Recesje dziąsłowe
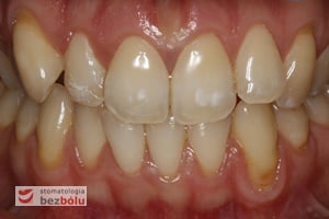
Częstym powodem, dla którego pacjenci zgłaszają się do lekarza dentysty są recesje dziąsłowe. Stanowią one narastający problem zdrowotny ponieważ, poza defektami natury estetycznej, powodują również zwiększenie dolegliwości na bodźce bólowe o charakterze chemicznym (kwaśne, słodkie pokarmy), termicznym (zimno, ciepło) i mechanicznym (wrażliwość na zadrapania, dotknięcia, ukłucia). Skutkiem recesji dziąsłowych jest także zwiększona podatność na próchnicę.

Recesje dziąsłowe mogą mieć różnorakie przyczyny i przybierać wielorakie formy. Oceniając stopień głębokości recesji oraz definiując występowanie czynników etiologicznych podejmuje się decyzję o sposobie leczenia.
Czynniki etiologiczne recesji:
- Niewłaściwy, traumatyzujący sposób szczotkowania zębów (np. poziome szorowanie z dużą siłą nacisku)
- Nieprawidłowe przyczepy wędzidełek (warg, języka i policzków)
- Zaburzenia zwarcia oraz morfologiczno-anatomiczne predyspozycje (np. cienka blaszka wyrostka zębodołowego pokrywająca korzeń od przedsionka jamy ustnej)
- Czynnik dysfunkcyjny (bruksizm)
- Efekt leczenia ortodontycznego (np. podczas przesuwania przedsionkowego zębów)
- Długo utrzymujący się stan zapalny wokół szyjki zęba
Recesje dzielimy na cztery klasy, w zależności od możliwości całkowitego pokrycia (wg Millera)
- klasa I recesje nie przekraczające linii śluzówkowo-dziąsłowej, przy których nie występuje ubytek tkanek w przestrzeniach międzyzębowych
- klasa II recesje sięgające do lub przekraczające linię śluzówkowo-dziąsłową, bez ubytku tkanek w przestrzeniach międzyzębowych
- klasa III recesje przekraczające linię śluzówkowo-dziąsłową, wraz z ubytkiem tkanek miękkich lub kości w przestrzeniach międzyzębowych
- klasa IV recesje przekraczają linię śluzówkowo-dziąsłową, a dodatkowo powikłane są rozległym zniszczeniem tkanek
W przypadku klas I i II można spodziewać się całkowitego pokrycia recesji, w klasie III częściowego, natomiast w IV klasie rokowanie pokrycia częściowego jest niepewne. Dlatego tak istotna jest wczesna i trafna diagnostyka recesji.



