Wieloetapowa odbudowa protetyczna zębów – część I szczęka – galeria

11 marca, 2016

Wieloetapowa odbudowa protetyczna zębów – część I szczęka – galeria

Pani w średnim wieku ze świadomością deficytów estetycznych uzębienia, zgłosiła się celem uporządkowania jamy ustnej. Swoje oczekiwania opierała na doświadczeniu lekarza prowadzącego. Co unikalne w obecnych czasach nie naciskała na tempo leczenia i chciała metodycznie doprowadzić swoje uzębienie do optymalnego stanu. Główną skargą były wydłużone siekacze centralne, stłoczenia, dyskoloracje i cechy choroby przyzębia.

Usta w średnim uśmiechu - trójkątne przestrzenie między zębami w szczęce
Usta w średnim uśmiechu – trójkątne przestrzenie między zębami w szczęce

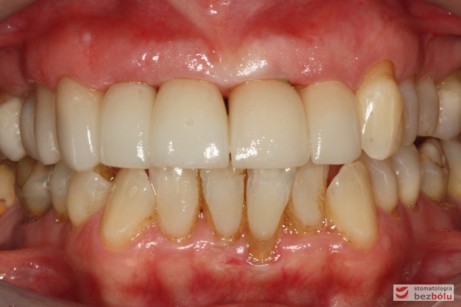
Zęby w zwarciu - widok frontalny, zgryz krzyżowy w pozycji kłów, paradontalny status siekaczy
Zęby w zwarciu – widok frontalny, zgryz krzyżowy w pozycji kłów, paradontalny status siekaczy

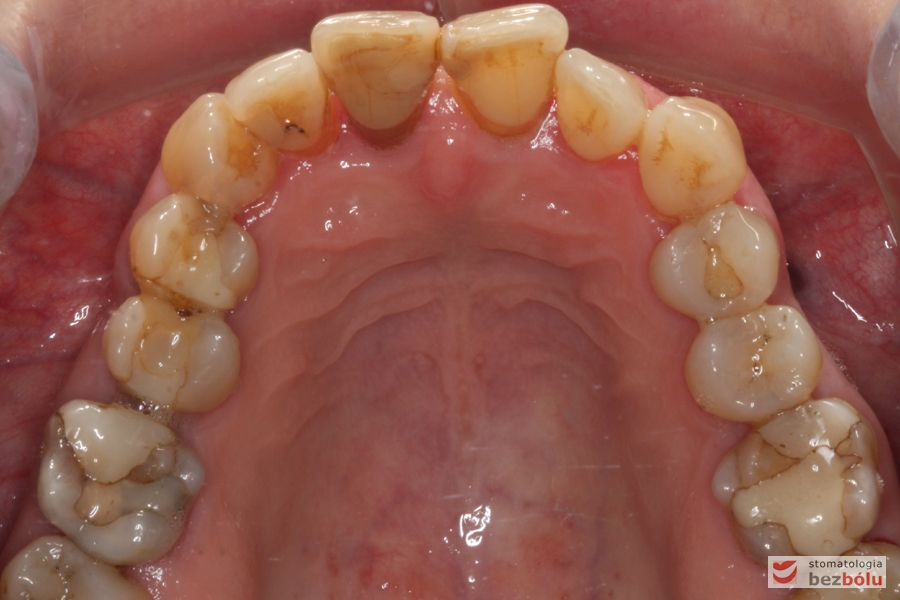
Szczęka - widok powierzchni okluzyjnej, stłoczenia i rotacje w odcinku przednim, zużyte wypełnienia w strefach bocznych
Szczęka – widok powierzchni okluzyjnej, stłoczenia i rotacje w odcinku przednim, zużyte wypełnienia w strefach bocznych

Kontrola radiologiczna - liczne zęby z niekompletną endodoncją, ubytek kości w szczęce
Kontrola radiologiczna – liczne zęby z niekompletną endodoncją, ubytek kości w szczęce

Radiowizjografia - jedynka górna prawa z niedopełnionym kanałem korzeniowym
Radiowizjografia – jedynka górna prawa z niedopełnionym kanałem korzeniowym

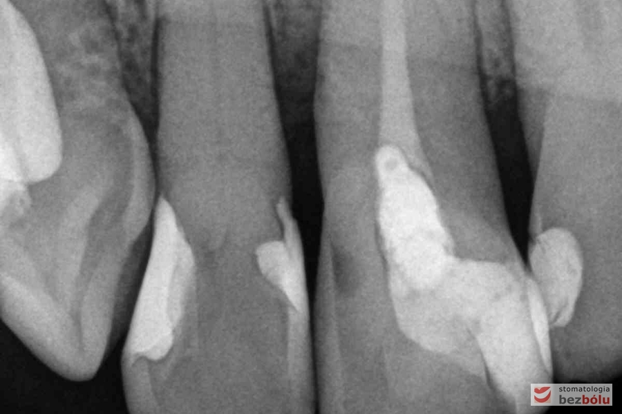
Radiowizjografia - szóstka, piątka, czwórka prawa w szczęce, wszystkie kanały niedopełnione
Radiowizjografia – szóstka, piątka, czwórka prawa w szczęce, wszystkie kanały niedopełnione

Radiowizjografia - szóstka, siódemka dolna prawa, wszystkie kanały niedopełnione
Radiowizjografia – szóstka, siódemka dolna prawa, wszystkie kanały niedopełnione

Radiowizjografia - szóstka, siódemka dolna prawa, wszystkie kanały niedopełnione
Radiowizjografia – szóstka, siódemka dolna prawa, wszystkie kanały niedopełnione

Ocena efektów leczenia kanałowego - siódemka górna prawa, kontrola wypełnienia kanałów
Ocena efektów leczenia kanałowego – siódemka górna prawa, kontrola wypełnienia kanałów

Ocena efektów leczenia kanałowego - szóstka i siódemka górna prawa, kontrola wypełnienia kanałów
Ocena efektów leczenia kanałowego – szóstka i siódemka górna prawa, kontrola wypełnienia kanałów

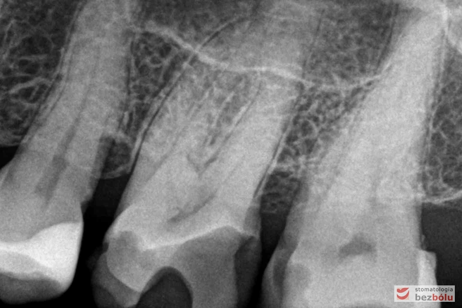
Radiowizjografia - ocena bliskości komory zęba w stosunku do preparacji
Radiowizjografia – ocena bliskości komory zęba w stosunku do preparacji

Ocena efektów leczenia kanałowego - piątka górna prawa, śródendodontyczna ocena wypełnienia szczytu
Ocena efektów leczenia kanałowego – piątka górna prawa, śródendodontyczna ocena wypełnienia szczytu

Ocena efektów leczenia kanałowego - czwórka górna prawa, kontrola wypełnienia kanałów
Ocena efektów leczenia kanałowego – czwórka górna prawa, kontrola wypełnienia kanałów

Ocena efektów leczenia kanałowego - szóstka dolna prawa, liczne kanały boczne przyczyną zmian zapalnych
Ocena efektów leczenia kanałowego – szóstka dolna prawa, liczne kanały boczne przyczyną zmian zapalnych

Dobór koloru dla nowych zębów - dobór koloru w odniesieniu do górnego kła po lewej stronie
Dobór koloru dla nowych zębów – dobór koloru w odniesieniu do górnego kła po lewej stronie

Dobór koloru dla nowych zębów - dobór koloru w odniesieniu do górnego kła po lewej stronie
Dobór koloru dla nowych zębów – dobór koloru w odniesieniu do górnego kła po lewej stronie

Wizualizacja odbudowy protetycznej - pierwsza przymiarka mock-up w ustach pacjentki
Wizualizacja odbudowy protetycznej – pierwsza przymiarka mock-up w ustach pacjentki

Skorygowany mock-up w uśmiechu - ocena ekspozycji siekaczy
Skorygowany mock-up w uśmiechu – ocena ekspozycji siekaczy

Mock-up w średnim uśmiechu - ocena stosunku brzegów siecznych do wargi dolnej
Mock-up w średnim uśmiechu – ocena stosunku brzegów siecznych do wargi dolnej

Mock-up w ustach - zęby w zwarciu, kompozytowa wizualizacja przyszłej rekonstrukcji w łuku górnym
Mock-up w ustach – zęby w zwarciu, kompozytowa wizualizacja przyszłej rekonstrukcji w łuku górnym

Powierzchnia okluzyjna w szczęce - ocena mock-up na zębach przednich, wypełnienia zębów bocznych
Powierzchnia okluzyjna w szczęce – ocena mock-up na zębach przednich, wypełnienia zębów bocznych

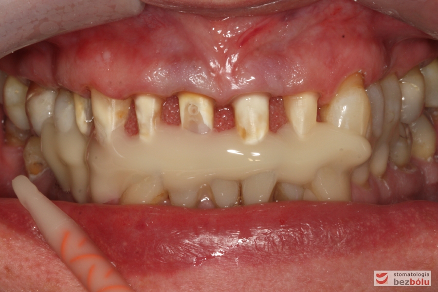
Oba łuki w zgryzie - widok frontalny, opracowane filary protetyczne na zębach własnych w szczęce
Oba łuki w zgryzie – widok frontalny, opracowane filary protetyczne na zębach własnych w szczęce

Rejestracja zgryzu - przy pomocy masy kompozytowej
Rejestracja zgryzu – przy pomocy masy kompozytowej

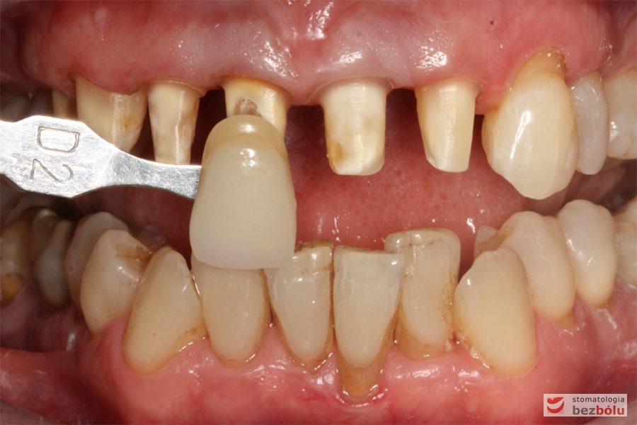
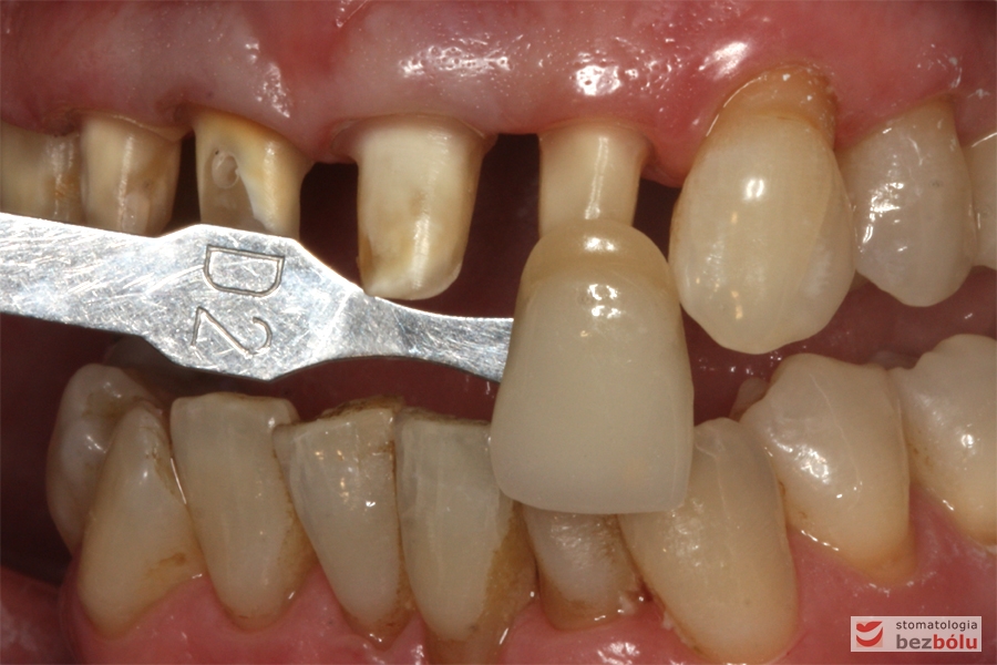
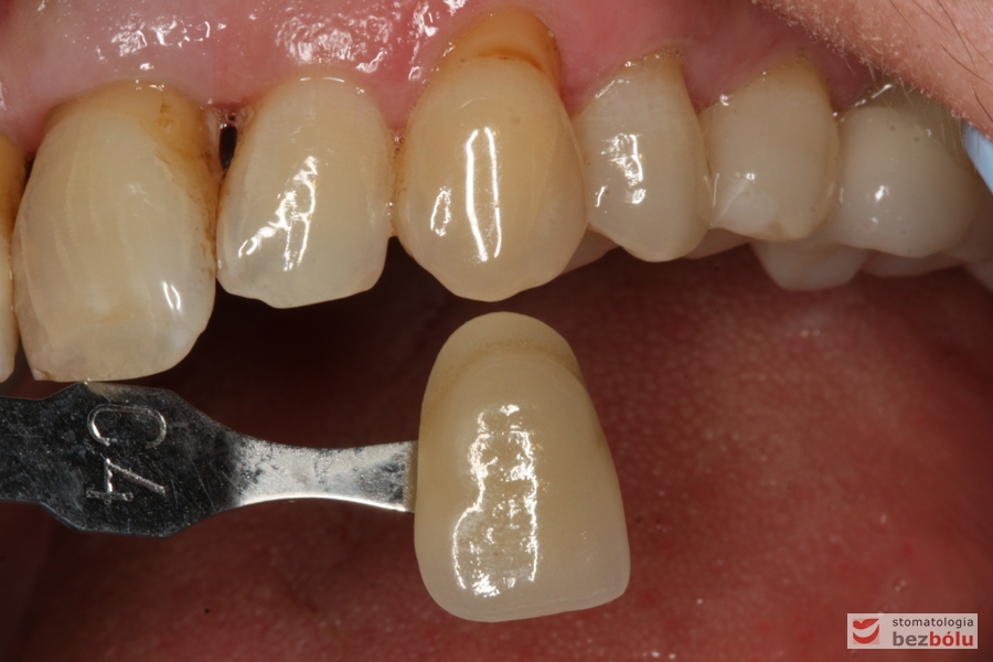
Dobór koloru ostatecznej odbudowy protetycznej - dopasowanie odcienia do barwy kła i antagonistów
Dobór koloru ostatecznej odbudowy protetycznej – dopasowanie odcienia do barwy kła i antagonistów

Dobór koloru ostatecznej odbudowy protetycznej - dopasowanie odcienia do barwy kła i antagonistów
Dobór koloru ostatecznej odbudowy protetycznej – dopasowanie odcienia do barwy kła i antagonistów

Produkcja mock-up - zastosowanie klucza silikonowego celem wykonania prowizorium
Produkcja mock-up – zastosowanie klucza silikonowego celem wykonania prowizorium

Produkcja mock-up - zastosowanie klucza silikonowego celem wykonania prowizorium
Produkcja mock-up – zastosowanie klucza silikonowego celem wykonania prowizorium

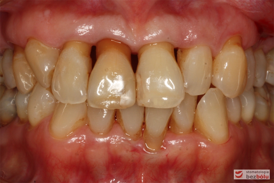
Oba łuki w zgryzie - przymiarka ostatecznej odbudowy protetycznej w jamie ustnej
Oba łuki w zgryzie – przymiarka ostatecznej odbudowy protetycznej w jamie ustnej

Usta w spoczynku - ocena ekspozycji siekaczy
Usta w spoczynku – ocena ekspozycji siekaczy

Usta w uśmiechu pełnym - ocena stosunku brzegów siecznych do wargi dolnej
Usta w uśmiechu pełnym – ocena stosunku brzegów siecznych do wargi dolnej

Przymiarka pracy ostatecznej w szczęce - ocena w ruchu protruzyjnym
Przymiarka pracy ostatecznej w szczęce – ocena w ruchu protruzyjnym

Przymiarka pracy ostatecznej w szczęce - ocena w ruchu protruzyjnym
Przymiarka pracy ostatecznej w szczęce – ocena w ruchu protruzyjnym

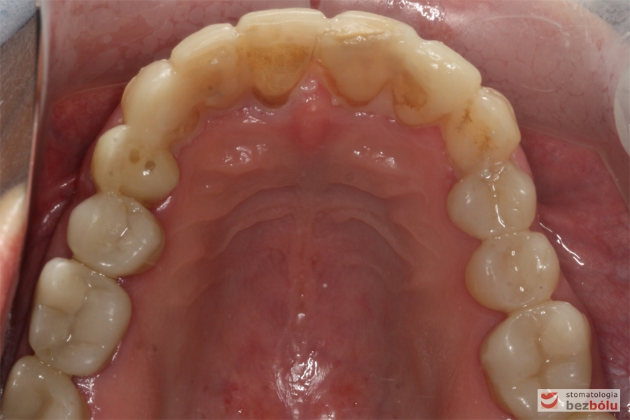
Powierzchnia okluzyjna łuku górnego - sześć filarów protetycznych tuż przed zacementowaniem koron
Powierzchnia okluzyjna łuku górnego – sześć filarów protetycznych tuż przed zacementowaniem koron

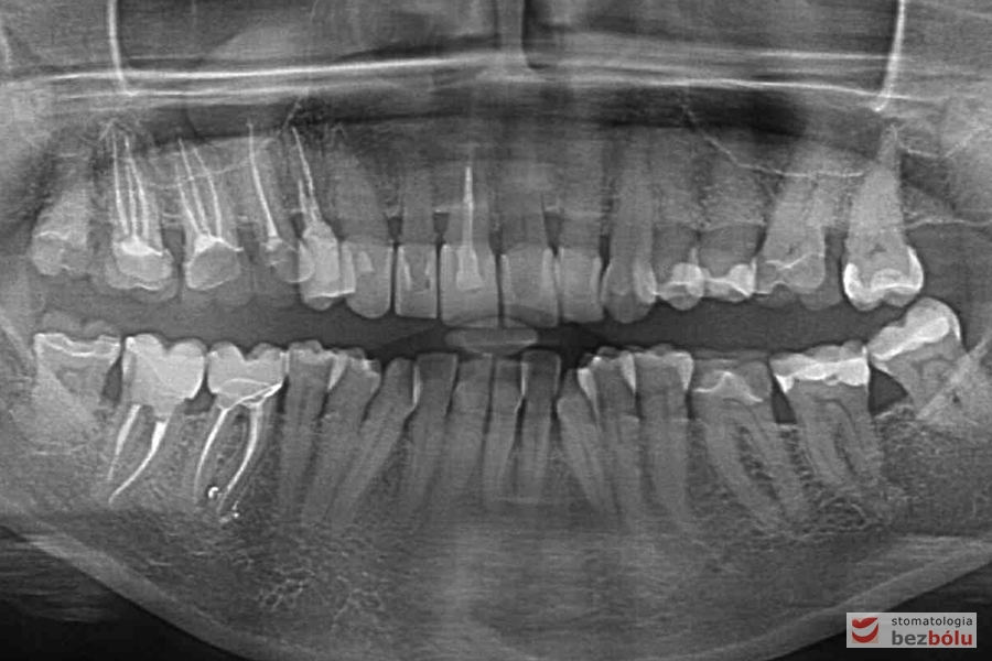
Kontrola radiologiczna - zdjęcie pantomograficzne po zacementowaniu odbudowy protetycznej
Kontrola radiologiczna – zdjęcie pantomograficzne po zacementowaniu odbudowy protetycznej

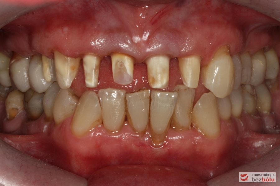
Stan wyjściowy
Stan wyjściowy

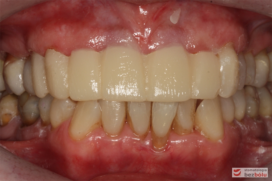
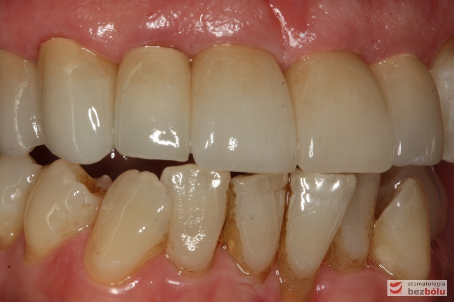
Efekt końcowy leczenia - nowe zęby w uśmiechu
Efekt końcowy leczenia – nowe zęby w uśmiechu

PODZIEL SIĘ:

Kontakt