Przedprotetyczne leczenie ortodontyczne – galeria

27 października, 2014

Przedprotetyczne leczenie ortodontyczne

Młoda i urodziwa pacjentka (28 lat) zgłosiła się w celu korekcji wystającej i zrotowanej „jedynki” prawej górnej. Przeprowadzona diagnostyka wykazała: nieregularną linię dziąsła, proporcje zębów ~85%,spłaszczony łuk górny po stronie prawej z powodu zgryzu krzyżowego, ząb 11 poza łukiem w mezjorotacji, zaburzone proporcje siekaczy bocznych w stosunku do centralnych, starcie patologiczne na kle górnym po stronie prawej, rozbieżne osie długie w obrębie siekaczy i nieregularną linię dziąsła w obrębie stłoczonych siekaczy.
Strona prawa: I klasa kłowa, I klasa Angle’a – zgryz krzyżowy, częściowo boczny, zęby sektora bocznego żuchwy przechylone dojęzykowo.
Strona lewa: I klasa kłowa i I klasa Angle’a.
Zwężenie szczęki – brak „piątki” po stronie prawej; mezjalizacja sektora bocznego na skutek stłoczeń trzeciorzędowych.
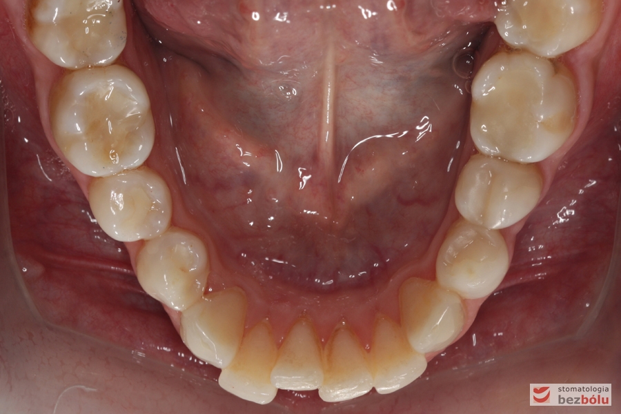
W żuchwie widoczne stłoczenia w rejonie siekaczy i ujemny tork na zębach trzonowych po stronie lewej.

 

Diagnostyka – nieregularna linia dziąsła, proporcje zębów ~85%
Diagnostyka – nieregularna linia dziąsła, proporcje zębów ~85%

Zaburzone proporcje siekaczy bocznych w stosunku do centralnych, starcie patologiczne na kle górnym po stronie prawej
Zaburzone proporcje siekaczy bocznych w stosunku do centralnych, starcie patologiczne na kle górnym po stronie prawej

Rozbieżne osie długie w obrębie siekaczy
Rozbieżne osie długie w obrębie siekaczy

Nieregularna linia dziąsła w obrębie stłoczonych siekaczy
Nieregularna linia dziąsła w obrębie stłoczonych siekaczy

I klasa kłowa i Angle'a - zgryz krzyżowy częściowo boczny, zęby sektora bocznego żuchwy przechylone dojęzykowo
I klasa kłowa i Angle’a – zgryz krzyżowy częściowo boczny, zęby sektora bocznego żuchwy przechylone dojęzykowo

I klasa kłowa i I klasa Angle'a
I klasa kłowa i I klasa Angle’a

Zwężenie szczęki - brak "piątki" po stronie prawej, mezjalizacja sektora bocznego na skutek stłoczeń trzeciorzędowych
Zwężenie szczęki – brak „piątki” po stronie prawej, mezjalizacja sektora bocznego na skutek stłoczeń trzeciorzędowych

Żuchwa - stłoczenia w rejonie siekaczy, ujemny tork na zębach trzonowych po stronie lewej
Żuchwa – stłoczenia w rejonie siekaczy, ujemny tork na zębach trzonowych po stronie lewej

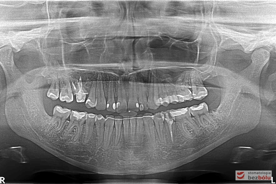
Kontrola radiologiczna - OPG
Kontrola radiologiczna – OPG

Analiza profilu twarzy wg Ricketts'a
Analiza profilu twarzy wg Ricketts’a

Analiza profilu twarzy wg Ricketts'a, prawidłowa pozycja szczęki i dotylna pozycja żuchwy względem czaszki, siekacz zbyt wychylony
Analiza profilu twarzy wg Ricketts’a, prawidłowa pozycja szczęki i dotylna pozycja żuchwy względem czaszki, siekacz zbyt wychylony

Wyznaczanie pola biometrycznego
Wyznaczanie pola biometrycznego

Ekspansja szczęki za pomocą ekspandera
Ekspansja szczęki za pomocą ekspandera

Ocena brzegów siecznych w uśmiechu względem wargi dolnej
Ocena brzegów siecznych w uśmiechu względem wargi dolnej

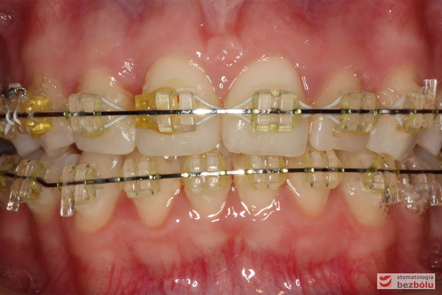
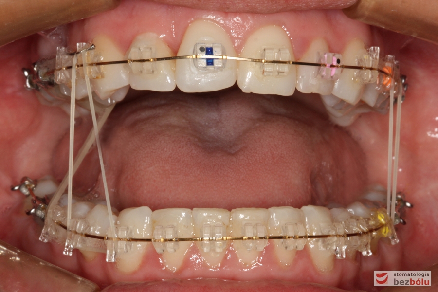
Cienkołukowy aparat estetyczny
Cienkołukowy aparat estetyczny

Cienkołukowy aparat estetyczny - zastosowanie elastycznych wyciągów wewnątrzustnych
Cienkołukowy aparat estetyczny – zastosowanie elastycznych wyciągów wewnątrzustnych

Stan po zdjęciu aparatu cienkołukowego
Stan po zdjęciu aparatu cienkołukowego

Retencja stała klejona od kła do kła
Retencja stała klejona od kła do kła

Nadmiar miejsca po brakującej "piątce" po stronie prawej wykorzystany do rekonstrukcji "szóstki", utrzymana mezjorotacja "siódemki" zamykającej luki
Nadmiar miejsca po brakującej „piątce” po stronie prawej wykorzystany do rekonstrukcji „szóstki”, utrzymana mezjorotacja „siódemki” zamykającej luki

Wyznaczanie zakresu redukcji dziąsła zrogowaciałego
Wyznaczanie zakresu redukcji dziąsła zrogowaciałego

Pantomogram - kontrola radiologiczna zaraz po zdjęciu aparatu cienkołukowego
Pantomogram – kontrola radiologiczna zaraz po zdjęciu aparatu cienkołukowego

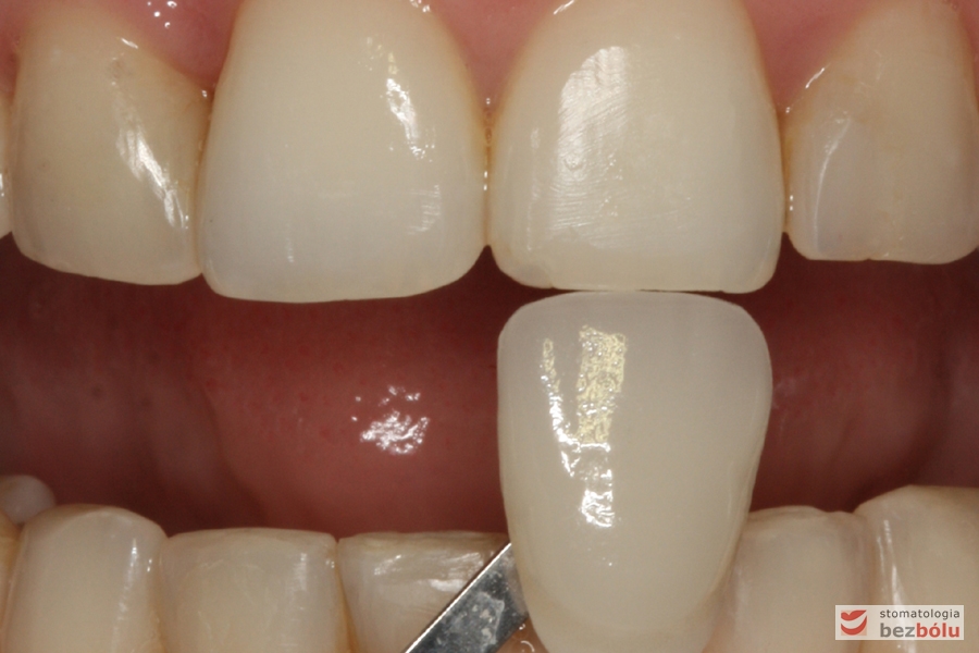
Ustalenie koloru względem siekaczy centralnych
Ustalenie koloru względem siekaczy centralnych

Wizualizacja docelowej odbudowy protetycznej - wax-up
Wizualizacja docelowej odbudowy protetycznej – wax-up

Wizualizacja docelowej odbudowy protetycznej - mock-up
Wizualizacja docelowej odbudowy protetycznej – mock-up

Ostateczne całoceramiczne licówki wykonane w systemie e-max
Ostateczne całoceramiczne licówki wykonane w systemie e-max

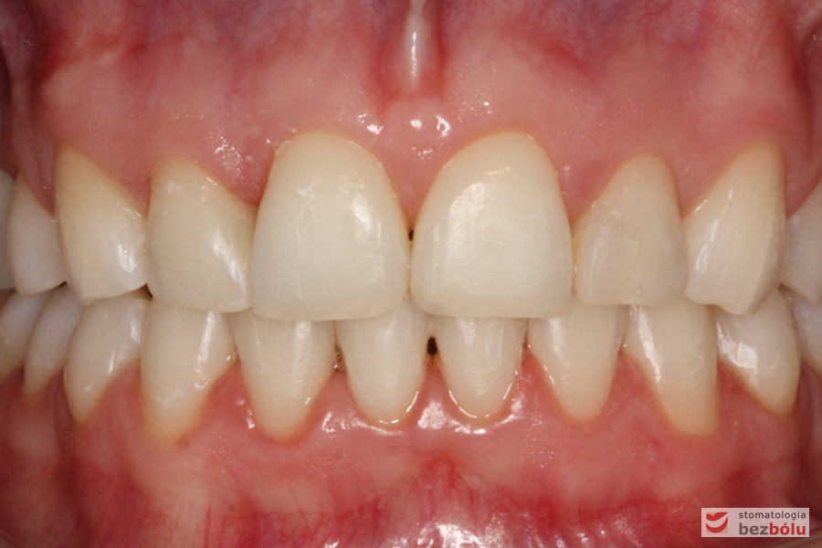
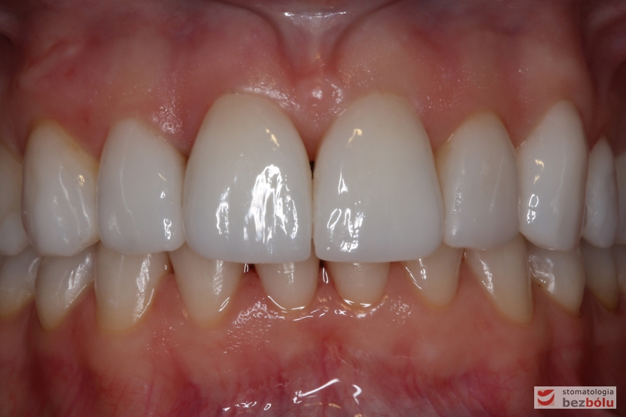
Analiza uśmiechu po zacementowaniu pracy ostatecznej - en face
Analiza uśmiechu po zacementowaniu pracy ostatecznej – en face

Ocena ulokowania rekonstrukcji protetycznej w płaszczyźnie przednio-tylnej
Ocena ulokowania rekonstrukcji protetycznej w płaszczyźnie przednio-tylnej

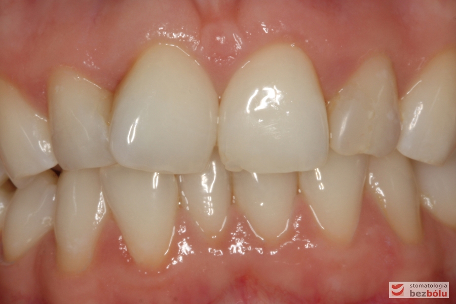
Ostateczne licówki caoceramiczne osadzone na zębach w odcinku przednim
Ostateczne licówki caoceramiczne osadzone na zębach w odcinku przednim

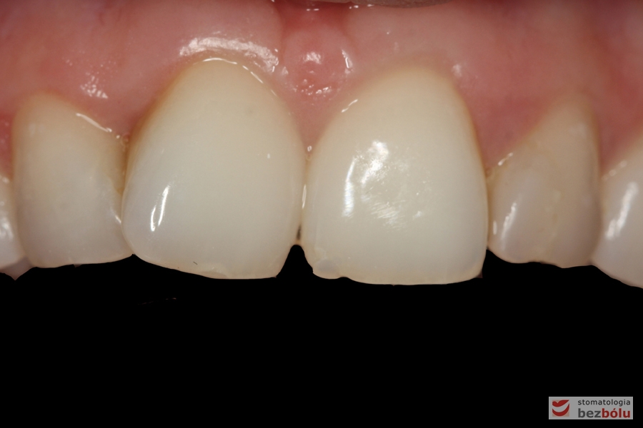
Zmiana relacji długości do szerokości - zbliżenie do normy idealnych proporcji =80%
Zmiana relacji długości do szerokości – zbliżenie do normy idealnych proporcji =80%

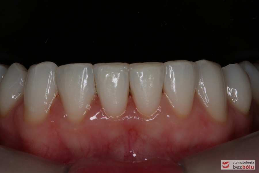
Uszeregowane siekacze dolne - tork dodatni
Uszeregowane siekacze dolne – tork dodatni

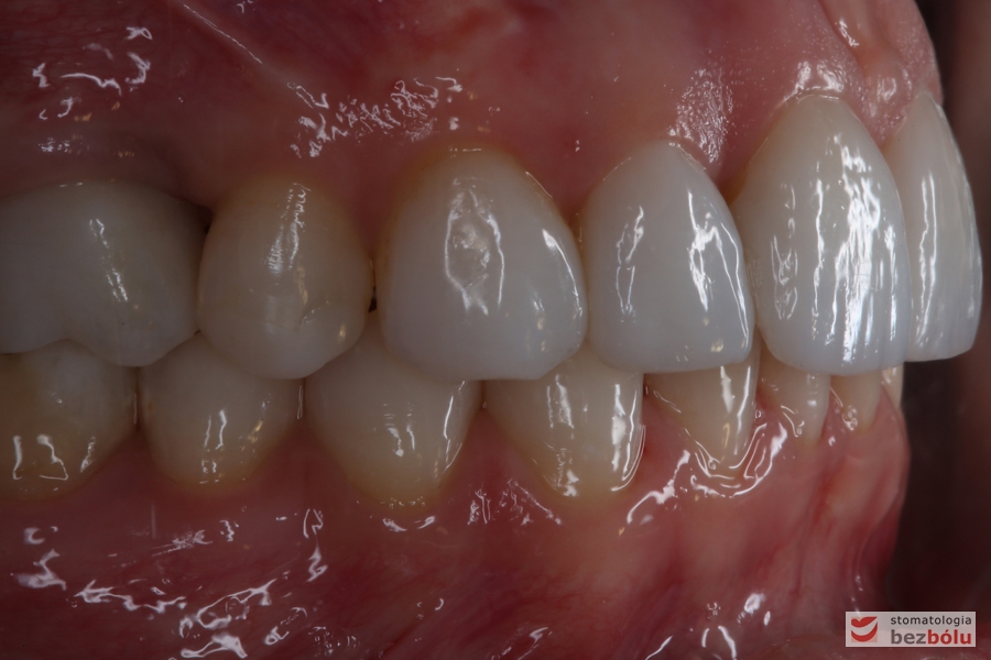
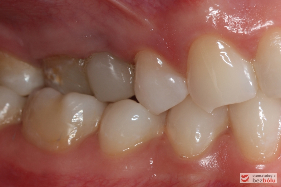
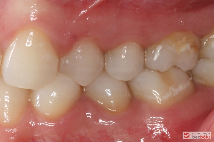
Prawa strona w zgryzie - korona prowizoryczna na pierwszym trzonowcu
Prawa strona w zgryzie – korona prowizoryczna na pierwszym trzonowcu

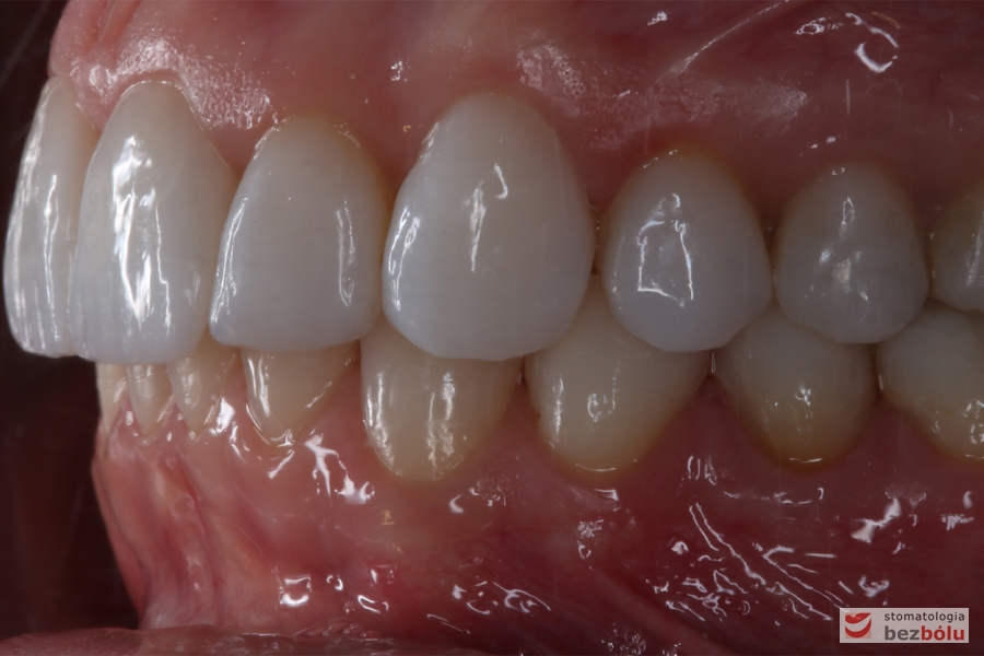
Lewa strona w zgryzie - zachowane pierwsze klasy kłowa i Angle'a
Lewa strona w zgryzie – zachowane pierwsze klasy kłowa i Angle’a

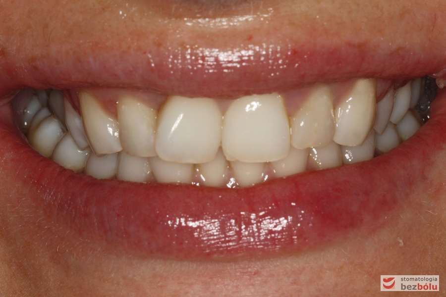
Pozytywna przemiana uśmiechu - obraz kliniczny przed terapią stomatologiczną
Pozytywna przemiana uśmiechu – obraz kliniczny przed terapią stomatologiczną

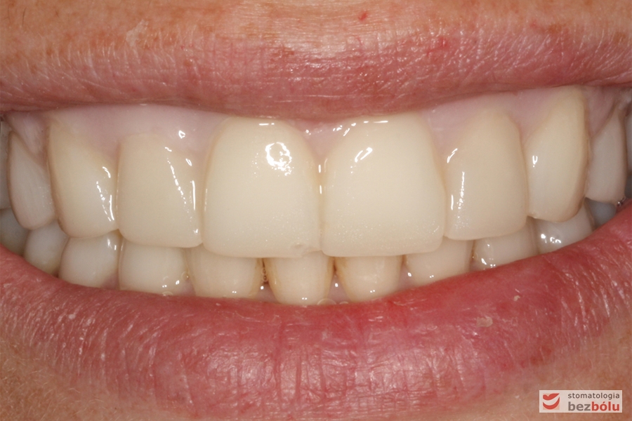
Pozytywna przemiana uśmiechu - obraz kliniczny po terapii stomatologicznej
Pozytywna przemiana uśmiechu – obraz kliniczny po terapii stomatologicznej

 

CZĘŚĆ MEDYCZNA
lekarz prowadzący Magdalena Żywicka
technik dentystyczny Piotr Górski
placówka medyczna Stomatologia Bez Bólu

PODZIEL SIĘ:

Kontakt