Na ratunek uśmiechu – galeria zdjęć
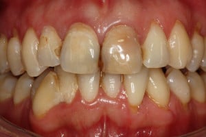
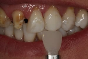
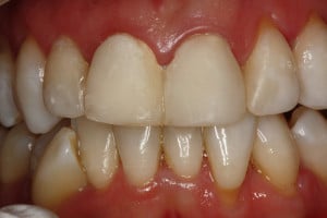
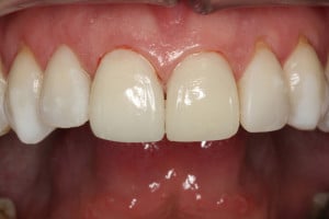
Młoda pacjentka zgłosiła się do placówki celem poprawy estetyki uzębienia w odcinku przednim. Zastane uzębienie charakteryzowało się przebarwieniami, nieszczelnymi wypełnieniami i martwą jedynką lewą. Stan uzębienia powodował dyskomfort pacjentki w codziennych kontaktach międzyludzkich. Po konsultacji z pacjentką określono plan leczenia, polegający na zastosowaniu profesjonalnej higieny, wybielania, umiejscowieniu w odcinku przednim porcelanowej licówki oraz korony pełnoceramicznej, a w siekaczach bocznych wypełnień kompozytowych.
placówka stomatologiczna: NZOZ Stomatologia Bez Bólu
laboratorium protetyczne: PRO-DENT
lekarz prowadzący: dr Ewa-Ziemba Popławska




