Leczenie ortodontyczne jako przygotowanie protetyczne
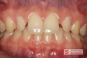
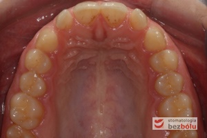
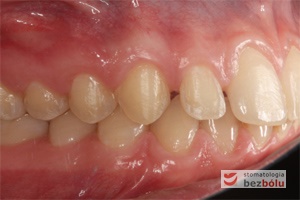
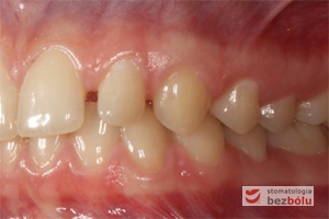
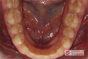
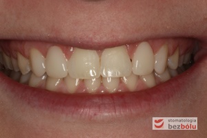
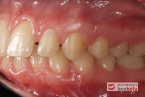
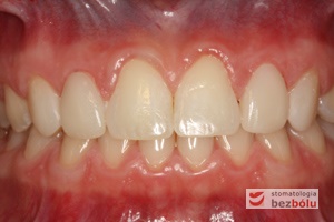
Młoda pacjentka zgłosiła się do naszej placówki celem poprawy estetyki uśmiechu. Problem stanowiły zęby sieczne boczne (potocznie zwane dwójkami) oraz przestrzenie między nimi i siekaczami centralnymi. Obligatoryjnie wykonano komplet zdjęć (panoramiczne i telerentgenowskie), dokonano również analizy cefalometrycznej i analizy modeli. Pacjentce zaplanowano leczenie ortodontyczne mające na celu odrotowanie zębów w szczęce (a zwłaszcza problematycznych siekaczy) oraz przygotowanie do leczenia protetycznego za pomocą addycyjnych licówek porcelanowych. Aktywna faza leczenia ortodontycznego trwała 14 miesięcy, po której rozpoczęto leczenie retencyjne za pomocą szyny termoformowalnej oraz uzupełnione zostały deficyty w zakresie siekaczy bocznych przy pomocy bez preparacyjnych licówek całoceramicznych.
Placówka medyczna NZOZ Stomatologia Bez Bólu











