Radektomia
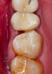
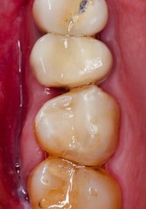
Mimo ogromnego postępu, jaki miał miejsce w stomatologii na przestrzeni ostatnich lat, niekiedy zdarzają się sytuacje, kiedy nie jesteśmy w stanie leczyć zęba w sposób zachowawczy i zmuszeni jesteśmy wdrożyć procedury chirurgiczne. W przypadkach, kiedy nieuleczalne zmiany objęły tylko jeden z korzeni wielokorzeniowego zęba (trzonowego lub przedtrzonowego), zamiast usuwać cały ząb i zastępować go na przykład implantem, możemy pokusić się o usunięcie tylko jednego korzenia – zabieg taki nazywamy radektomią.
Tak właśnie było w przedstawionym poniżej przypadku – w korzeniu policzkowym bliższym zęba uprzednio leczonego kanałowo znajdował się bardzo głęboko schodzący poddziąsłowo ubytek próchnicowy, sięgający niemal brzegu kości, ponadto torbiel okołowierzchołkowa i widoczny, spowodowany być może stanem zapalnym wokół zęba, odczyn w zatoce szczękowej, manifestujący się pogrubioną błoną śluzową. Po dokładnej diagnostyce radiologicznej wspartej badaniem tomograficznym CBCT i omówieniu z pacjentem wszystkich możliwych wariantów wraz z wynikającymi z nich korzyściami i ryzykiem, wybór padł na radektomię.
W znieczuleniu miejscowym, z użyciem mikroskopu, maleńkim wiertłem odcięty został uszkodzony korzeń tak, aby w możliwie najmniejszym stopniu uszkodzić fragmenty zęba, które mają pozostać w jamie ustnej pacjenta oraz otaczającą je kość. Następnie, niezwykle ostrożnie, usunięto odpreparowany korzeń, wyłuszczono w całości torbiel i założono szew stabilizujący powstający w zębodole skrzep. Pozostałą część zęba zabezpieczono materiałem kompozytowym do czasu, gdy będzie możliwe wykonanie powtórnego leczenia kanałowego i ostateczna odbudowa części koronowej.
![]() |
![]() |
![]() |
![]() |
![]() |
![]() |
![]() |
Placówka medyczna NZOZ Stomatologia Bez Bólu
Lekarz stomatolog Magdalena Żywicka







