wyjściowy – bez protez, liczne braki zębowe i po 2 nierokujące zęby w szczęce i żuchwie

Stan wyjściowy - bez protez, liczne braki zębowe i po 2 nierokujące zęby w szczęce i żuchwie
Stan wyjściowy – bez protez, liczne braki zębowe i po 2 nierokujące zęby w szczęce i żuchwie

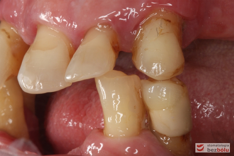
Gotowe patryce koron teleskopowych - wyfrezowane z cerkonu, umieszczone na modelu roboczym
Gotowe patryce koron teleskopowych – wyfrezowane z cerkonu, umieszczone na modelu roboczym

Gotowe patryce koron teleskopowych - wyfrezowane z cerkonu, umieszczone na modelu roboczym
Gotowe patryce koron teleskopowych – wyfrezowane z cerkonu, umieszczone na modelu roboczym

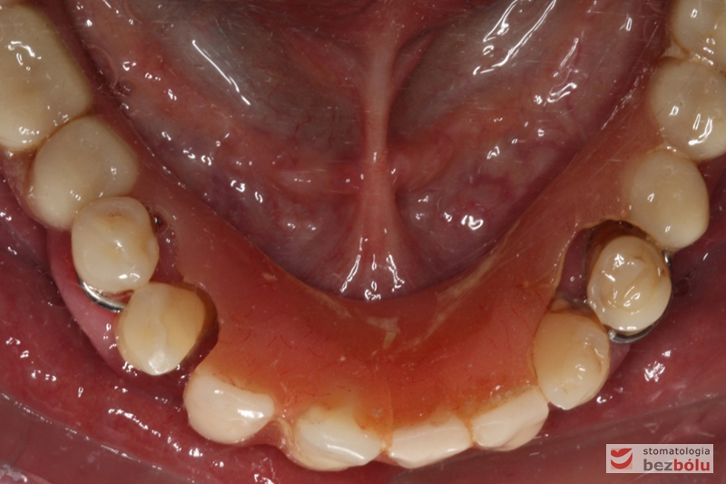
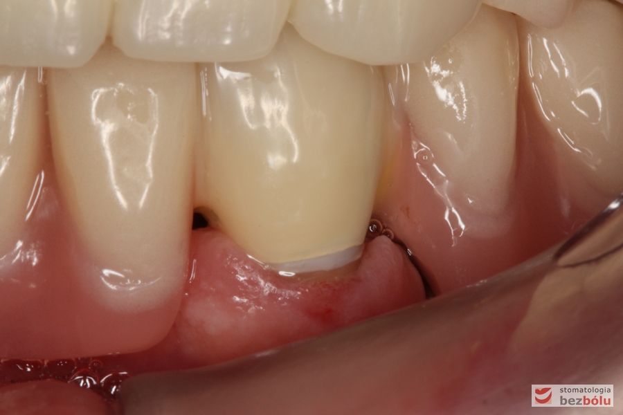
Gotowe patryce koron teleskopowych umieszczone w jamie ustnej na filarach zębów własnych
Gotowe patryce koron teleskopowych umieszczone w jamie ustnej na filarach zębów własnych

Gotowe patryce koron teleskopowych umieszczone w jamie ustnej na filarach zębów własnych
Gotowe patryce koron teleskopowych umieszczone w jamie ustnej na filarach zębów własnych

Odbudowa protetyczna szczęki - wykonana z kompozytu w wygodnym kształcie - tzw. "U-shape"
Odbudowa protetyczna szczęki – wykonana z kompozytu w wygodnym kształcie – tzw. „U-shape”

Odbudowa protetyczna szczęki - wykonana z kompozytu w wygodnym kształcie - tzw. "U-shape"
Odbudowa protetyczna szczęki – wykonana z kompozytu w wygodnym kształcie – tzw. „U-shape”

Odbudowa protetyczna szczęki - wykonana z kompozytu w wygodnym kształcie - tzw. "U-shape"
Odbudowa protetyczna szczęki – wykonana z kompozytu w wygodnym kształcie – tzw. „U-shape”

Odbudowa protetyczna w szczęce - ocena przymiarki nowej odbudowy
Odbudowa protetyczna w szczęce – ocena przymiarki nowej odbudowy

Odbudowa protetyczna w szczęce - ocena przymiarki nowej odbudowy
Odbudowa protetyczna w szczęce – ocena przymiarki nowej odbudowy

Odbudowa protetyczna żuchwy - wykonana przy użyciu zębów Michał Anioł Integrale
Odbudowa protetyczna żuchwy – wykonana przy użyciu zębów Michał Anioł Integrale

Odbudowa protetyczna żuchwy - wykonana przy użyciu zębów Michał Anioł Integrale
Odbudowa protetyczna żuchwy – wykonana przy użyciu zębów Michał Anioł Integrale

Odbudowa protetyczna żuchwy - wykonana przy użyciu zębów Michał Anioł Integrale
Odbudowa protetyczna żuchwy – wykonana przy użyciu zębów Michał Anioł Integrale

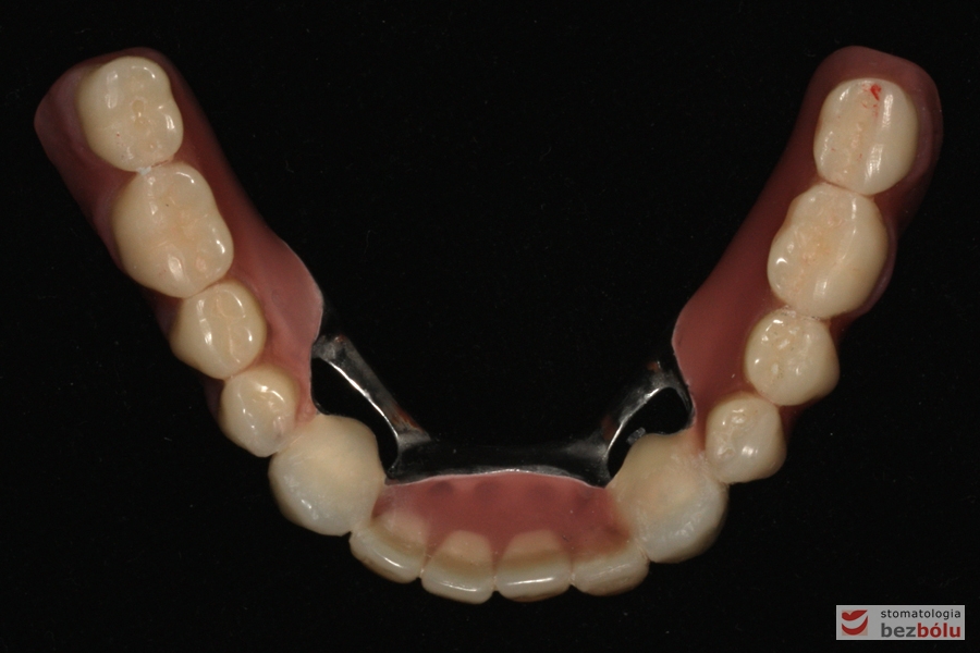
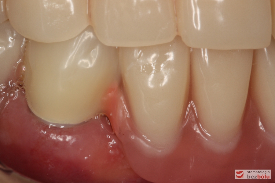
Odbudowa protetyczna w żuchwie - precyzyjne dopasowanie pracy protetycznej do podłoża
Odbudowa protetyczna w żuchwie – precyzyjne dopasowanie pracy protetycznej do podłoża

Odbudowa protetyczna w żuchwie - precyzyjne dopasowanie pracy pottetycznej do podłoża
Odbudowa protetyczna w żuchwie – precyzyjne dopasowanie pracy pottetycznej do podłoża

Odbudowa protetyczna w żuchwie - precyzyjne dopasowanie pracy pottetycznej do podłoża
Odbudowa protetyczna w żuchwie – precyzyjne dopasowanie pracy pottetycznej do podłoża

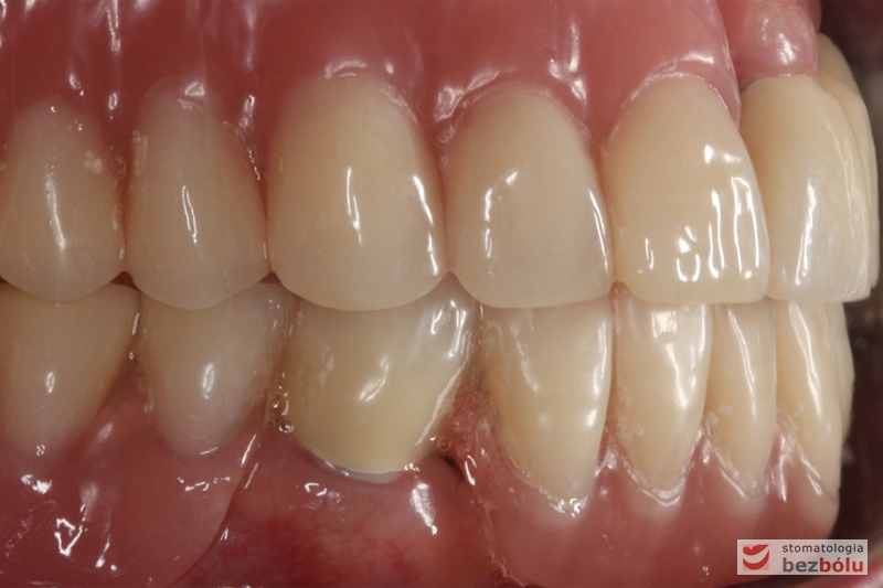
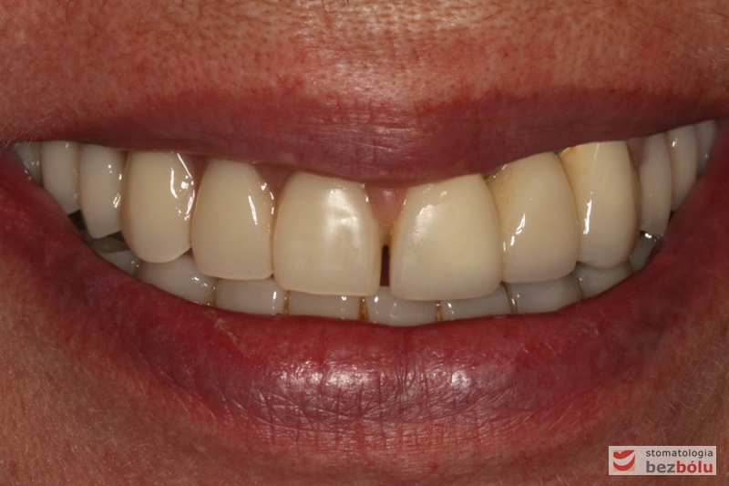
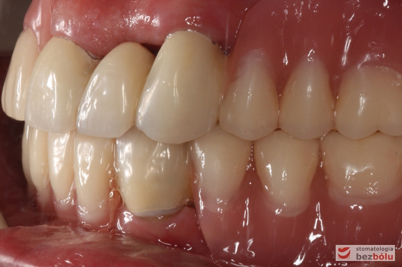
Ostateczny efekt terapeutyczny - zadowolona i uśmiechnięta pacjentka
Ostateczny efekt terapeutyczny – zadowolona i uśmiechnięta pacjentka

Ostateczny efekt terapeutyczny - zadowolona i uśmiechnięta pacjentka
Ostateczny efekt terapeutyczny – zadowolona i uśmiechnięta pacjentka

Ostateczny efekt terapeutyczny - zadowolona i uśmiechnięta pacjentka
Ostateczny efekt terapeutyczny – zadowolona i uśmiechnięta pacjentka

Ostateczny efekt terapeutyczny - zadowolona i uśmiechnięta pacjentka
Ostateczny efekt terapeutyczny – zadowolona i uśmiechnięta pacjentka

 

Laboratorium protetyczne PRO-DENT
Lekarz prowadzący dr Magdalena Żywicka MSc

PODZIEL SIĘ:

Kontakt