Leczenie ortodontyczne – zgryz krzyżowy przedni
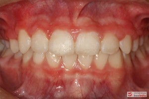
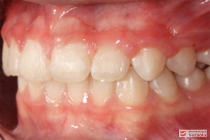
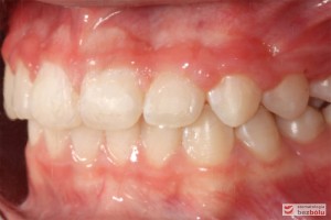
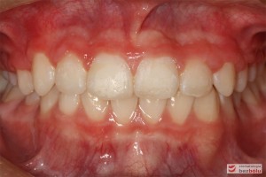
Rodzice zgłosili się z młodym chłopcem (11,5 roku) celem podjęcia leczenia ortodontycznego. Głównym ich zmartwieniem była dwójka górna prawa ustawiona w zgryzie krzyżowym. Rutynowo jak w każdym przypadku wykonano analizę cefalometryczną oraz analizę modeli diagnostycznych. Leczenie aktywne zajęło 17 m-cy i było prowadzone w dwóch fazach. W I fazie pacjentowi zamontowano 2 pierścienie na zębach szóstych górnych oraz naklejono zamki na 4 siekaczach górnych i przy użyciu sprężyny dystalizującej odtworzono miejsce w łuku dla problematycznej dwójki. W fazie II leczenia kontynuowano aparatem stałym dla całego łuku. po fazach leczenia: aktywnego, rozpoczęto leczenie retencyjne z użyciem biernej płytki Schwartza dla szczęki.
Placówka medyczna NZOZ Stomatologia Bez Bólu







