
Leczenie kanałowe
Leczenie kanałowe było jednym z elementów interdyscyplinarnej terapii rekonstrukcyjnej mającej na celu poprawę estetyki uśmiechu.
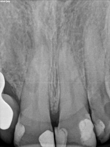
40 letnia kobieta skierowana przez lekarza prowadzącego na leczenie kanałowe siekacza centralnego do lekarza endodonty z powodu przebarwienia zęba.
Dgn. Necrosis Pulpae (martwica miazgi)

Plan leczenia kanałowego:
- znieczulenie miejsc. Citocartin 100/ 1 amp.
- Koferdam
- wykonanie trepanacji w celu otrzymania dostępu do komory i kanału korzeniowego.
- ekstyrpacja
- poszerzenie do 70 – wskazanie do użycia MTA
- dezynfekcja za pomocą NaoCL 5, 25%, 40 % kw. cytrynowego , 0,9 % NaCL, CHX
- zamkniecie szerokiego kanału MTA
- RVG kontrolne
- wypełnienie kanału ciekłą, gutaperką z użyciem sealera Ah+.
Odbudowa ostateczna z wybielaniem korony zęba przeprowadzona została u lekarza prowadzącego, po sekwencji kontroli radiologicznych RTG w określonych odstępach czasu.
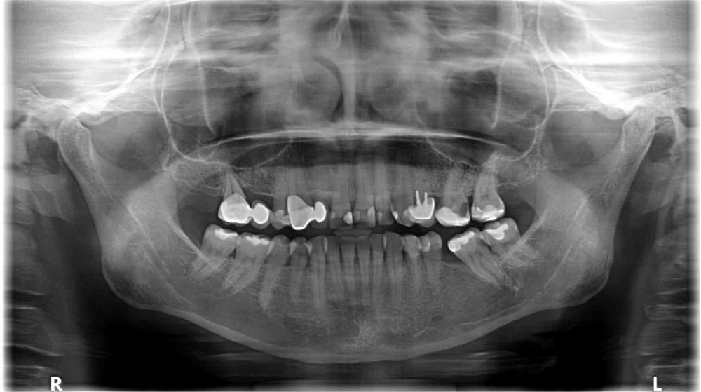
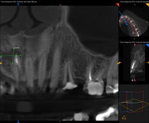
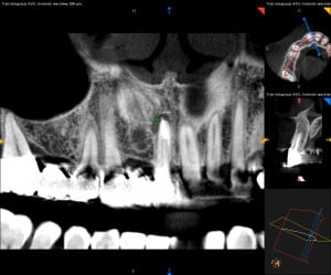
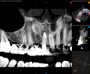
Dokumentacja RTG
- OPG przed zabiegiem wykonane przez lekarza prowadzącego
- RVG
- CBCT przed i po zabiegu
![]() |
![]() |
Placówka medyczna NZOZ Stomatologia Bez Bólu
Leczenie kanałowe: planowanie i aktywna faza leczenia, lekarz stomatolog – endodonta Magdalena Karaśińska

