Leczenie aparatem DAMON
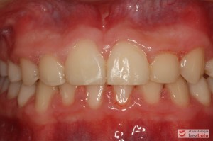
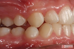
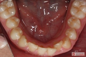
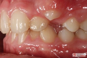
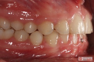
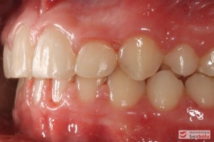
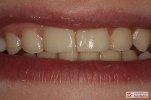
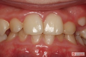
Do naszej placówki zgłosiła się wraz z mamą i babcią nastoletnia, nieśmiała pacjentka, celem poprawy estetyki uśmiechu. Głównym problemem jaki zgłaszała był kieł w szczęce, który znajdował się poza łukiem zębowym. Jako rozwiązanie problemu zaproponowano leczenie aparatem stałym w systemie niskiego tarcia DAMON dla szczęki i żuchwy. Jak w każdym przypadku kwalifikowanym do leczenia, wykonano analizę cefalometryczną oraz analizę modeli diagnostycznych. Faza aktywna leczenia trwała 11 miesięcy i została przedwcześnie zakończona ze względu na niedostateczną higienę jamy ustnej. Po niej rozpoczęto leczenie retencyjne za pomocą retainera stałego w żuchwie i płytki Schwarza dla szczęki.
Placówka medyczna NZOZ Stomatologia Bez Bólu











