Zmiana profilu w leczeniu ekstrakcyjnym
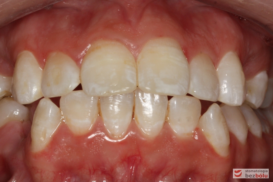
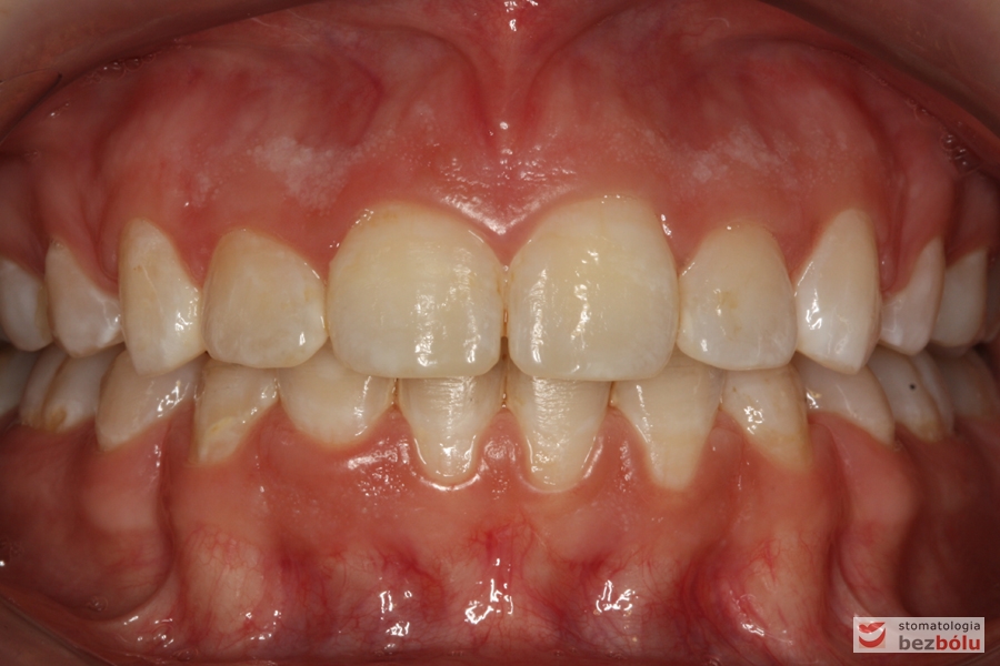
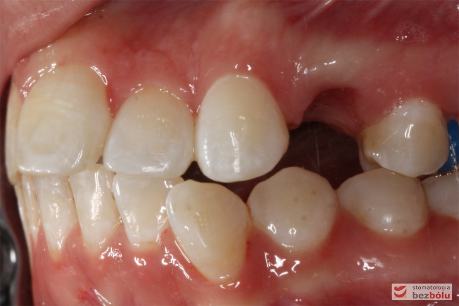
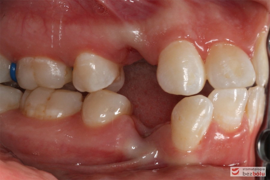
Młoda pacjentka zgłosiła się celem korekty ortodontycznej zębów przednich. Pacjentka była już uprzednio leczona aparatem stałym przez okres 2 lat bez usuwania zębów zakwalifikowanych do leczenia. 2 lata po zakończonym leczeniu nastąpiła recydywa wady, zwłaszcza w łuku dolnym. Innymi silnie zaznaczonymi problemami, które podawała były: zbyt wystające zęby przednie górne oraz niekompetencje warg (brak możliwości ich swobodnego łączenia), co skutkowało uczuciem suchości w jamie ustnej oraz nawracającymi stanami zapalnymi kątów ust. Po dokładnej analizie zdjęć oraz analizie cefalometrycznej i modeli ortodontycznych, zdecydowano o terapii aparatem stałym dla szczęki i żuchwy oraz konieczności ekstrakcji dwóch czwórek małych górnych i dwóch dolnych. Aktywne leczenie było prowadzone przez 3 lata, a po nim nastąpiło leczenie retencyjne z użyciem retainera stałego 3-3 w żuchwie oraz szyny dla szczęki.
Placówka medyczna NZOZ Stomatologia Bez Bólu








