Ruchomości zębów – przypadek stomatologiczny
Ruchomość zębów – przyczyny
70-80 % ludzi boryka się z problemem paradontozy (zapalenie przyzębia). Jest ona głównym powodem zwiększonej ruchomości zębów, jednakże występuje ono najczęściej dopiero po latach jej trwania.
Przypadek stomatologiczny

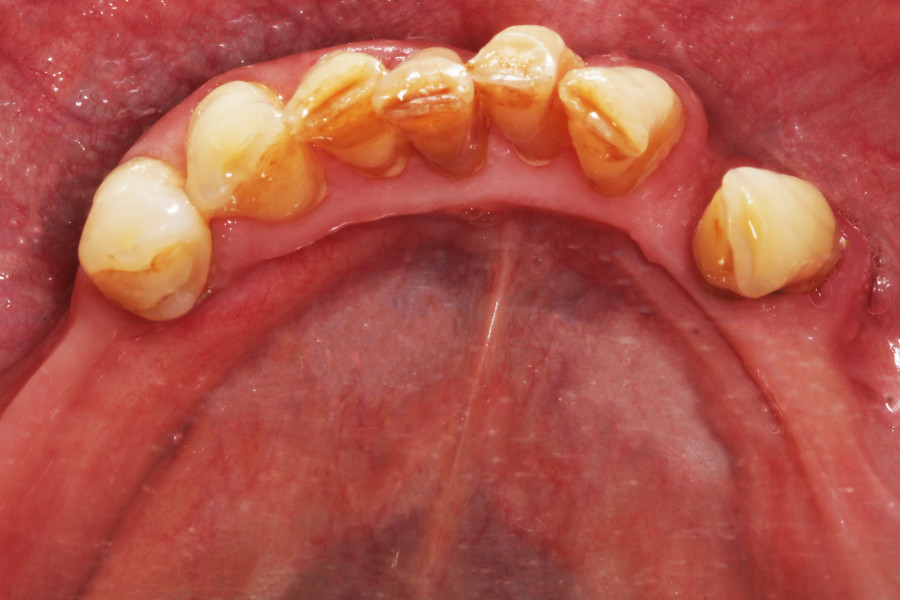
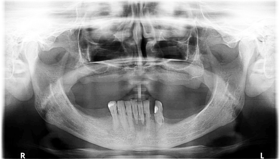
Pacjentka lat 65, zgłosiła się do stomatologa na konsultację, ponieważ niepokoiła ją ruchomości zębów. W pierwszej kolejności została skierowana na wizyt higienizacyjną. Bezzębie w łuku górnym zaopatrzone było całkowitą akrylową protezą, w łuku dolnym pacjentka nie użytkowała żadnego uzupełnienia. Pacjentka niepaląca.
| |
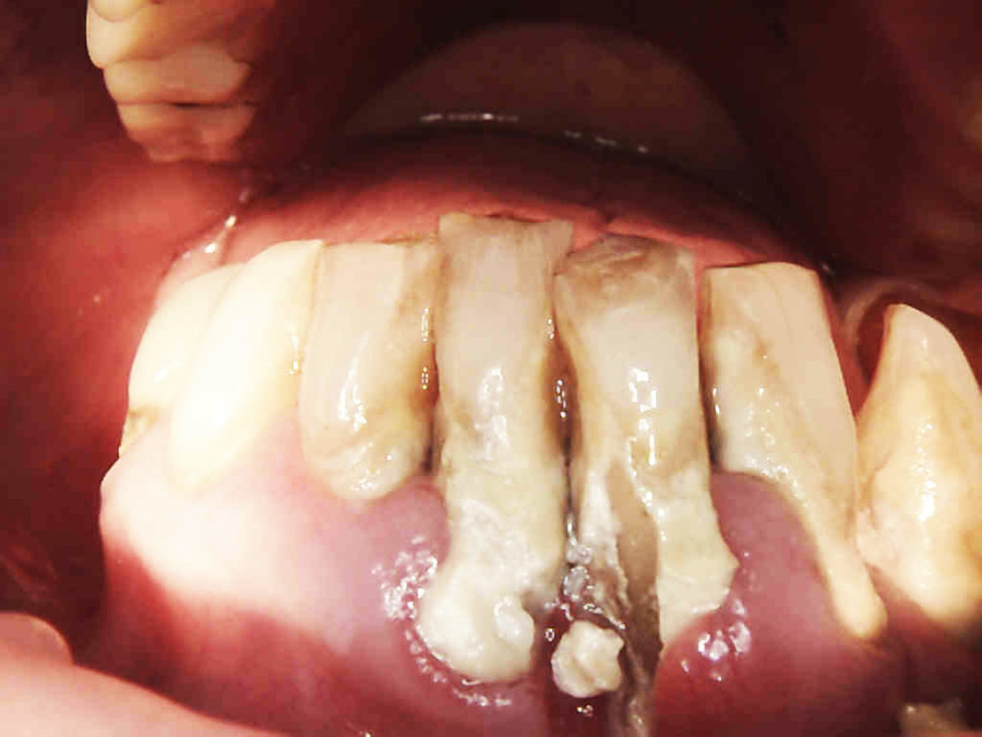
Postępowanie rozdzielono na dwie wizyty. Badaniem klinicznym, oceniając wskaźniki periodontologiczne, uzyskano wartości API 100%, PBI 100% świadczące o konieczności poprawy higieny i procesie zapalnym dziąseł, duże złogi kamienia nad i poddziąsłowego, bardzo obfity biofilm, pogłębione wszystkie kieszonki dziąsłowe, ciężkie zapalenie dziąseł, ruchomości zębów dolnych III stopnia, duży zanik kości. Badanie kliniczne błony śluzowej jamy ustnej nie wykazało zmian patologicznych.
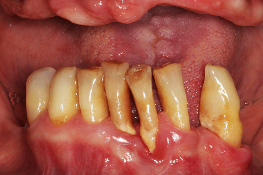
Na pierwszej wizycie usunięto złogi kamienia nad- i poddziąsłowego za pomocą skalera ultradźwiękowego EMS oraz osady i biofilm za pomocą piaskarki airflow S2 EMS –użyto piasku AIR-Flow PLUS. Ponieważ pani jest bardzo wrażliwą osobą, a stan zapalny dziąseł był bardzo duży, pacjentka została miejscowo znieczulona do zabiegu.

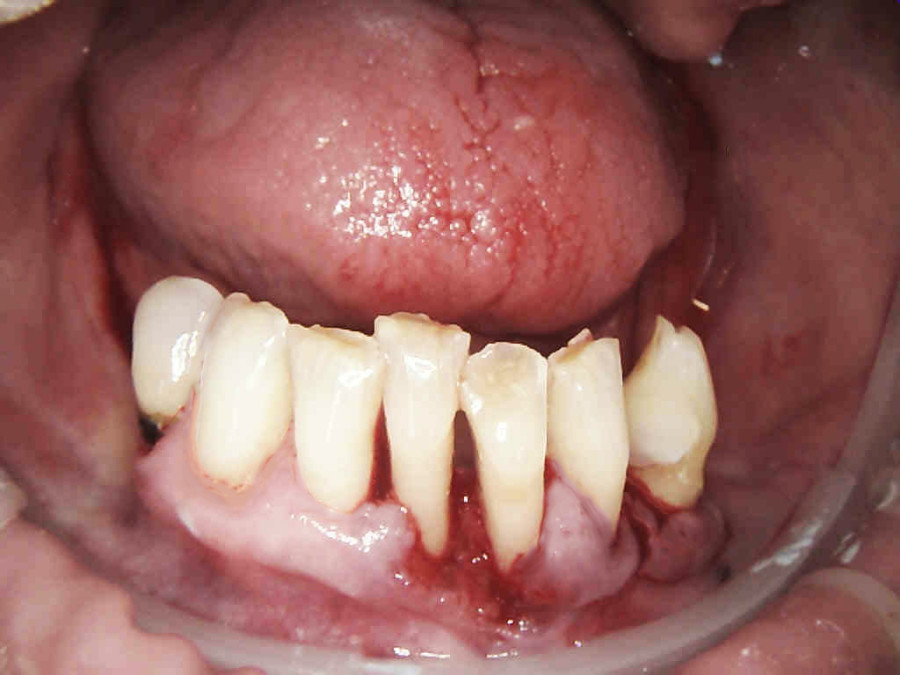
Na drugiej wizycie przeprowadzono dokładną kontrolę pozabiegową. Oznaczono ponownie wszystkie wskaźniki notując znaczną poprawę – API 17%, PBI 33%, sprawdzono głębokość kieszonek i ruchomości zębów.
Płytkę bakteryjną stwierdzono tylko w jednęj przestrzeni, krwawienie w dwóch, niektóre kieszonki spłyciły się. Niestety pani odłożyły się nowe złogi kamienia przy zębach siecznych. Przeprowadzono dokładny instruktaż szczotkowania i nitkowania, dobrano dla pacjentki odpowiednie środki do codziennej higieny jamy ustnej: szczoteczki międzyzębowe , pasty, płukanki, nici oraz skierowano dalej do periodontologa w celu przeprowadzenia dokładnego badania głębokości kieszonek i ewentualnego zabiegu root planingu .





