Leczenie ortodontyczne – zgryz krzyżowy przedni

31 października, 2014

Leczenie ortodontyczne – zgryz krzyżowy przedni

Rodzice zgłosili się z młodym chłopcem (11,5 roku) celem podjęcia leczenia ortodontycznego. Głównym ich zmartwieniem była dwójka górna prawa ustawiona w zgryzie krzyżowym. Rutynowo jak w każdym przypadku wykonano analizę cefalometryczną oraz analizę modeli diagnostycznych. Leczenie aktywne zajęło 17 m-cy i było prowadzone w dwóch fazach. W I fazie pacjentowi zamontowano 2 pierścienie na zębach szóstych górnych oraz naklejono zamki na 4 siekaczach górnych i przy użyciu sprężyny dystalizującej odtworzono miejsce w łuku dla problematycznej dwójki. W fazie II leczenia kontynuowano aparatem stałym dla całego łuku. po fazach leczenia: aktywnego, rozpoczęto leczenie retencyjne z użyciem biernej płytki Schwartza dla szczęki.

Widok zębów w dniu założeniu aparatu
Widok zębów w dniu założeniu aparatu

Widok zębów w trakcie leczenia
Widok zębów w trakcie leczenia

Zęby w zwarciu tuż przed demontażem aparatu
Zęby w zwarciu tuż przed demontażem aparatu

Faza końcowa leczenia
Faza końcowa leczenia

Widok zębów w zwarciu po leczeniu od frontu
Widok zębów w zwarciu po leczeniu od frontu

Widok zębów w zwarciu - strona lewa po leczeniu
Widok zębów w zwarciu – strona lewa po leczeniu

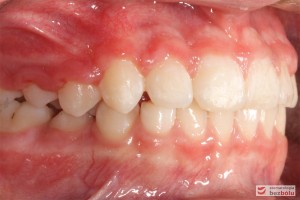
Widok zębów w zwarciu po stronie lewej po leczeniu
Widok zębów w zwarciu po stronie lewej po leczeniu

Uśmiech pacjenta po leczeniu
Uśmiech pacjenta po leczeniu

Placówka medyczna NZOZ Stomatologia Bez Bólu

PODZIEL SIĘ:

Kontakt