Mogło dojść do tragedii! Skończyło się tylko na utracie zęba
Elektryczne hulajnogi zawojowały ulice dużych i średnich miast. Dzieci, młodzież i dorośli z uśmiechem na twarzy przemierzają nie rzadko wiele kilometrów w ciągu dnia. Czy jest to jednak bezpieczna frajda? Czy użytkownicy tych dwukołowych pojazdów nie za bardzo ryzykują swoim zdrowiem, narażając przy tym też inne osoby i pojazdy w ich bliskości? Niestety nie wszyscy użytkownicy hulajnóg są wystarczająco roztropni.
W czasie budowania dróg i chodników w Jeleniej Górze są nadal osoby, które nie boją się poruszać elektryczną hulajnogą po nieprzygotowanych ścieżkach. Tak, chodzi o te zielone dwukołowe pojazdy, które zapewne widzieliście stojące na skrzyżowaniach a w gorszym wypadku leżące na chodniku, utrudniając przejście. Jelenia Góra obecnie jest jednym dużym placem budowy dróg. To okres, w którym należy zwrócić szczególną uwagę na niekonwencjonalne zachowania pieszych i kierowców a w szczególności rowerzystów i użytkowników elektrycznych hulajnóg. Można chociażby nie zauważyć wystającej rury lub niechlujnie odrzuconej płyty chodnikowej, na nią najechać i się wywrócić. Skutki takiego wypadku mogą być różne – od niegroźnych ale bolesnych zadrapań, aż po śmierć!
Magazyn Forbes na swoich lamach podaje, że „(…) są szpitale, gdzie codziennie trafiają ofiary elektrycznych hulajnóg”, a portal motoryzacja.pl informuje o tym, że „(…) w szpitalu zmarła kobieta, która ucierpiała w wypadku na elektrycznej hulajnodze. Doszło do niego pod koniec czerwca”.

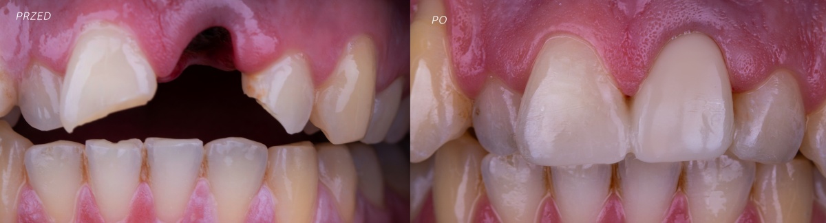
Trzeba uważać! Strata zęba to jeden z najmniej dotkliwych skutków takiej niefrasobliwości! Wyżej opisana sytuacja pokazuje, że trzeba być bardzo ostrożnym, ale teraz wróćmy na nasze podwórko do Jeleniej Góry i przypadku stomatologicznego w naszej placówce Stomatologia Bez Bólu, do której trafił w zeszłym tygodniu pacjent – kolejna ofiara hulajnogowego szaleństwa.

Skutki wypadku na hulajnodze mogły być tragiczne. Skończyło się na wybitym zębie. A do tego Pan K. miał to szczęście, że trafił pod troskliwe skrzydła lek. stom. Magdaleny Żywickiej M.Sc. i do prowadzonej przez nią placówki (Stomatologia Bez Bólu), która potrafi i ma odpowiednią infrastrukturę aby podczas jednej wizyty móc odbudować utracone uzębienie.
Dla takich pacjentów jak Pan K. możliwość błyskawicznej odbudowy utraconego uzębienia daje możliwość powrotu do normalnej, codziennej aktywności bez obawy o utratę więzi społecznych.
Autor: Mikołaj Bachur
Red.: M. Kol





