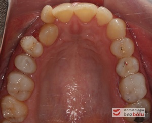
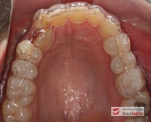
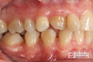
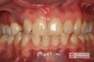
Efekty leczenia pozycjonerem i przykładowe zastosowanie
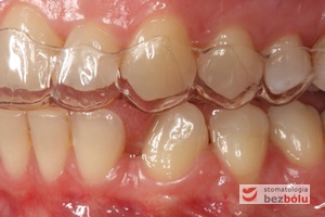
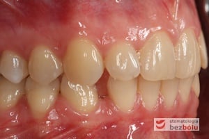
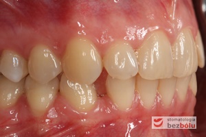
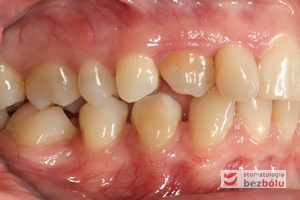
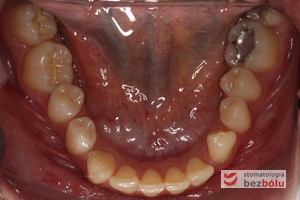
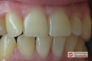
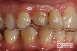
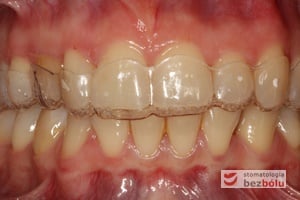
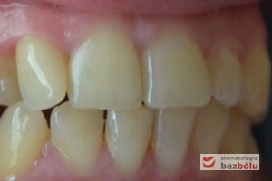
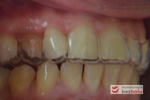
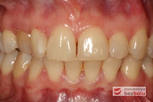
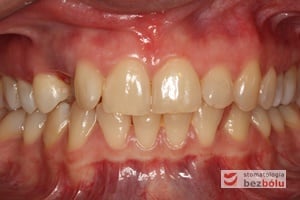
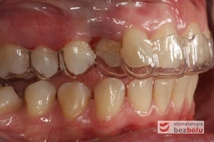
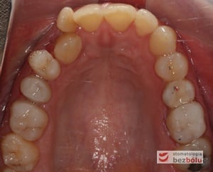
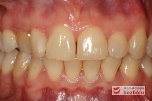
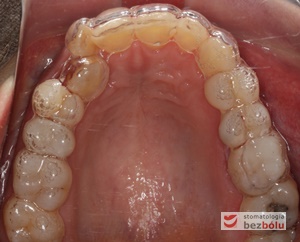
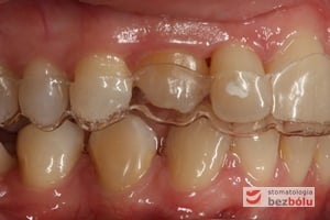
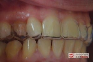
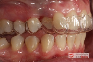
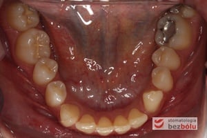
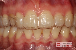
Celem zgłoszenia się 32-letniej pacjentki do naszego gabinetu była zniszczona próchnicowo przetrwała trójka mleczna, która w sposób rażący zakłócała estetykę uśmiechu. Trójka stała, po stronie prawej, ustawiona była dopodniebiennie z powodu zajęcia dla niej miejsca przez trójkę mleczną. Przez lata trójka mleczna uległa znacznej destrukcji. Pomysłem pacjentki na rozwiązanie jej problemu estetycznego było usunięcie zarówno trójki mlecznej jak i trójki stałej i założenie w to miejsce implantu. Lekarz implantolog Magdalena Żywicka przekonała Panią do zachowania trójki stałej i wprowadzenie jej na miejsce w łuku zębowym. Niedostateczna ilość miejsca dla kła (trójki) została wygospodarowana przez redukcję zębów przedtrzonowych i trzonowych w których zostały założone wypełnienia kompozytowe. Dystalizacja (przesuwanie do tyłu) zębów przedtrzonowych pozwoliło na uzyskanie dostatecznej ilości miejsca dla kła. Z uwagi na znaczną odległość dzielącą miejsce zamieszkania pacjentki od naszej kliniki i brak możliwości regularnych wizyt ortodontycznych niezbędnych przy leczeniu aparatem stałym została podjęta decyzja o zastosowaniu pozycjonerów do przesunięć zębów. Te ruchome wyjmowalne aparaty, w które została wyposażona pacjentka, dały możliwość osiągnięcia celu terapeutycznego jakim było wprowadzenie kła do łuku. Na zdjęciach pokazujemy niepełne efekty leczenia, ponieważ pacjentka w dalszym ciągu użytkuje trzecią serię pozycjonerów, aby ustawić kła w idealnej pozycji. Prezentowane poniżej efekty leczenia pacjentka osiągnęła w ciągu 5 miesięcy dzięki sumiennemu noszeniu płytek i dużej determinacji. Będąc z dala od kliniki przesyłała nam zdjęcia, które wykonywała samodzielnie. W naszej ocenie wystarczą 2 miesiące, aby idealnie spozycjonować kła.



















