Implanty zębowe korony i mosty pełnoceramiczne

10 stycznia, 2014

Implanty zębowe, licówka, korony i mosty pełnoceramiczne

Szykowna pięćdziesięciopięcioletnia pacjentka o regularnych rysach twarzy i nieprzemijającej urodzie, w typie ortofacjalnym i mezocefalicznym zgłosiła się celem uporządkowania problemów dentystycznych nagromadzonych przez lata.

 

Pacjentka lat 55 o bardzo regularnych rysach twarzy - nieliczne pojedyncze braki zębowe - zachowane zęby zniszczone próchnicą
Pacjentka lat 55 o bardzo regularnych rysach twarzy – nieliczne pojedyncze braki zębowe – zachowane zęby zniszczone próchnicą

Ocena profilu twarzy - w ocenie estetycznej górna i dolna warga mieszcząca się w granicach normy
Ocena profilu twarzy – w ocenie estetycznej górna i dolna warga mieszcząca się w granicach normy

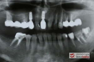
Diagnostyka radiologiczna - ortopantomogram wskazuje zęby nierokujące do usunięcia i liczne wypełnienia do wymiany
Diagnostyka radiologiczna – ortopantomogram wskazuje zęby nierokujące do usunięcia i liczne wypełnienia do wymiany

Brakujący siekacz centralny i kieł po stronie prawej - pojedyncze braki zębowe w przednim odcinku powodują dysharmonię i złe samopoczucie
Brakujący siekacz centralny i kieł po stronie prawej – pojedyncze braki zębowe w przednim odcinku powodują dysharmonię i złe samopoczucie

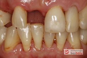
Powierzchnie okluzyjne górnego łuku zębowego - zęby szczęki przygotowane zachowawczo do dobudowy implanto-protetycznej
Powierzchnie okluzyjne górnego łuku zębowego – zęby szczęki przygotowane zachowawczo do dobudowy implanto-protetycznej

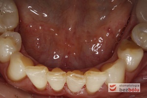
Status dolnego łuku zębowego - mierny stopień zaniku dziąsła- nieliczne wypełnienia przyszyjkowe i okluzyjne
Status dolnego łuku zębowego – mierny stopień zaniku dziąsła- nieliczne wypełnienia przyszyjkowe i okluzyjne

Zęby dolne powierzchnie okluzyjne - brak drugiego przedtrzonowca po stronie prawej - wady zębowe - rotacje i inklinacje
Zęby dolne powierzchnie okluzyjne – brak drugiego przedtrzonowca po stronie prawej – wady zębowe – rotacje i inklinacje

Odwzorowanie pozycji implantu - określenie pozycji implantu na modelu gipsowym odzwierciedlającym zakres wyrostka
Odwzorowanie pozycji implantu – określenie pozycji implantu na modelu gipsowym odzwierciedlającym zakres wyrostka

Szablon implantologiczny na zębach szczęki - wyznaczenie właściwej pozycji dla implantów poprzez termoplastyczny nawigator
Szablon implantologiczny na zębach szczęki – wyznaczenie właściwej pozycji dla implantów poprzez termoplastyczny nawigator

Pierwszy etap zabiegu implantologicznego - kształt cięcia błony śluzowej - przesunięty do podniebienia - zapewniający dostęp do kości
Pierwszy etap zabiegu implantologicznego – kształt cięcia błony śluzowej – przesunięty do podniebienia – zapewniający dostęp do kości

Mapowanie kości - diagnostyka grubości błony śluzowej przy użyciu instrumentu endodontycznego
Mapowanie kości – diagnostyka grubości błony śluzowej przy użyciu instrumentu endodontycznego

Mapowanie kości - diagnostyka grubości błony śluzowej przy użyciu instrumentu endodontycznego
Mapowanie kości – diagnostyka grubości błony śluzowej przy użyciu instrumentu endodontycznego

Szablon implantologiczny oparty na zębach - tuleje metalowe służące do wprowadzenia pierwszego wiertła pilotowego
Szablon implantologiczny oparty na zębach – tuleje metalowe służące do wprowadzenia pierwszego wiertła pilotowego

Szablon implantologiczny oparty na zębach - tuleje metalowe służące do wprowadzenia pierwszego wiertła pilotowegoSzablon implantologiczny oparty na zębach - tuleje metalowe służące do wprowadzenia pierwszego wiertła pilotowego
Szablon implantologiczny oparty na zębach – tuleje metalowe służące do wprowadzenia pierwszego wiertła pilotowego

Proces implantacji - pierwsze wiertło pilotowe Lindemana pozwala ocenić gęstość kości i wyznaczyć pozycję implantu
Proces implantacji – pierwsze wiertło pilotowe Lindemana pozwala ocenić gęstość kości i wyznaczyć pozycję implantu

Ustalenie pozycji implantu - wiertło Lindemana wyznacza nachylenie i oś długą dla wprowadzanego implantu
Ustalenie pozycji implantu – wiertło Lindemana wyznacza nachylenie i oś długą dla wprowadzanego implantu

Sondowanie kości - kalibrowany marker pozwala na obliczenie gęstości pierwszego nawiertu
Sondowanie kości – kalibrowany marker pozwala na obliczenie gęstości pierwszego nawiertu

Zagęszczanie kości techniką osteotomową - korzyści płynące z użycia osteotomu to bezpieczeństwo i poprawa gęstości kości
Zagęszczanie kości techniką osteotomową – korzyści płynące z użycia osteotomu to bezpieczeństwo i poprawa gęstości kości

Procedura zachowania równoległości - w odniesieniu do osteotomu pierwszy nawiert dla drugiego implantu wykonywany jest paralelnie
Procedura zachowania równoległości – w odniesieniu do osteotomu pierwszy nawiert dla drugiego implantu wykonywany jest paralelnie

Osteotomy symultanicznie wprowadzone do łoży implantów - dbałość o równoległość implantów względem osi własnych i zębów sąsiednich
Osteotomy symultanicznie wprowadzone do łoży implantów – dbałość o równoległość implantów względem osi własnych i zębów sąsiednich

Ocena pozycji implantów w wymiarze strzałkowym - piny do oceny równoległości wprowadzone do łoży implantów - widok okluzyjny
Ocena pozycji implantów w wymiarze strzałkowym – piny do oceny równoległości wprowadzone do łoży implantów – widok okluzyjny

Opracowanie osteotomem kształtu łoża implantu - wyznaczone linie na instrumencie pozwalają ocenić głębokość preparacji łoża implantu
Opracowanie osteotomem kształtu łoża implantu – wyznaczone linie na instrumencie pozwalają ocenić głębokość preparacji łoża implantu

Wprowadzenie implantu do łoża - implant Ankylos wprowadzany ręcznie przy użyciu raczety
Wprowadzenie implantu do łoża – implant Ankylos wprowadzany ręcznie przy użyciu raczety

Wprowadzanie implantu w pozycji kła - ręczne wprowadzanie implantu daje możliwość kontroli torku i regulowania tempa implantacji
Wprowadzanie implantu w pozycji kła – ręczne wprowadzanie implantu daje możliwość kontroli torku i regulowania tempa implantacji

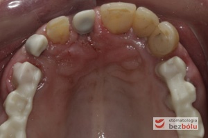
Implanty in situ - widok okluzyjny wprowadzonych wszczepów 1 mm podwyrostkowo
Implanty in situ – widok okluzyjny wprowadzonych wszczepów 1 mm podwyrostkowo

Miniśruby chirurgiczne wprowadzone do implantów - miniśruby zapewniają łatwiejszą identyfikację miejsca wszczepu przy ekspozycji
Miniśruby chirurgiczne wprowadzone do implantów – miniśruby zapewniają łatwiejszą identyfikację miejsca wszczepu przy ekspozycji

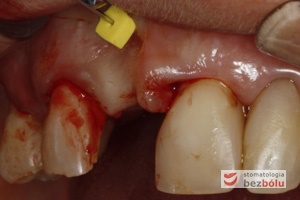
Zamknięcie rany - finisz implantacji - zbliżenie brzegów rany i zaszycie szwami węzełkowymi
Zamknięcie rany – finisz implantacji – zbliżenie brzegów rany i zaszycie szwami węzełkowymi

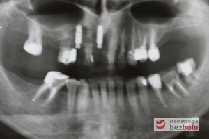
Pozabiegowa kontrola radiologiczna - ocena pozycji wprowadzonych wszczepów i kontrola po leczeniu endodontycznym
Pozabiegowa kontrola radiologiczna – ocena pozycji wprowadzonych wszczepów i kontrola po leczeniu endodontycznym

Obraz kliniczny przed ekspozycją implantu - wyrostek zębodołowy 3 miesiące po implantacji przygotowany do odsłonięcia implantu
Obraz kliniczny przed ekspozycją implantu – wyrostek zębodołowy 3 miesiące po implantacji przygotowany do odsłonięcia implantu

Ekspozycja implantów - wykręcenie śrub zakrywkowych w celu wprowadzenia śrub gojących
Ekspozycja implantów – wykręcenie śrub zakrywkowych w celu wprowadzenia śrub gojących

Ekspozycja implantów - wykręcenie śrub zakrywkowych w celu wprowadzenia śrub gojących
Ekspozycja implantów – wykręcenie śrub zakrywkowych w celu wprowadzenia śrub gojących

Śruby gojące typu slim in situ - progresywne kształtowanie dziąsła - I etap - wąski profil wyłaniania poprzez slim former
Śruby gojące typu slim in situ – progresywne kształtowanie dziąsła – I etap – wąski profil wyłaniania poprzez slim former

Ustalenie zgryzu nawykowego pacjentki - wosk aluminiowy służący do przeniesienia zgryzu do laboratorium protetycznego
Ustalenie zgryzu nawykowego pacjentki – wosk aluminiowy służący do przeniesienia zgryzu do laboratorium protetycznego

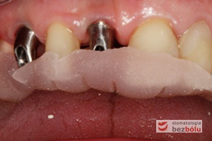
Filary protetyczne przygotowane do pobrania wycisku - transfery wyciskowe typu "bałwanek" przykręcone do implantów - zęby po redukcji dziąsła
Filary protetyczne przygotowane do pobrania wycisku – transfery wyciskowe typu „bałwanek” przykręcone do implantów – zęby po redukcji dziąsła

Transfery wyciskowe - widok z przodu - przenośniki typu "bałwanek" dedykowane pojedynczym implantom
Transfery wyciskowe – widok z przodu – przenośniki typu „bałwanek” dedykowane pojedynczym implantom

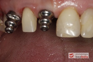
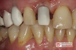
Ostateczne tytanowe filary protetyczne in situ - ofrezowane i przygotowane laboratoryjnie łączniki wprowadzone do implantów
Ostateczne tytanowe filary protetyczne in situ – ofrezowane i przygotowane laboratoryjnie łączniki wprowadzone do implantów

Żywiczne klucze nawigujące łączniki implantów - pozycja bezindeksowych łączników wyznaczana przez precyzyjne klucze z żywicy
Żywiczne klucze nawigujące łączniki implantów – pozycja bezindeksowych łączników wyznaczana przez precyzyjne klucze z żywicy

Twardy stent w celu ustalenia okluzji - pozycja żuchwy względem szczęki definiowana w oparciu o sztywny żywiczny wzornik
Twardy stent w celu ustalenia okluzji – pozycja żuchwy względem szczęki definiowana w oparciu o sztywny żywiczny wzornik

Struktury cerkonu na zębach własnych i łącznikach - strefy boczne odbudowane mostami na zębach własnych  - pojedyncze braki implantami
Struktury cerkonu na zębach własnych i łącznikach – strefy boczne odbudowane mostami na zębach własnych – pojedyncze braki implantami

Struktury cerkonowe od przodu - nieznaczne tatuowanie dziąsła poprzez tytanowe łączniki
Struktury cerkonowe od przodu – nieznaczne tatuowanie dziąsła poprzez tytanowe łączniki

Przeciwstawny łuk zębowy
Przeciwstawny łuk zębowy

Mosty na zębach własnych i korony na implantach - ceramiczne uzupełnienia braków wprowadzone na filary - widok okluzyjny
Mosty na zębach własnych i korony na implantach – ceramiczne uzupełnienia braków wprowadzone na filary – widok okluzyjny

Kontrola radiologiczna - ocena szczelności uzupełnień protetycznych i profilu wyłaniania
Kontrola radiologiczna – ocena szczelności uzupełnień protetycznych i profilu wyłaniania

Ostateczna praca protetyczna w ustach pacjentki - korony na implantach - mosty w strefach bocznych - licówka na dwójce górnej prawej
Ostateczna praca protetyczna w ustach pacjentki – korony na implantach – mosty w strefach bocznych – licówka na dwójce górnej prawej

Uśmiech pacjentki przed leczeniem
Uśmiech pacjentki przed leczeniem

Bezcenny uśmiech pacjentki - implanty zębowe
Bezcenny uśmiech pacjentki

PODZIEL SIĘ:

Kontakt