ZŁAMANY UŚMIECH DZIECKA!
WIOSNA-LATO 2018 – sezon rowerowy rozpoczęty!
Wzrasta popularność różnego rodzaju aktywności. Z radością oglądamy coraz większe rzesze rodzin wspólnie przemierzających na dwóch kółkach rowerowe trasy i leśne ścieżki. Godne radosnego podkreślenia są coraz lepszej jakości rowery a co jeszcze ważniejsze elementy ochrony głowy, rąk i nóg, w których wyposażeni są najmłodsi adepci kolarskiej pasji. Jeździmy coraz więcej, coraz częściej i coraz lepiej ale za tym też idą groźby kolizji, urazów i kontuzji.
Chrońmy zęby naszych pociech!
Pomimo stosowania wielu potrzebnych zabezpieczeń zęby naszych dzieci pozostają najmniej chronioną częścią ciała młodych rowerzystów. W ostatnim czasie zanotowano u stomatologów coraz większą liczbę zgłoszeń utraconych bądź złamanych zębów w wyniku urazów komunikacyjnych (głównie na rowerze) i sportowych (boisko, basen, place zabaw itp. miejsca). Dlatego przede wszystkim chrońmy zęby naszych dzieci na wypadek urazów mechanicznych!
„Wypadek i dotkliwy uraz zębów nie muszą oznaczać końca marzeń o własnych zdrowych zębach! Opiekun musi tylko wiedzieć co i jak zrobić w jakiej kolejności aby uratować uszkodzone zęby.”TYLKO 20 złotych!

Uraz zęba to nie koniec. Można temu zaradzić!
Co jednak czynić kiedy ząb się złamie lub nawet wypadnie?
Wróćmy na moment do prewencji, gdyż byłoby idealnie gdyby aby dziecko przy rowerze lub innym zestawie sportowym miało ze sobą malutkie pudełeczko i kilkadziesiąt ml soli fizjologicznej. Ale nawet jeśli tego nie będzie, to wystarczy mocno nasączono wadą chusteczka i owinięcie utraconego kawałka lub całego zęba oraz jak najszybszy kontakt z lekarzem stomatologiem. Pamiętać też należy aby dziecko w okresie od złamania do kontaktu z dentystą dużo piło, dużo nawadniało miejsce urazu zęba.
„Złamany ząb dziecka i brak właściwej rekacji opiekunów skutkuje okaleczeniem jamy ustnej na całe życie!” – dr Magdalena Żywicka M.SC. członek zarządu PASE
Reasumując wystarczy jedynie: zebrać utracony kawałek zęba, wprowadzić go do wody i szybko dojechać do stomatologa, który zrobi wszystko aby przywrócić stan pierwotny.
Konsekwencje zaniechań rzutują na całe życie i nie trzeba wielkiej wyobraźni aby wejść w skórkę małego dziecka, który trwale pozbawiony jest kawałka, jednego lub więcej zębów. Można łatwo się domyślić z jakimi ograniczeniami społecznymi, funkcjonalnymi i psychicznymi będzie się osoba taka musiała mierzyć całe życie!
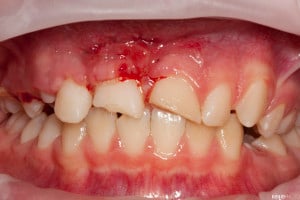
Jeden z przykładów tego jak sprawne i kompetentne działanie opiekunów i lekarza niweluje dramatyczne skutki rowerowej kolizji. Dzięki rodzicom i dentyście, naturalne zęby tego dziecka zostały uratowane!
![]() |
![]() |
![]() |
![]() |
![]() |
![]() |
![]() |
![]() |
Jakie są zatem konsekwencje zaniechań?
Wraz z rozwojem fizycznym, już w życiu dorosłym? Ciągle nasz uśmiech jest zdeformowany, nasze usta nie mają odpowiedniego oparcia, funkcje gryzienia i żucia są zaburzone, pojawiają się problemy z trawieniem, często występują wady zgryzu, inne zęby są narażone na większe (zbyt duże) obciążenia – często dochodzi do stopniowej utraty większości uzębienia.
Czy na takie straty pozwolilibyśmy sobie w przypadku palców u rąk?
Co prawda można poddać się dość kosztownym terapiom usuwającym skutki takich strat – np. można przecież wprowadzić implant. Wtedy jednak koszt odbudowy takiego zęba to kwota ok. 5 tysięcy złotych! Są też inne metody ale są mnie trwałe, nieestetycznie i niezbyt atrakcyjne. Dlatego każdy rodzić powinien rozważyć czy zakup i przypilnowanie umiejscowienie małej torebeczki z aparatem chroniącym plus miniaturowego pudełeczka i 2 ampułek z solą fizjologiczną (a wszystko za ok. 25 złotych) nie jest rozwiązaniem przyjaznym, skutecznym i po prostu lepszym.
Chrońmy zęby naszych pociech! Tak nie wiele trzeba aby miały radosny, pełny i zdrowy uśmiech!










