Jak chronić zęby? Kwasowa erozja szkliwa
Kwasowa erozja szkliwa to utrata twardych tkanek zęba na drodze procesów chemicznych bez udziału drobnoustrojów.
Jest to proces przewlekły, przede wszystkim spowodowany szkodliwym działaniem kwasów pochodzących z produktów codziennej diety takich jak np.: soki owocowe (według badań szkodliwe działanie soków uszeregowano w kolejności: cytrynowy, grejpfrutowy, jabłkowy, pomarańczowy), świeże owoce, warzywa, wino (bardziej erozyjne działanie wykazuje wino białe niż czerwone), herbata owocowa, napoje gazowane, szczególnie Cola, napoje energetyzujące czy izotoniczne.

pH krytyczne szkliwa, poniżej którego hydroksyapatyty tworzące strukturę szkliwa ulegają rozpuszczeniu wynosi 4,5. Kwasy prowadzące do powstania ubytków erozyjnych charakteryzują się pH poniżej 4,5 jak np. Cola, której pH wynosi 2,6. W takiej sytuacji dochodzi do rozpuszczenie całej powierzchniowej warstwy szkliwa jak i zębiny międzykanalikowej i okołokanalikowej.
Szczególne znaczenie odgrywa częstość spożywania produktów o potencjale erozyjnym. Aby pH szkliwa zostało zbuforowane przez ślinę potrzeba około 30 do 60 minut, częste spożywanie produktów o potencjale erozyjnym utrudnia utrzymanie odpowiedniego pH.
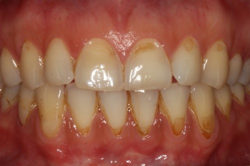
Jak rozpoznać ubytek erozyjny?
Ubytki te najczęściej powstają na powierzchniach przedsionkowych zębów siecznych i przedtrzonowych, rzadko trzonowych. Czasem lokalizują się na powierzchni językowej zębów przednich. Są to płaskie ubytki , gładkie, lśniące i twarde. Rozszerzające się ku obwodowi, ale nigdy nie obejmują brzegu siecznego, powierzchni stycznych, a także części przyszyjkowej, dzięki buforowej zdolności płynu z rowka dziąsłowego, obmywającego tę okolice. Obnażenie kanalików zębinowych jest często przyczyną nadwrażliwości na bodźce mechaniczne, chemiczne i termiczne.
W profilaktyce erozji powinniśmy:
- Ograniczyć ilość kwaśnych pokarmów
- Nie szczotkować zębów bezpośrednio po spożyciu takich produktów, a dopiero po 30-60 minutach
- Płukać jamę ustną po spożyciu kwaśnych pokarmów np. wodą niegazowaną, płukanką z fluorem
- Na zakończenie posiłku zalecane jest spożycie obojętnego pożywienia o pH zbliżonym do neutralnego
- Stosować preparaty zawierające fluor