Dwuetapowa poprawa estetyki uśmiechu – galeria

7 marca, 2016

Dwuetapowa poprawa estetyki uśmiechu – galeria

Młoda pacjentka bardzo zaabsorbowana zawodowo zgłosiła się do nas celem korekcji wszystkich defektów estetycznych uzębienia. Główną jej skargą była dwójka górna lewa, pokryta żółtą koroną metalowo-ceramiczną. Dotylna pozycja żuchwy oraz rozbudowana szczęka wskazują na wadę ortodontyczną. Piątka dolna lewa w zgryzie przewieszonym, ustanawia niewłaściwe zaguzkowanie wzajemne zębów. Z uwagi na ograniczenia czasowe pacjentki, leczenie zostało podzielone na dwa etapy.

Pełny uśmiech pacjentki - niespójny kolor dwójki z pozostałymi zębami
Pełny uśmiech pacjentki – niespójny kolor dwójki z pozostałymi zębami

Zęby w zwarciu - widok frontalny, kieł prawy nie osiąga płaszczyzny okluzyjnej, nieregularna linia dziąsłowa
Zęby w zwarciu – widok frontalny, kieł prawy nie osiąga płaszczyzny okluzyjnej, nieregularna linia dziąsłowa

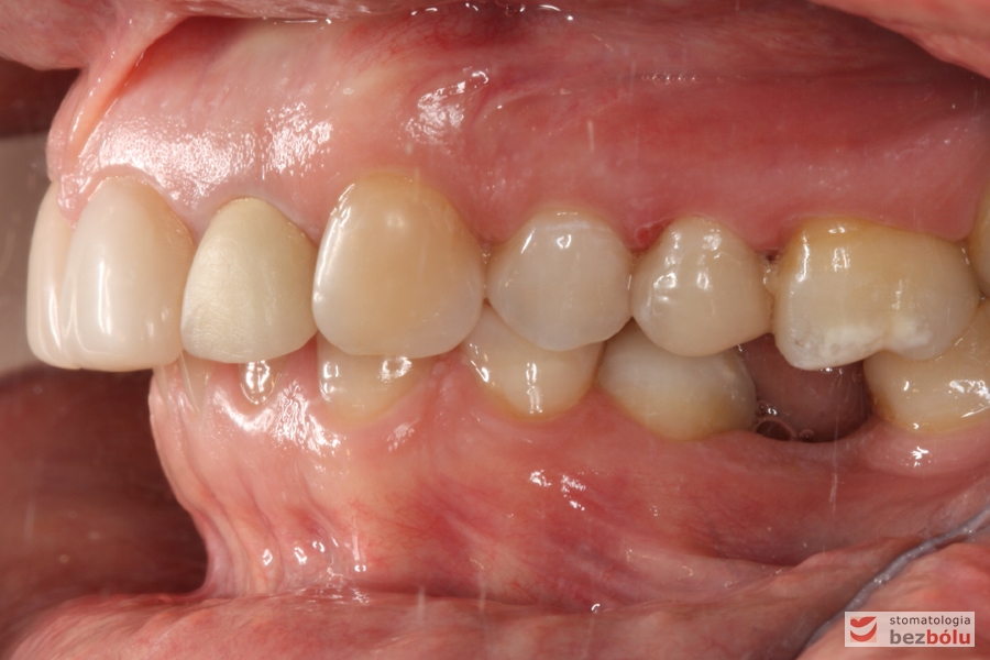
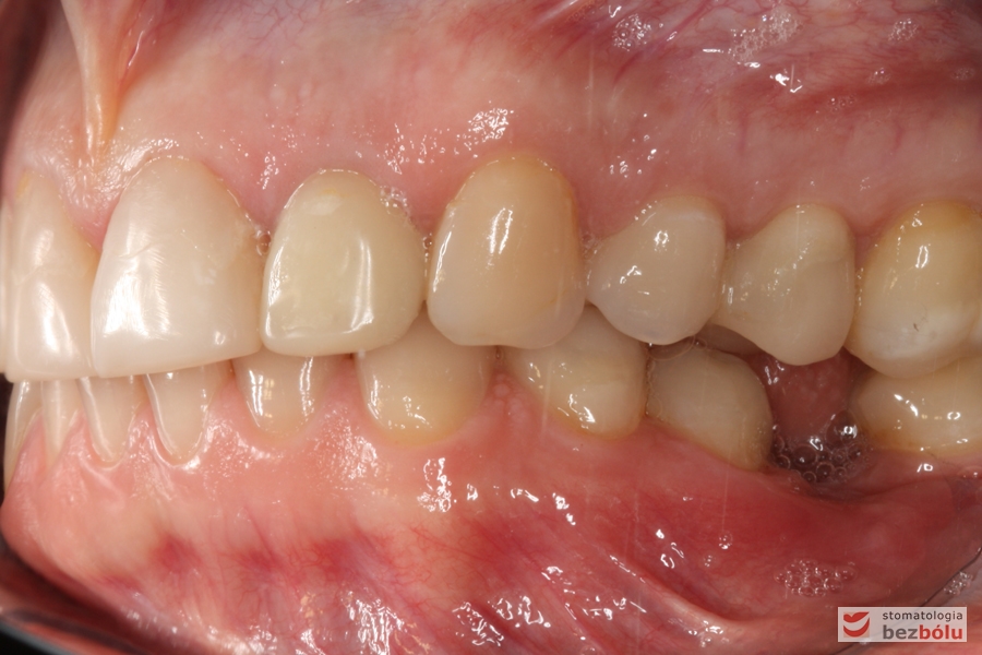
Zęby w zgryzie - strona prawa, II klasa kłowa i Angle'a, mezjalna inklinacja kła
Zęby w zgryzie – strona prawa, II klasa kłowa i Angle’a, mezjalna inklinacja kła

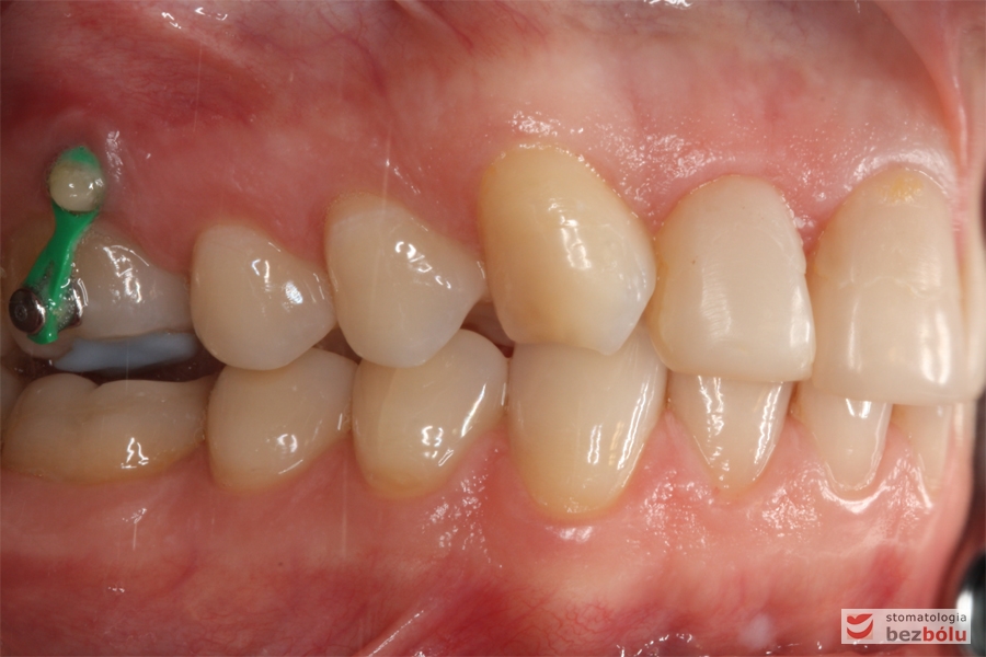
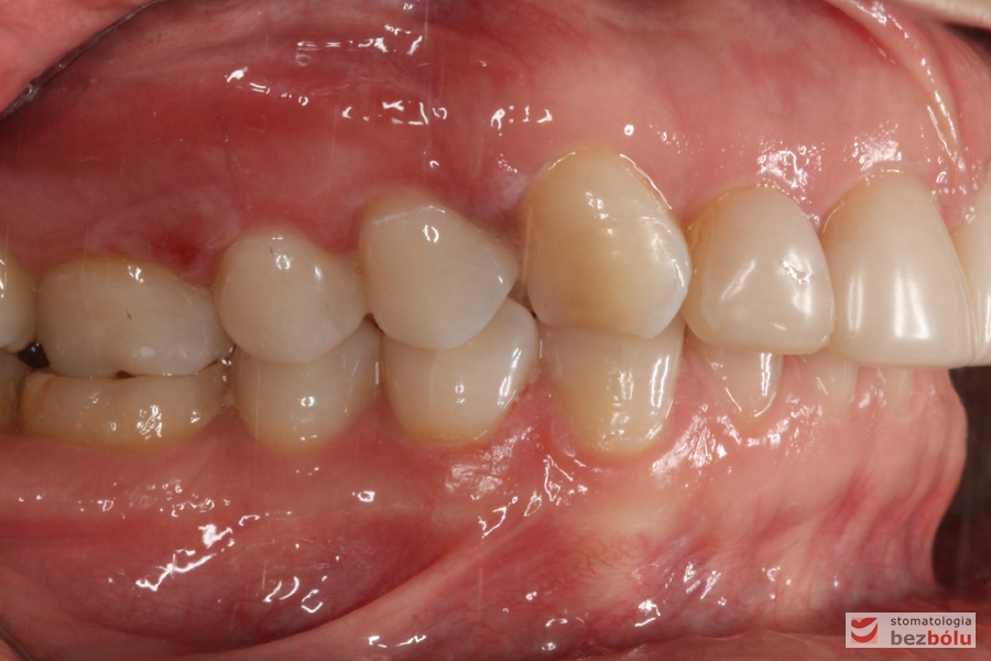
Zęby w zwarciu - strona lewa, brak szóstki dolnej, szóstka górna przekracza płaszczyznę okluzyjną, II klasa kłowa
Zęby w zwarciu – strona lewa, brak szóstki dolnej, szóstka górna przekracza płaszczyznę okluzyjną, II klasa kłowa

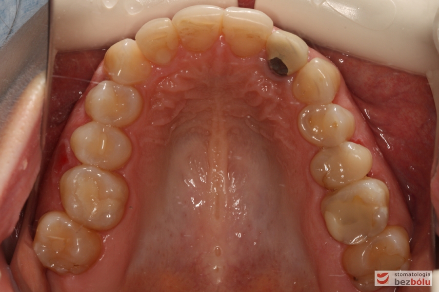
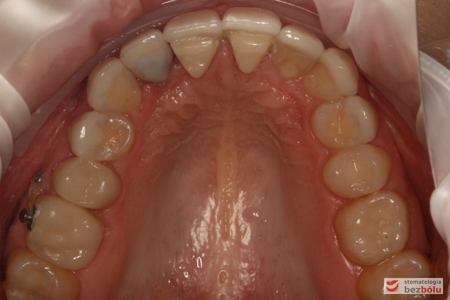
Szczęka - widok okluzyjny, nieregularny kształt łuku zębowego, metal na dwójce górnej
Szczęka – widok okluzyjny, nieregularny kształt łuku zębowego, metal na dwójce górnej

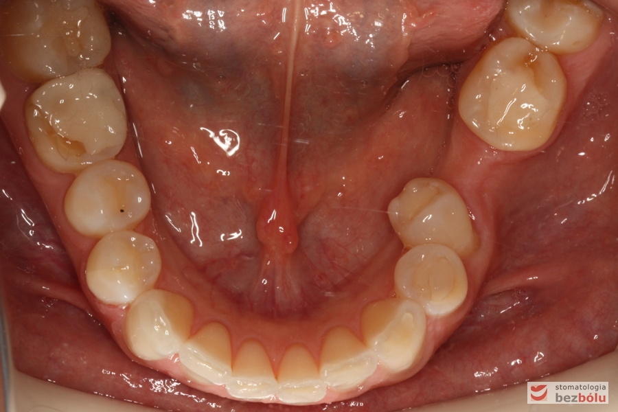
Żuchwa - widok okluzyjny - brak lewej szóstki, przechylona piątka
Żuchwa – widok okluzyjny – brak lewej szóstki, przechylona piątka

Diagnostyka pantomograficzna - brak pierwszego trzonowca lewego w żuchwie
Diagnostyka pantomograficzna – brak pierwszego trzonowca lewego w żuchwie

Radiowizjografia - widoczna zmiana okołowierzchołkowa szóstki po stronie prawej w żuchwie
Radiowizjografia – widoczna zmiana okołowierzchołkowa szóstki po stronie prawej w żuchwie

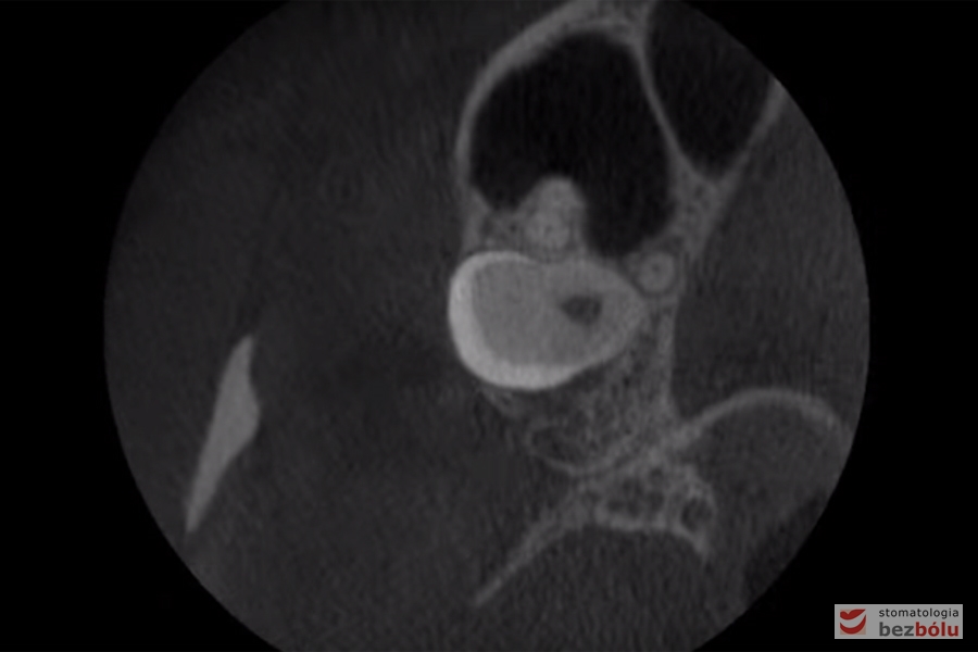
Diagnostyka tomograficzna - w celu określenia położenia korzeni dla mikrośruby ortodontycznej
Diagnostyka tomograficzna – w celu określenia położenia korzeni dla mikrośruby ortodontycznej

Leczenie endodontyczne - ocena szczelności wypełnienia kanałów szóstki po prawej stronie w żuchwie
Leczenie endodontyczne – ocena szczelności wypełnienia kanałów szóstki po prawej stronie w żuchwie

Szczęka - widok okluzyjny, dowargowe i doszczytowe przemieszczenie 6 prawej za pomocą mikrośruby ortodontycznej
Szczęka – widok okluzyjny, dowargowe i doszczytowe przemieszczenie 6 prawej za pomocą mikrośruby ortodontycznej

Mikrośruba ortodontyczna - 5 dolna lewa aktywowana do miniimplantu w celu dowargowego wychylenia
Mikrośruba ortodontyczna – 5 dolna lewa aktywowana do miniimplantu w celu dowargowego wychylenia

Zęby w dyskluzji - widok z boku, orotodontyczna intruzja zęba szóstego
Zęby w dyskluzji – widok z boku, orotodontyczna intruzja zęba szóstego

Zęby w zgryzie - strona lewa, przechylenie dojęzykowe piątki w żuchwie
Zęby w zgryzie – strona lewa, przechylenie dojęzykowe piątki w żuchwie

Dobór koloru - dostosowanie dla licówek do zębów w obu łukach
Dobór koloru – dostosowanie dla licówek do zębów w obu łukach

Dobór koloru - dostosowanie dla licówek do zębów w obu łukach
Dobór koloru – dostosowanie dla licówek do zębów w obu łukach

Szczęka - widok okluzyjny, "Bite planes" na siekaczach w celu uwolnienia zgryzu dla wprowadzenia piątki dolnej do łuku
Szczęka – widok okluzyjny, „Bite planes” na siekaczach w celu uwolnienia zgryzu dla wprowadzenia piątki dolnej do łuku

Żuchwa - widok okluzyjny, wprowadzana piątka do łuku za pomocą mikrośruby
Żuchwa – widok okluzyjny, wprowadzana piątka do łuku za pomocą mikrośruby

Stan wyjściowy - dwójka górna lewa, pokryta żółtą koroną metalowo-ceramiczną
Stan wyjściowy – dwójka górna lewa, pokryta żółtą koroną metalowo-ceramiczną

Radosny uśmiech pacjentki po zakończonej terapii
Radosny uśmiech pacjentki po zakończonej terapii

lekarz prowadzący dr Magdalena Żywicka MSc
laboratorium protetyczne PRO-DENT
placówka medyczna NZOZ Stomatologia Bez Bólu

PODZIEL SIĘ:

Kontakt