Na ratunek uśmiechu
[v=qgzPGN-TxEE]
Młoda pacjentka zgłosiła się do placówki celem poprawy estetyki uzębienia w odcinku przednim. Zastane uzębienie charakteryzowało się przebarwieniami, nieszczelnymi wypełnieniami i martwą jedynką lewą. Stan uzębienia powodował dyskomfort pacjentki w codziennych kontaktach międzyludzkich. Po konsultacji z pacjentką określono plan leczenia, polegający na zastosowaniu profesjonalnej higieny, wybielania, umiejscowieniu w odcinku przednim porcelanowej licówki oraz korony pełnoceramicznej a w siekaczach bocznych wypełnień kompozytowych.
Diagnostyka
Stan wyjściowy: dyskoloracje, nieszczelne wypełnienia, martwy siekacz centralny
Proces terapeutyczny:
higiena profesjonalna i wybielanie; opracowanie filarów protetycznych oraz dobór koloru i struktury odbudowy protetycznej.
Wymiana i uzupełnienie kompozytowych wypełnień braków zębowych.
Umieszczenie prowizorycznej odbudowy protetycznej w jamie ustnej.
Laboratoryjne opracowanie odbudowy protetycznej: jednej licówki dla siekacza centralnego oraz jednej korony dla drugiego siekacza centralnego.
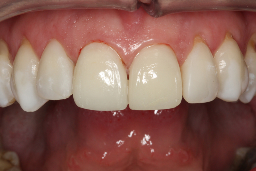
Osadzenie ostatecznej pracy protetycznej w jamie ustnej.
… szczęśliwy uśmiech powrócił
placówka stomatologiczna: NZOZ Stomatologia Bez Bólu
laboratorium protetyczne: PRO-DENT
lekarz prowadzący: dr Ewa-Ziemba Popławska
