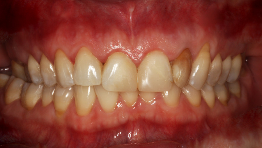
Do gabinetu stomatologicznego Stomatologia Bez Bólu zgłosiła się kobieta z prośbą poprawienia uśmiechu. – Najczęściej pacjenci zgłaszają się do mnie z prośbą o poprawę estetyki zębów w odcinku przednim, – mówi lek. stom. Ewa Ziemba. – Największym problemem pacjentki była zrotowana i przebarwiona dwójka.
Oczekiwania pacjentki były ściśle sprecyzowane: „Białe, równe zęby, w jak najkrótszym czasie”.
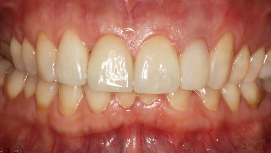
Po wykonaniu serii zdjęć wewnątrz- i zewnątrzustnych pacjentki, przystąpiłam do analizy twarzy i uśmiechu pacjentki. Zaproponowałam pacjentce rozwiązanie protetyczne, polegające na poprawie kształtu i koloru zębów. Po przedstawieniu całego procesu terapeutycznego, pacjentka zdecydowała się na wykonanie licówek oraz korony ceramicznej.


