Sięgnąć, gdzie wzrok nie sięga
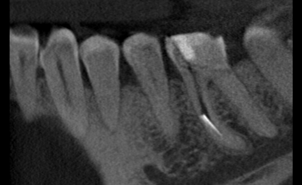
27-latni pacjent zgłosił się do naszej placówki z prośbą o pomoc polegającą na kontynuacji leczenia kanałowego, trwającego już wiele miesięcy. Leczenie przedłużało się z powodu powikłania w postaci złamanego narzędzia endodontycznego, które uniemożliwiało dezynfekcję systemu kanałowego na całej długości. Dodatkową trudnością była lokalizacja narzędzia w połowie długości korzenia za krzywizną kanału, co uniemożliwiało jego widoczność w mikroskopie. Podjęto próbę ominięcia („by passa”) narzędzia, co niestety nie powiodło się. Nieocenioną pomocą w tym precyzyjnym zabiegu okazała się tomografia wolumetryczna, która „sięgała, gdzie wzrok nie sięgał” i ułatwiła bezpieczne usunięcie narzędzia, a następnie pełną dezynfekcję i szczelne wypełnienie systemu korzeniowego. Zabieg trwał 4 godziny (2 wizyty po 2 godziny) i dzięki olbrzymiej cierpliwości pacjenta i precyzji operatora zakończył się sukcesem.
|
|
|

Placówka stomatologiczna – NZOZ Stomatologia Bez Bólu
Lekarz stomatolog endodonta – Sylwia Książek


