Kompleksowe leczenie zachowawczo-ortodontyczne
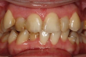
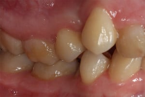
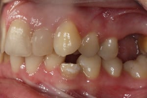
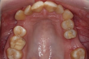
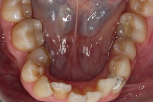
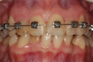
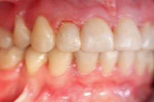
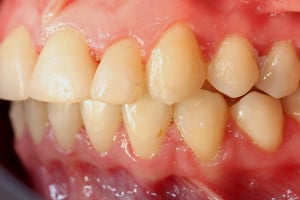
Młoda pacjentka zgłosiła się do naszego gabinetu celem wykonania kompleksowego leczenia zachowawczo-ortodontycznego. Oprócz problemów natury ortodontycznej stwierdzono złą higienę jamy ustnej oraz liczne potrzeby leczenia zachowawczo-endodontycznego. Po wnikliwej analizie telerentgenowskiej oraz analizie modeli zadecydowano o ekstrakcji 2 zębów w łuku dolnym (kła po stronie lewej oraz pierwszego przedtrzonowca po stronie prawej). Plan leczenia obejmował ponadto zamknięcie łuku po brakujących zębach w łuku górnym. Leczenie aktywne trwało 2 lata i 8 miesięcy. W czasie jego trwania pacjentka była regularnie poddawana zabiegom higieny profesjonalnej celem eliminacji zapaleń przyzębia brzeżnego. Po leczeniu aktywnym zastosowano leczenie retencyjne w postaci retainera stałego w żuchwie oraz szyny retencyjnej w łuku górnym.
Placówka medyczna NZOZ Stomatologia Bez Bólu











