Higiena jamy ustnej – czy jest ważna?
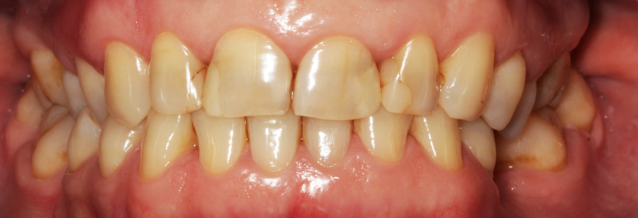
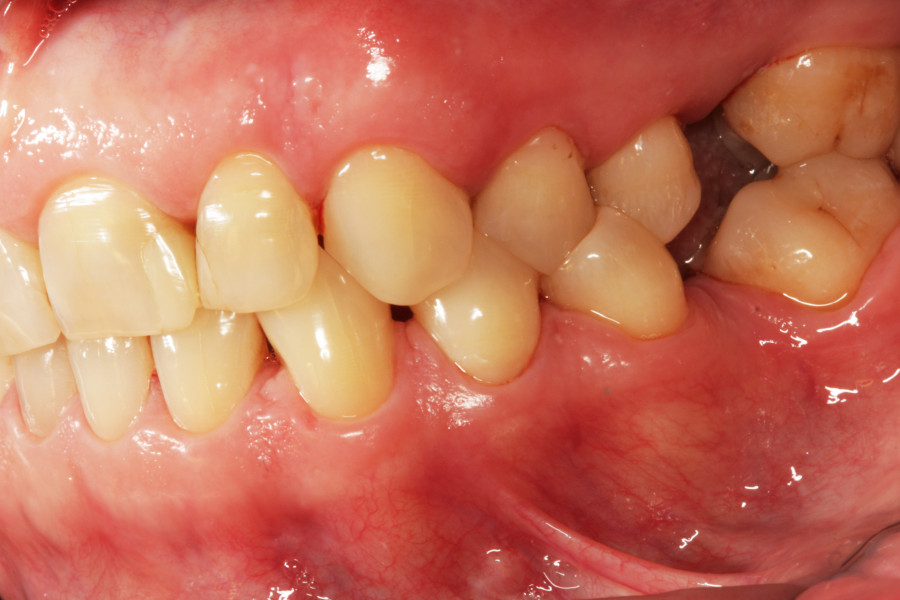
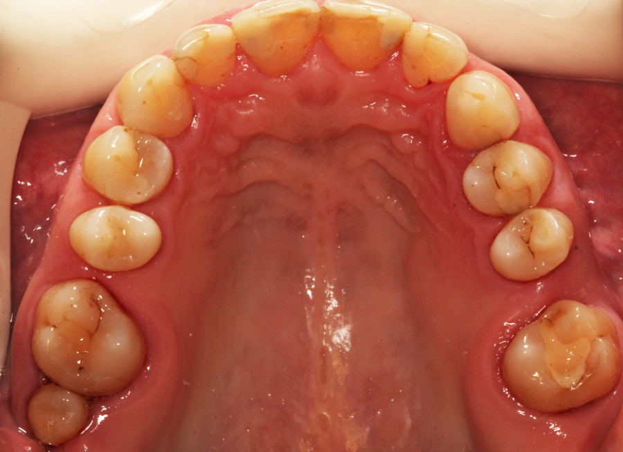
Do kliniki Stomatologia Bez Bólu zgłosiła się pacjentka, lat 61 z problemem nadwrażliwości zębów. Po przeprowadzonym wywiadzie stwierdzono spożywanie sporej ilości sezonowych owoców (truskawki, wiśnie, czereśnie, czarna porzeczka), nawet 3 razy dziennie. Następnie wykonano badanie wewnątrzustne. Stwierdzono obecność płytki nazębnej, ciemnego osadu oraz kamienia nazębnego na części trzonowców:

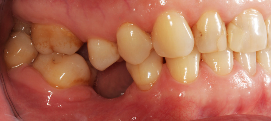
Wykonano higienizację jamy ustnej poprzez usunięcie kamienia nazębnego skalerem ultradżwiękowym, zdjęciem osadu i płytki nazębnej poprzez piaskowanie air flow plus oraz classic, a następnie wypolerowaniu gumką ze specjalistyczną pastą polerską:
Po wypłukaniu jamy ustnej przez pacjentkę rozcieńczonym eludril classic przystąpiono do fluoryzacji preparatem clinpro varnish. Odizolowano wałeczkami ligniny zęby od śliny aby zapewnić ich suchość, a następnie pędzelkiem nałożono preparat na wszystkie zęby:
|
|
Celem fluoryzacji jest zmniejszenie nadwrażliwości zębów oraz wzmocnienie ich przez odbudowę mikroubytków szkliwa.
Lekarz pokazała na modelu sposób szczotkowania i nitkowania. Pacjentce wniesiono niewielkie poprawki w sposobie szczotkowania (ruchy wymiatające). Zalecono stosowanie pasty elgydium anti-plaque i elgydium sensitive naprzemiennie oraz płyn do płukania eludril care zapobiegający powstawaniu płytki nazębnej. Ważne, aby pacjentka zakupiła nową szczoteczkę o miękkim włosiu, aby bakterie znajdujące się na używanej szczoteczce nie przeniosły się na oczyszczone zęby.
Jedzenie owoców jest ważnym elementem naszej diety, ale musimy pamiętać o codziennej higienie jamy ustnej i o kontrolach oraz profesjonalnej higienizacji w gabinecie stomatologicznym co 6 miesięcy.








