Pionowe złamanie zęba jest jednym z poważnych powikłań, które może pojawić się podczas leczenia endodontycznego (kanałowego) lub po jego zakończeniu.
Często radość z powodu zakończonej sukcesem terapii endodontycznej jest zakłócona dolegliwościami bólowymi, obrzękiem lub ruchomością fragmentu złamanego zęba. I dzieje się to w różnej odległości czasowej od zakończonego leczenia, nawet po kilku, kilkunastu, kilkudziesięciu latach może dojść do tego niepowodzenia.
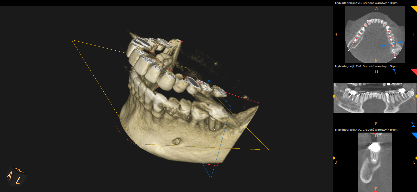
Ten problem najczęściej dotyczy zębów trzonowych żuchwy oraz górnych przedtrzonowców. Może również towarzyszyć wadom zgryzu, w zębach zniszczonych przez erozję, abrazję lub atrycję. Pionowe złamanie korzenia jest trudne do zdiagnozowania. Zdjęcia RTG nie zawsze bowiem ukaże „całą prawdę”. Coraz powszechniej używane obrazowanie CBCT (3D) pomaga w postawieniu diagnozy pionowego złamania zęba lub korzenia.
Do pionowego złamania korzenia zęba może dojść podczas zabiegu leczenia kanałowego poprzez używanie zbyt dużej siły w czasie wypełniania lub oczyszczania kanału. Może być również spowodowane zaklinowaniem się narzędzia w kanale. Pionowe korzenia zęba zawsze prowadzi do usunięcia całego zęba. Dbałość o profilaktykę i terminowe zgłaszania się do gabinetu stomatologicznego z towarzyszącą diagnostyką rentgenowską znaczącą redukuje te ryzyka.
Fakt zaistnienia złamania bywa zamanifestowany specyficznym trzaskiem, a pacjent zaczyna odczuwać ból zęba pojawiający się przy nagryzaniu, podczas zmian temperatury czy zmian siły nacisku.
Pionowe pęknięcia, które mogą doprowadzić do złamani zęba zostały podzielone na kilka grup:
Grupa I – pęknięcia szkliwa.
Grupa II – złamanie guzka. Ma ono miejsce już w koronie zęba i biegnie w kierunku szyjki.
Grupa III – pęknięcie zęba – niepełne pęknięcie korony zęba.
Grupa IV – całkowite złamanie zęba – rozdzielające ząb na dwie części.
Grupa V – pionowe pęknięcie zęba – pęknięcie korzenia.
Nadzieją na przywrócenie funkcji żucia w zakresie utraconego zęba jest oczywiście – implant. Dynamiczny rozwój implantologii pozwala na uzupełnienie braków zębowych szybko, przewidywalnie i bezboleśnie.
![]() |
![]() |
![]() |
![]() |
![]() |
|
![]() |
|
![]() |
|











